Nosečnost, obdobje od oploditve jajčeca do poroda, je eno najpomembnejših in najbolj transformativnih obdobij v življenju ženske. Traja približno 40 tednov oziroma 280 dni, pri čemer se časovno obdobje običajno računa od prvega dne zadnje menstruacije, čeprav do oploditve pride šele okoli 14. dne ciklusa. Razumevanje poteka nosečnosti, od prvih dni do končnih tednov, je ključnega pomena za spremljanje zdravja matere in otroka ter za pripravo na prihod novega družinskega člana. Nosečnost lahko razdelimo na tri glavna trimesečja, vsako s svojimi specifičnimi značilnostmi in razvojnimi stopnjami ploda.

Prvo Trimesečje: Temelji Novega Življenja (1. do 13. teden)
Prvo trimesečje nosečnosti je ključno obdobje intenzivnega razvoja, kjer se iz ene same oplojene jajčne celice postopoma oblikuje zarodek, ki na koncu tega obdobja že poseduje vse vitalne organe. V tem času se nosečnica sooča s številnimi fizičnimi in čustvenimi spremembami.
Zgodnji Znaki in Zgodnji Teden:Že v prvih tednih se lahko pojavijo prvi znaki nosečnosti, kot je izostanek menstruacije. Kljub temu, da se nosečnost uradno šteje od prvega dne zadnje menstruacije, dejansko do oploditve pride šele okoli 14. dne cikla. Telo se namreč v prvih dveh tednih pripravlja na ovulacijo, ko je jajčna celica pripravljena za srečanje s semenčico. Če se na primer sprostita dve jajčni celici in se obe oplodita, nastaneta dvojajčna dvojčka.
Od Oploditve do Ugnezditve:Okoli tretjega tedna se jajčna celica in semenčica srečata, kar predstavlja začetek novega življenja. Oplojena jajčna celica, sprva le skupek celic, začne svojo šestdnevno pot skozi jajcevod proti maternični votlini. Tam se v četrtem tednu ugnezdi v zadebeljeno maternično steno. Ta proces lahko povzroči ugnezditveno krvavitev, ki jo nosečnica pogosto zamenja za šibkejšo menstruacijo. V tem tednu je urinski test nosečnosti pogosto že pozitiven.
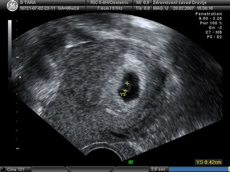
Intenziven Razvoj Ploda:V petem tednu nosečnosti začne srček utripati, kar je mogoče videti z ultrazvočno preiskavo. Plod je v velikosti sezamovega zrna, vendar se že formirajo ostali organi, kot so želodec, jetra in ledvice, ter sistemi organov, kot so žile, živčevje in prebavila. V šestem tednu se v srčku že oblikujejo štiri votline, začnejo pa rasti tudi rokice in nogice.
Fiziološke Spremembe Nosečnice:Nosečnico v prvem trimesečju pogosto spremljajo utrujenost, občutek slabosti, včasih tudi bruhanje. Poleg tega se lahko pojavi spremenjen vonj, pogosto tiščenje na vodo, prsi postanejo občutljive, razpoloženje pa je spremenljivo. Zaradi rasti hormona nosečnosti, beta hCG, se slabost v šestem tednu stopnjuje, nosečnice pa postanejo razdražljive in se počutijo napihnjene. V sedmem tednu, ko plod meri približno 1 cm, se razvijajo nos, jezik, ušesa in oblikujejo prstki. Kljub temu, da je v tem tednu ena od treh nosečnic lahko zazna krvavitev, ki je večinoma nenevarna, pa je rast hormona progesterona odgovorna za sijočo kožo obraza in bujne lase.
Nadaljnji Razvoj in Prvi Pregledi:Do osmega tedna plod meri od 14 do 20 mm in tehta 1 gram. Razvija se hrbtenica, kosti, oblikujejo se kolena, komolci, zapestja in gležnji. Pri nosečnici se srčni utrip poviša, krvni pritisk pa pogosto zniža, kar je povezano tudi z upočasnjeno motiliteto črevesja in zaprtjem. V devetem tednu zarodek postane plod, velikosti zrnja grozdja (2,3 cm, 2 g), z že formiranimi prebavili in organi za razmnoževanje, čeprav je še prezgodaj za določitev spola. Nosečnica lahko občuti nabreklo sluznico nosu, utrujenost in vrtoglavico.
Prvo Trimesečje: Ključni Pregledi:Prvo trimesečje vključuje pomembne preventivne preglede. Med njimi so laboratorijske analize krvne slike, krvnega sladkorja na tešče, določitev krvne skupine in RH faktorja, test na toxoplasmo gondii in sifilis. Ultrazvočna potrditev nosečnosti se opravi do 11. tedna, med 11. in 14. tednom pa se priporoča pregled nuhalne svetline in dvojnega hormonskega testa.
Do 10. tedna poteka organogeneza, razvoj vseh vitalnih organov. Ob koncu embrionalnega obdobja plod meri 28 mm. V 11. tednu plod doseže velikost fige (4,1 cm, 7 g). Od 11. do 20. tedna se bo njegova teža povečala za 30-krat, dolžina pa 3-krat. Plod v pljuča vnaša plodovnico, kar pomaga pri njihovem razvoju, ušesa so že razvita, začnejo se ciklusi spanja. Spolni organi so popolnoma razviti, vendar spola še ni mogoče ugotoviti z ultrazvokom. V tem obdobju je pridobitev teže pri nosečnici lahko med 500 in 1000 g na mesec, nekatere pa zaradi slabosti lahko tudi shujšajo.
V 12. tednu plod meri 5,4 cm in tehta 14 g. Njegovo srce deluje kot pri odraslem, centralno živčevje pa se razvija in zori. Maternica je velikosti grenivke, telo nosečnice pa se počasi spreminja. Imuniteta pade, kar je naraven odgovor telesa na nosečnost. V 13. tednu plod meri 7,4 cm in tehta do 23 g. Glavica še vedno predstavlja polovico dolžine ploda, vendar okončine hitro rastejo. Jutranje slabosti običajno pojenjajo, pogosto pa se pojavi zgaga. V tem tednu nosečnica pogosto obvesti svojo družino in prijatelje o veseli novici.
Drugo Trimesečje: Obdobje Stabilizacije in Rasti (14. do 26. teden)
Drugo trimesečje nosečnosti pogosto velja za obdobje najboljšega počutja, saj se začetne slabosti umirijo, plod pa še ni tako velik, da bi povzročal večje nelagodje.
Fizične Spremembe in Razvoj Ploda:Med 14. in 19. tednom se pod vplivom hormonov upočasni prebava, kar lahko povzroči zaprtje ali zgago. Krični tlak se lahko zniža, kar lahko povzroči omotico. V tem obdobju plod začne rasti lasje, obrvi in trepalnice, celotno telo pa pokrijejo nežni lasje (lanugo), ki ščitijo kožo. Tveganje za spontani splav se znatno zniža, nosečnica pa pogosto čuti naval energije in povečan apetit. Maternica sega nad sramnico.
V 15. tednu plod meri 12,7 cm in tehta 57 g. Na ultrazvoku ga lahko vidimo, kako sesa palec. Lahko začuti močno svetlobo od zunaj, stisne pest ali se refleksno smeji. Nosečniški trebušček je že lepo viden, povprečna pridobitev teže do 15. tedna je okoli 2,3 kg. Srce prečrpa za 20 % več krvi kot izven nosečnosti.
Do 16. tedna plod meri 13,5 cm in tehta 70 g. Vse mišice in kosti so formirane, izločanje urina in krvni obtok že delujeta. Nosečnica lahko že začuti nežne gibe ploda, še posebej, če je posteljica na zadnji steni maternice ali če je že rodila.
V 17. tednu plod meri 14,5 cm in tehta 110 g. Ušesa so popolnoma formirana, razvija se čutilo sluha, začne pa se kopičiti maščevje v telesu. Če je plod deklica, se v njenih jajčnikih nahaja 6.000.000 jajčnih celic. Maternica potiska črevesje navzgor in na strani.
Do 18. tedna plod meri 13 cm in tehta 140 g. Srček je popolnoma formiran, plod sliši srčni utrip svoje mame in zvoke iz zunanjega sveta. Če nosečnica že čuti gibe otroka, ni razloga za zaskrbljenost, če gibov ne čuti vsak dan.
V 19. tednu plod meri 17,8 cm in tehta 200 g. V tem tednu se razvija verniks (beli, mastni, sirasti premaz), ki ščiti plod, vsa čutila pa se intenzivno razvijajo. Pojavi se lahko bolečina krožne vezi, ki podpira maternico, zaradi rasti maternice.
Dvajseti teden predstavlja polovico nosečnosti. Plod meri 19,7 cm in tehta 260 g. Notranji organi so že na svojem mestu kot pri odraslem. Maternica sega do popka. V tem tednu se običajno opravi ultrazvočni pregled morfologije ploda.
Ključni Pregledi v Drugem Trimesečju:V drugem trimesečju se izvede ultrazvočni pregled morfologije ploda v 20. tednu. Opravijo se tudi analize krvne slike in urina, test na toksoplazmo in test na nosečnostno sladkorno bolezen med 20. in 24. tednom.
Nadaljnje Spremembe:V 21. tednu plod meri 21,6 cm in tehta 340 g. Požira plodovnico, kar pomaga pri razvoju prebavil. To je obdobje intenzivnega gibanja ploda. V 22. tednu plod meri 25 cm in tehta 400 g. Slišnost je že zelo dobro razvita. Lasje postanejo močnejši in gostejši, nohti trdi in močni. Vrh maternice je 2 cm nad popkom.
Do 23. tedna plod meri 28 cm in tehta 450 g. Koža postaja rožnate/rdeče barve zaradi nastajanja pigmenta. V pljučih se razvijajo krvne žile. Plod razlikuje zvoke in lahko prepozna mamin glas. Nosečnici pogosto zatekajo noge zaradi zadrževanja tekočine in pritiska maternice.
V 24. tednu plod meri 30 cm in tehta 540 g. Oči reagirajo na svetlobo, nozdrvi se odpirajo, refleksi so bolj izraziti. V telesu ploda se proizvajajo bele krvne celice, možgani se intenzivno razvijajo. V pljučih se začne proizvajanje surfaktanta, ki omogoča napolnitev zračnih mehurčkov. Med 24. in 28. tednom se lahko pojavi nosečnostna sladkorna bolezen, zato je v 24. tednu običajno opravljen obremenitveni test z glukozo.
Do 25. tedna plod meri 35 cm in tehta 600-700 g. Že lahko kaže preferenco glede uporabe roke. Lahko "vdihuje" in "izdihuje" plodovnico. Maternica je nad popkom, pritisk na želodec in zgaga se stopnjujeta.
V 26. tednu sluh je že tako razvit, da plod lahko skoči ob glasnem zvoku. Možgani so gladki, še vedno ni razvite povezave med živčnimi celicami. Še vedno je dovolj prostora za spreminjanje položaja. Nosečnice pogosto čutijo bolečine v križu, sklepi postanejo sproščeni, kar obremenjuje sklepne vezi. Zaradi pritiska maternice na trebušne organe se lahko pojavi ostra bolečina pod rebri.
Tretje Trimesečje: Zaključna Faza in Priprava na Porod (27. do 40. teden)
Tretje trimesečje je zadnja faza nosečnosti, zaznamovana z nadaljnjo rastjo ploda, pripravami telesa na porod in pričakovanjem novega življenja.
Spremembe v Tretjem Trimesečju:Po drugem trimesestru, času običajno čudovitega počutja, se v tretjem trimesečju ponovno pojavi utrujenost. Pogosti so krči v nogah, še posebej ponoči. Začenja se zadnja faza nosečnosti. Pogosta je bolečina v križu zaradi dodatne teže in pritiska glavice ploda na medenico. Medenične vezi se mehčajo in pripravljajo za porod. Pojavljajo se pogostejša otrdevanja trebuha (Braxton-Hicksovi popadki), ki pa se ne smejo stopnjevati v rednih presledkih, saj to lahko vodi do prezgodnjega poroda. Dojke so povečane, lahko se pojavi prvo mleko - kolostrum. Ponovno se pojavi pogosta utrujenost in tiščanje na vodo zaradi pritiska ploda na mehur. Lahko se pojavijo hemoroidi, razširjene vene, pomanjkanje sape.
Nadaljnji Razvoj Ploda:V 27. tednu je najljubša aktivnost ploda sesanje palca, trepalnice dokončno izrastejo. Pljuča so še nezrela za samostojno dihanje. Pogosto odpira oči, ki so pri vseh plodovih modre barve.
Do 28. tedna plod meri 38 cm in tehta 1050 g. Rastejo lasje, obrvi in trepalnice postanejo debelejše, obrazne poteze bolj izrazite, plod pogosto zeha. Količina plodovnice je maksimalna med 28. in 32. tednom. V tem obdobju je dobro, da nosečnica pozna znake prezgodnjega poroda.
V 29. tednu plod meri 38 cm in tehta 1200 g. Rastejo mišice in notranji organi, možgani že lahko kontrolirajo dihanje. Plod je vse bolj aktiven, nežne dlačice (lanugo) na telesu pa izginjajo. Nosečnica lahko občuti pomanjkanje sape zaradi pritiska maternice na prepono. Pogosta je nespečnost, nekatere nosečnice pa opazijo izločanje kolostruma.
Do 30. tedna plod meri 39 cm in tehta med 1200 in 1400 g. Količina maščobnega tkiva se povečuje. Zaradi hormona progesterona in pritiska maternice na črevo se prebava še bolj upočasni, zato se priporoča prehrana z vlakninami in zadostno pitje tekočin. Pridobitev teže do 30. tedna naj bi bila maksimalno 10 kg. Utrujenost se stopnjuje, maternica pa raste.
V 31. tednu plod meri 41 cm in tehta 1400 g. V 75 % je plod obrnjen z glavico navzdol. Rast se upočasni in plod se redi. Nosečnica pogosto čuti Braxton-Hicksove popadke, ki so neboleči in trajajo približno 30 sekund.
Do 32. tedna plod tehta 1600 do 1800 g in meri 42 cm. Priporoča se kontrola rasti in kondicije ploda. Koža je rožnate barve in gladka, nohti so prisotni na nogah in rokah. V enem tednu se plod lahko zredi 250 mg. Nosečnica lahko občuti hitro bitje srca, ponovno pogosto hodi na vodo.
V 33. tednu je zaradi velikosti trebuha težko poiskati ustrezen položaj za počitek. Nosečnica lahko na trebuhu zatipa dele otrokovega telesa.
Do 34. tedna plod meri med 43 cm in tehta 2000-2300 g. Obnaša se že kot novorojenček, posluša, sanja, čuti. Posteljica je zrela. Nosečnica zaradi nespečnosti in povečanja teže čuti večjo utrujenost. Na trebuhu in stegnih se lahko pojavijo rdeče pikice, ki srbijo.
V 35. tednu plod meri 44 cm in tehta 2500 g. Jetra, ledvice in pljuča so popolnoma pripravljeni za izvenmaternično življenje.
Do 36. tedna plod meri 46 cm in tehta 2700 g. Telo otroka je še vedno pokrito z verniksom. Sledijo zadnje laboratorijske preiskave pred porodom. V kolikor je plod obrnjen z ritko navzdol (medenična vstava), je v 36. tednu čas za zunanji obrat ploda. V nasprotnem primeru se nosečnica pogovori o vaginalnem porodu ali carskem rezu.
V 37. tednu plod je dolg 48 cm, težak 2950 g in je že donošen. Spušča se počasi v medenico. Vernixa in lanuga na koži ni več, plodovnica pa je mlečnega videza. Fantki rastejo hitreje kot deklice. Porod se lahko začne kadarkoli s pojavom rednih otrdevanj maternice ali razpokom ovojev. Maternični vrat se skrajša, zmehča in začne odpirati. Sprehajanje je priporočljivo.
Do 38. tedna plod meri 50 cm in tehta 3100 g. Dolžina ploda se ne bo več spreminjala. Količina plodovnice se zmanjšuje, zato so plodovi gibi zelo nežni. Nosečnica opaža še izrazitejše zatekanje nog in zadrževanje tekočine. Trebušček se je spustil.
Izračun Predvidenega Datuma Poroda (PDP) in Trajanje Nosečnosti:Med 39. in 42. tednom se lahko porod začne kadarkoli. Le približno 5 % nosečnic rodi točno na predvideni datum poroda. Kalkulator predvidenega datuma poroda pomaga oceniti datum, ko naj bi se otrok rodil. Znanstveno dokazane metode za oceno datuma rojstva vključujejo računanje glede na zadnji dan menstruacije (ZM) ali datum spočetja. ZM je okrajšava za "zadnja menstruacija", nosečnost pa se šteje v tednih od prvega dne te menstruacije. Metoda ZM predvideva redne 28-dnevne cikluse in ovulacijo na 14. dan. Datum spočetja je dan uspešne oploditve. Če je znan natančen datum spočetja, se temu datumu doda 266 dni (38 tednov) za izračun PDP.
Doba zdrave nosečnosti traja med 37 in 42 tednov. V tem 5-tedenskem časovnem razponu se otrok šteje za rojenega v terminu oziroma je donošen. Dojenčki, rojeni pred 37. tednom, so nedonošenčki. Večplodne nosečnosti se običajno zaključijo prezgodaj. Na dolžino nosečnosti lahko vplivajo tudi drugi dejavniki, kot je čas implantacije ali višina ženske.
Prilagoditve Telesa Matere Skozi Nosečnost
Telo nosečnice se skozi celotno nosečnost dinamično prilagaja novim razmeram, kar vpliva na številne organske sisteme.
Srce in Ožilje: Srčni utrip v mirovanju se poveča za 10-15 utripov na minuto. Poveča se količina krvi, ki jo srce črpa po telesu, kar vpliva na pretok krvi skozi organe, zlasti skozi maternico. Zniža se krvni tlak v arterijah, nosečnice so lahko bolj utrujene in omotične. Tlak v venah se poveča, kar lahko vodi v otekline in krčne žile na nogah.
Pljuča: Zaradi hitrejšega črpanja krvi srce pospeši tudi pretok krvi skozi pljuča, kar povzroči hitrejše dihanje.
Sečila: Rastoča maternica pritiska na mehur, kar povzroča pogostejše uriniranje. Lahko pride do blage razširitve sečevoda. V telesu se zadržuje več vode, kar je normalno. Optimalna pridobitev telesne teže v nosečnosti je med 12-13 kg.
Zunanje Spolovilo: Hormon progesteron zadebeli sluznico nožnice in ustvari kislo okolje, ki delno ščiti pred patogenimi bakterijami. Vendar pa je zaradi spremenjenega pH pogostejše glivično vnetje. Normalno je nekoliko povečan vaginalni izcedek.
Koža: Hormoni spodbujajo pigmentne celice, kar povzroči potemnitev bradavic in zunanjega spolovila ter pojav linea nigra (temne črte na trebuhu). Te spremembe običajno izginejo po porodu.
Sklepi: Hormon relaksin zmehča vezi in sklepe, kar lahko povzroči povečanje številke noge in bolečine v sklepih.
Krvavitve iz Nožnice Med Nosečnostjo: Med nosečnostjo ni menstruacije. Blaga krvavitev ob ugnezditvi zarodka je normalen pojav. Kakršnakoli druga krvavitev pa predstavlja tveganje in zahteva takojšen pregled.
Nosečnost: Vodnik po mesecih | 3D animacija
Nosečnost je zapleteno in čudovito obdobje, ki ga spremljajo številne spremembe tako pri plodu kot pri materi. Redni zdravniški pregledi in skrb za zdrav življenjski slog so ključni za uspešno in zdravo nosečnost.
tags: #dolzina #nosecnosti #pri #zenski
