Enajsti teden nosečnosti predstavlja pomembno obdobje v razvoju vašega otroka, saj dosega fazo hitre rasti in nadaljuje z intenzivnim razvojem organov. Hkrati pa se v tem času lahko pojavijo tudi specifične telesne spremembe in potencialne bolečine pri nosečnici. Zavedanje o teh procesih je ključno za mirno in varno nosečnost.
Razvoj Ploda v 11. Tednu: Hitra Rast in Kompleksnost
V 11. tednu nosečnosti otrokovo drobceno srce bije hitro in močno s približno 140/150 utripi na minuto. To majhno srce trdo dela, da drobnemu telesu zagotovi vso moč in hranila, ki jih potrebuje za rast. Otrok doživi pravi skok v rasti. Čeprav še vedno v dolžino meri le 4-5 cm, kar pomeni, da je velik kot limona, se njegovi notranji organi, kot so možgani, pljuča, jetra in ledvice, do 11. tedna že skorajda v celoti oblikujejo. Gibanje postaja vse pogostejše, saj telo raste in postaja vse bolj razvito, pa tudi funkcionalno. Plod brca in se razteza, gibanja pa izvaja tako brez napora, da je vse skupaj videti kot odlična predstava baleta. V tem tednu se začnejo razvijati kompleksne funkcije otrokovih organov. Tudi zametki organov, ki so značilni za posamezni spol (ženski ali moški), že obstajajo in se bodo naslednjih par tednov razvijali, čeprav bo trajalo še nekaj časa, preden boste izvedeli, ali je vaš otrok fantek ali deklica.

Kožice, ki je na začetku povezovala posamezne prste na rokah in nogah, ni več in otrok se že lahko igra s prsti na rokah in daje palec v usta. V 11. tednu se razvijejo različne plasti otrokove kože, ki je tako čedalje debelejša in zaradi tega tudi manj prosojna kot prej. Korenine las se razvijejo v drugi plasti kože, tako imenovanem dermisu oziroma usnjici, od 13. tedna naprej pa se pri otroku pojavijo drobne, fine dlake, imenovane lanugo, ki skoraj v celoti pokrijejo njegovo telo in ga zaščitijo. Vsaka korenina ima tudi lojnico, ki proizvaja maščobno, vodoodporno snov, ki se imenuje verniks ali sirasta maz (vernix caseosa). Lanugo verniksu pomaga, da prekrije otrokovo telo, skupaj pa igrata pomembno vlogo: preprečujeta, da bi otrokova občutljiva koža v plodovnici postala preveč mehka, delujeta kot učinkovita toplotna izolacija in nudita zaščito pred vibracijami, zvoki in pritiskom.
Čeprav vaš otrok že nekaj časa sunkovito brca, je malo verjetno, da boste njegove gibe čutili prej kot okoli 17. ali 18. tedna. Vendar pa se gibanje postaja vse pogostejše, saj telo raste in postaja vse bolj razvito in funkcionalno. V pljuča plod vnaša majhne količine plodovnice, kar mu pomaga pri razvoju pljuč. Ušesa so že postavljena na svoje mesto. Začnejo se tudi ciklusi spanja na 5 do 10 minut. Srečanje jajčne celice in semenčice je ustvarilo novo življenje, že v tem trenutku je določeno ali bo plod deklica ali deček. Zarodek se ugnezdi v zadebeljeno maternično steno in ob tem lahko nastane ugnezditvena krvavitev. Srček začne utripati in ga je možno že videti z ultrazvočno preiskavo. Plodek je velikosti sezamovega zrna. Od 11. do 20. tedna se bo teža ploda povečala 30x in dolžina 3x. Srce ploda v 11. tednu deluje kot pri odraslem.
Telesne Spremembe in Simptomi Nosečnosti v 11. Tednu
Ko se vam začne večati obseg pasu, boste zdaj morda že opazili, da dobivate nosečniški trebušček. Pri nekaterih ženskah, zlasti pri tistih, ki so že rodile, je nosečniški trebušček že lepo viden. Vendar pa ni razlogov za zaskrbljenost, če ga še ne opazite, saj se bo z malce športa oz. telesne vadbe in zdravo prehrano dodatni kilogrami po porodu izgubili, dojenje pa bo prav tako pomagalo pri vrnitvi v dobro telesno kondicijo.
Slabost počasi preneha in večina nosečnic je v 11. tednu polna energije. To obdobje je znano tudi kot "zlata doba" drugega trimesečja, ko se večina simptomov prvega trimesečja umiri. Če tega še niste storili, lahko začnete razmišljati, kdaj in kako boste svojim bližnjim zaupali veselo novico o nosečnosti.
Kljub izboljšanju počutja pa se lahko prav v tem tednu pojavi zaprtje, na katerega vplivajo hormonske spremembe, ki upočasnijo prebavo. Zaradi rasti maternice se lahko občasno pojavi občutek, kot bi vas nekaj vleklo v trebuhu. Med telesno vadbo, pa tudi med sedenjem ali ležanjem na eni strani telesa, se lahko pojavijo bolečine v hrbtu, saj so vaše kite zdaj bolj razrahljane in prožne, da lahko prenesejo povečano telesno težo.
Nihanje razpoloženja je v nosečnosti pogosto, velik del tega je posledica divjanja hormonov, zlasti estrogena in progesterona, pa tudi splošnih dejavnikov nosečnosti. Estrogen je povezan s hormonom 'sreče' serotoninom, progesteron pa je povezan s sprostitvijo. Nosečnost je obdobje, ki vam spremeni življenje; verjetno vas zaposluje ogromno misli, skrbi in načrtov za prihodnost. Normalno je, da vas skrbi, da boste po rojstvu otroka izgubili del sebe in svojega prejšnjega življenja. Poslušajte svoje telo in njegove potrebe. Ali morajo biti vaši možgani zaposleni, da boste mirni? Ali čutite potrebo, da ste aktivni, da se zamotite in vas ne bo skrbelo? Ali morate štiri dni zapored zvečer zadremati na kavču? Pogovor, pogovor, pogovor.
Prehrana in Izogibanje Določenim Živilom
V 11. tednu nosečnosti postaja prehrana čedalje pomembnejša, saj oba z otrokom potrebujeta več vitaminov, mineralov in elementov v sledovih. Osnova nosečniške prehrane so pijače. Sledijo sadje in zelenjava, zlasti stročnice. Nato ogljikovi hidrati, kot so krompir, kruh in žitni izdelki, riž in testenine (polnozrnate različice so dobra izbira). Priporoča se pet porcij na dan. Pomembna je tudi skupina mleka in mlečnih izdelkov. Živila, ki naj bi jih zaužili le v majhnih količinah, vključujejo meso in ribe kot vir beljakovin. Meso mora imeti čim manj maščob, priporočljivo pa je, da ga jeste največ dvakrat tedensko. Meso nikoli ne jejte surovega in pred zaužitjem se vedno prepričajte, da je dovolj pečeno ali kuhano, da se izognete patogenim bakterijam. Maščobe, na primer maslo in olja, so prav tako pomembne, pri čemer so olja za nosečnice boljša izbira kot maslo.
Zagotovo ste že slišali, katerim živilom in pijačam se je med nosečnostjo bolje izogniti. Izogibati se je potrebno tistim živilom, ki bi lahko privedla do okužb z bakterijami ali zajedavci, saj lahko le-ti povzročijo škodo tako nosečnici, kot tudi plodu. Ta živila vključujejo surovo meso, vključno s perutnino in ribami, surova jajca in vsa živila, ki vsebujejo surova jajca (piškoti, omake). Izogibati se je potrebno tudi nepasteriziranemu mehkemu siru. Nosečnica naj ne uživa mesa in namazov, ki so bili pred uporabo zamrznjeni, razen če so bili po zamrzovanju toplotno obdelani. Nekatere vrste morskih sadežev vsebujejo ogromno živega srebra, ki lahko škoduje plodovim možganom v razvoju. Da bi zmanjšali izpostavljenost živemu srebru, se je potrebno izogibati mečarici, morskem psu, skuši in morski plošči. Živila iz morja so sicer zelo dobrodošla na jedilniku nosečnice, ker vsebujejo ogromno beljakovin in so hkrati primarni vir omega-3 maščobnih kislin, ki koristijo plodovemu vidu in možganom. Izbrati je potrebno ribe z najnižjo vsebnostjo onesnaževal, kot je živo srebro.
Alkohol je pijača, na katero med nosečnostjo ni dobro pomisliti. Alkohol namreč zelo hitro odpotuje preko krvnega obtoka nosečnice do ploda in celo ena pijača na dan lahko poveča tveganje za težave pri porodu ali kasneje. Nepasteriziranim sokovom in mlekom se je prav tako potrebno izogibati. Ti napitki bi lahko vsebovali E. Kofein je po navodilih nekaterih strokovnjakov velik NE med nosečnostjo, v resnici pa je v zmernih količinah uživanje kave dovoljeno. Zmerne količine pomenijo manj kot 300 mg kofeina dnevno.
Možne Bolečine in Zapleti v Nosečnosti
Čeprav je 11. teden nosečnosti pogosto obdobje izboljšanega počutja, se lahko pojavijo tudi določene bolečine ali nevšečnosti. Ena izmed teh je lahko bolečina krožne vezi, ki podpira maternico. Bolečina nastane zaradi rasti maternice in je popolnoma normalna. Lahko se pojavi ob sunkovitem gibu.
Nekatere ženske v tem obdobju občutijo tudi bolečine v križu. Sklepi postanejo, zaradi delovanja hormonov, sproščeni in nekoliko bolj ohlapni, kar obremenjuje sklepne vezi. Zaradi pritiska maternice, ki raste, na trebušne organe, se lahko pojavi tudi ostra bolečina pod rebri.
Pomembno je vedeti, da bolečina v medeničnem obroču ni nujno normalen pojav. Raziskave navajajo, da se pojavi pri približno 20 % nosečnic. Predel, kjer se bolečina najpogosteje pojavi, je v področju križnično-črevničnega sklepa in lahko izžareva v zadnji del stegna. Vpliv hormona relaksina, ki vpliva na laksnost ligamentov medeničnega obroča, je eden izmed dejavnikov. Fizioterapevtska obravnava, ki lahko obsega edukacijo, terapevtske vaje, hidroterapijo, manualno terapijo, kineziotaping, elektroterapijo, aplikacijo medeničnega pasu ali bergel, lahko pomaga pri obvladovanju te bolečine.
V tem življenjskem obdobju so ženske tudi bolj ogrožene za pljučno embolijo. Znaki, kot so težave z dihanjem, prsna bolečina ob vdihu, kašelj in izkašljevanje krvi, zahtevajo takojšen posvet z zdravnikom.
Visoka telesna temperatura ali mrzlica, ki presega 37,5 stopinj Celzija, lahko kaže na vnetje v telesu, ki ga je nujno zdraviti. Povečan nožnični izcedek ali popadki, še posebej pred 37. tednom, lahko kažejo na prezgodnji porod in zahtevajo zdravniško obravnavo.
Prekomerno bruhanje ali driska, znano kot hiperemeza, lahko negativno vpliva na nosečnico in plod, povzroči dehidracijo in izgubo zavesti. V takih primerih je potrebna zdravniška obravnava in pogosto hospitalizacija.
Hudi glavoboli, zamegljen vid ali nejasna slika v drugem ali tretjem trimesečju lahko kažejo na znake preeklampsije ali nevarnega visokega krvnega tlaka. Bolečina v zgornjem delu trebuha, na desni strani, blizu jeter in pod prsnim košem, je lahko prav tako znak preeklampsije, ki jo spremljata visok krvni tlak in visoka raven beljakovin v urinu.
Bolečine v zgornjem delu trebuha lahko pomenijo tudi zgolj slabo prebavo, vendar je ob vsakem bolečem občutku v telesu priporočljivo poiskati nasvet pri zdravniku, da se razblinijo morebitni dvomi in skrbi.
Bolečine v predelu trebuha, zlasti če ste noseči manj kot 12 tednov in čutite ostro bolečino na eni ali drugi strani maternice, so lahko znak zunajmaterične nosečnosti. Bolečina v ramenih in področju zadnjika prav tako nakazuje na to stanje. Občutek ostre bolečine lahko kaže tudi na znake spontanega splava ali prezgodnjega poroda.
Neredno uriniranje in konstanten občutek žeje lahko kaže na hudo dehidracijo ali nedelovanje ledvic, kar sta izjemno nevarni stanji. Vaginalna krvavitev, zlasti če je močna, zahteva takojšen obisk zdravnika. Srbečica telesa, še posebej na dlaneh in podplatih, lahko kaže na resno bolezensko stanje jeter (holestaza), ki se pojavi v zadnjem trimesečju in lahko povzroči prezgodnji porod ali rojstvo mrtvega otroka.
Upočasnitev ali pomanjkanje gibanja ploda je lahko razlog za zaskrbljenost. Po 28. tednu nosečnosti bi morali čutiti vsaj 10 "brc" dnevno. Če že več kot uro niste čutili otrokovega premikanja, popijte kozarec soka in počakajte. Če imate občutek, da je zadnjih 24 ur otrok manj aktiven, poiščite zdravniško pomoč.
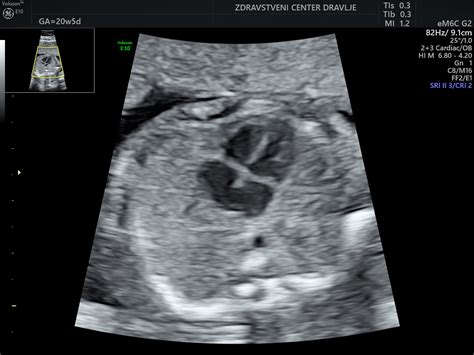
Če še niste obiskali zdravnika, se dogovorite za termin, da lahko začnete načrtovati predporodno varstvo, vključno s prvim ultrazvočnim pregledom, ki se običajno opravi med 8. in 14. tednom. Pri ultrazvočnem pregledu se s pomočjo neškodljivih zvočnih valov izriše natančna slika vašega otroka v maternici. Med 11. in 14. tednom nosečnosti se priporoča tudi pregled nuhalne svetline.
Če potrebujete nekoga, s katerim bi se radi pogovorili o nosečnosti, poiščite pomoč pri svoji materi ali drugih bližnjih. Pogovor, pogovor, pogovor je ključen za obvladovanje skrbi in načrtovanje prihodnosti.
Vaša nosečnost: 11 tednov
tags: #11 #teden #nosecnosti #bolecine
