Okužbe sečil so pri otrocih kar pogoste in prizadenejo celo dojenčke. Pojavijo se zaradi razširitve bakterij iz črevesja v sečila. Boleče uriniranje je najpogosteje posledica uroinfekta, ki je v obdobju dojenčka pogostejši pri dečkih, kasneje pa pri deklicah. Uroinfekt pomeni vnetje sečil: obeh ledvic, sečevodov, mehurja in sečnice. Do uroinfekta pride zaradi nenormalnega razvoja bakterij v urinu. To je drugi izraz za pojav krvi v urinu. Kri v seču je lahko vidna le z mikroskopom, lahko pa je urin očitno obarvan. Če pri otroku opazite znake vnetja, obiščite zdravnika. Na podlagi pregleda in osnovnih laboratorijskih izvidov (izolacija bakterije, Sanford) se bo odločil za morebitno antibiotično terapijo. Dojenčkom do šestega meseca starosti in pa tudi malčkom se najpogosteje predpiše antibiotik Ceclor (cefaklor). Gre za cefalosporinski antibiotik 2. generacije, ki ima najmanj stranskih učinkov. Učinkovit je proti večini bakterij, ki so v tem obdobju običajno prisotne. Ker dobivajo otroci le del običajne doze (na primer tretjino), so stranski učinki blagi in redki.
Razumevanje ledvic in okužb sečil
Ledvice delujejo kot filter, ki očisti telo odpadnih snovi. Uravnavajo količino vode v telesu ter krvni tlak. Okužbo ledvic povzročijo različne bakterije in ostali mikroorganizmi, ki se prenašajo do ledvic po sečilih ali po krvi. Približno tretjina bolnikov z okužbo ledvic ima tudi vnetje ostalih sečil. Možni vzroki so okužba z bakterijami, ki se po krvi prenašajo po telesu in povzročijo vnetje, ko na primer pade otrokova odpornost po preboleni drugi bolezni. Vzrok je lahko tudi refluks oziroma druga zapora sečnega toka ali pa pride do okužbe zaradi prenosa bakterij s spolovil ali anusa v sečevod.

Higiena kot ključ do preprečevanja okužb
Pri preprečevanju okužb sečil je odločilna higiena. Kadar deklici menjate pleničko, ji spolovilo vedno brišite od spredaj nazaj, da klice iz črevesa ne zaidejo v vagino in sečnico. Pogosta težava pri deklicah je lahko tudi izcedek iz vagine. Pri nekaterih novorojenčicah vidimo bel izcedek iz nožnice, včasih z nekaj sragami krvi. Povzročijo ga hormoni, ki preidejo z matere na otroka. Krvavitev je nekakšna mini menstruacija, ko po rojstvu vpliv materinih hormonov preneha. Pri starejšem otroku je včasih potrebna samo poostrena higiena in srbečega izcedka ne bo več. Pogosto ga povzroči preobčutljivost na peneče kopeli in pralne praške. Izcedek iz nožnice pa lahko povzročijo tudi gliste, ki pridejo iz anusa, še posebej, če se deklica rada praska po zadnjici. Tudi pri dečkih, nagnjenih k okužbam, ne uporabljajte dišečih izdelkov za kopanje.
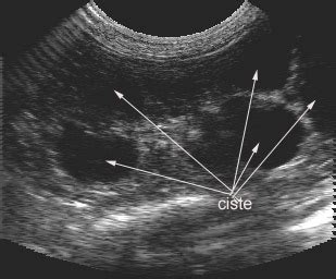
Razvojne nepravilnosti in diagnostične metode
Urin odteka iz ledvic po sečevodih v mehur, ki se lahko raztegne ali skrči. Na mestih, kjer sečevoda vstopata v mehur, sta enosmerni zaklopki. Ti preprečujeta, da bi urin tekel nazaj proti ledvicam. Včasih ti zaklopki ne delujeta dobro, zato med uriniranjem, ko se poveča tlak v mehurju, urin zateka nazaj proti ledvicam, kar imenujemo refluks. Vnetje sečil je dokaj pogosta bolezen otrok z motnjami v razvoju sečil. Ker vsako vnetje ledvic pusti brazgotino in delno okvari delovanje ledvic, je treba čim prej izključiti takšno motnjo. Pogosto gre za oviro pri odtoku seča ali za moteno delovanje zaklopk pred vstopom sečevodov v mehur ali na izhodu sečnice iz mehurja. Te motnje se da lepo prikazati s slikanjem sečnih poti - ultrazvočno slikanje, rentgensko slikanje s kontrastom ali z vbrizganjem radioizotopa. Vsako je prilagojeno starosti otroka in pričakovani motnji oziroma bolezni. Z ultrazvokom lahko najdejo različne razvojne nepravilnosti, kot na primer razširjen votli sistem ene ali obeh ledvic že pri novorojenčku. Med votli sistem štejemo ledvični meh (pielon), ki se nadaljuje v sečevod (ureter). Pri nekaterih dojenčkih je ta sistem lahko razširjen, ponavadi zaradi motnje v odtoku seča. Praviloma je razširjen del nad oviro ali zaporo. Tovrstne napake se da dobro odkrivati z ultrazvokom, ki je enostavna, hitra in neškodljiva preiskava.

Po ultrazvočni preiskavi pride ponavadi na vrsto radioizotopsko kontrastno slikanje sečil (RIMCUG - radioizotopski mikcijski cistoureterogram). Izotop je zelo kratkoživ, telo s sevanjem minimalno obremeni, alergične reakcije nanj pa so izredno redke. Ta preiskava nam pove, kakšna je izločevalna sposobnost obeh ledvic. Iz velikosti in intenzivnosti slike se da sklepati tudi o velikosti in obliki ledvic, sečevodov, mehurja ter sečnice. Indikator »obarva« izločala, skozi katere teče. Z zelo občutljivim detektorjem nad kožo se beleži radioaktivno sevanje kontrasta ter na ekranu izrisuje slika izločal. V nekaj prehodih skozi ledvice se kontrast v celoti izloči. Pomembno je, da je otrok med slikanjem, ki ne traja dolgo, čim bolj pri miru. Zaradi manjše obremenitve s sevanjem je radioizotopska metoda izpodrinila klasično rentgensko slikanje. Dinamična scintigrafija da podatek o sposobnosti izločanja urina, pokaže delež posamezne ledvice v odstotkih. Pri tej preiskavi bolniku v žilo vbrizgajo radioaktivno sredstvo, nato spremljajo njegovo izločanje s posebno kamero in izračunajo delež posamezne ledvice v skupni funkciji.
Okužbe sečil na enostaven način - jasno razloženo
Mokrenje postelje in druga vprašanja
Mokrenje postelje je sprva popolnoma normalen pojav in šele po petem letu otrokove starosti pričnemo razmišljati, ali je z otrokovim telesnim ali psihičnim dozorevanjem vse v redu. Pri dečkih je ta razvoj lahko še za kakšno leto počasnejši. Nočno močenje postelje ali »enuresis nocturna« je redko obolenje, vzrok pa najprej iščemo v zapoznelem razvoju, nato v nepravilnem privajanju na čistost in šele na koncu v pravi bolezni, ki potrebuje zdravljenje. Če otrok moči zato, ker mu stalno curlja urin, je treba obiskati pediatra, ki bo najprej izključil okužbo sečnih poti, nato morda dodal ultrazvočni pregled trebuha in sečil ter ocenil delovanje mehurja in ledvic. Redko bo potrebna napotitev k urologu.
Pogosti izcedki pri deklicah in vzroki
Pogost izcedek iz nožnice pri deklicah, zlasti v predpubertetnem obdobju, je lahko skrb vzbujajoč, vendar pogosto izvira iz benignih vzrokov. Pri nekaterih novorojenčicah se lahko pojavi belkast izcedek, včasih z majhnimi primesmi krvi, ki je posledica hormonskega vpliva materinih hormonov. Ko ta vpliv popusti, izcedek izgine. Pri starejših deklicah je lahko izcedek posledica slabe higiene, preobčutljivosti na določene izdelke za osebno nego, kot so peneče kopeli ali pralni praški. V nekaterih primerih so lahko vzrok tudi gliste, ki se iz anusa premaknejo v nožnico, še posebej, če se deklica pogosto praska po zadnjici. Pomembno je vzdrževati dobro higieno in se izogibati dražečim snovem.
Če se izcedek ponavlja ali je prisotna srbečica, je priporočljiv obisk pediatra ali otroškega ginekologa. V nekaterih primerih lahko izcedek povzroči tujek, ki si ga je deklica sama vstavila v nožnico, kar je pogostejše pri otrocih med 3. in 7. letom starosti. Simptomi, kot so bolečine v trebuhu, lahko nakazujejo na vnetje ali drug problem, ki zahteva zdravniško obravnavo. V redkih primerih so lahko ponavljajoči se krvavi izcedki znak resnejših stanj, zato je pomembno, da se ob takšnih pojavih posvetujete z zdravnikom.
Pomen higiene nosu in dihalnih poti
Nos je vohalni organ, hkrati pa je glavna pot zračnemu toku v pljuča in iz njih. Dnevno steče skozi nos približno 10.000 litrov zraka, z njim pa v nosne votline zaidejo tudi povzročitelji obolenj. Pri neokrnjenem imunskem sistemu se ti s pomočjo migetalk hitro izločijo iz nosu. Če pa je zunaj mrzlo in vlažno, je nosna sluznica slabše prekrvavljena in lokalni imunski sistem oslabljen. Virusi prehlada, imenovani tudi rinovirusi, imajo v takšnih pogojih idealno okolje za svoje delo. Vdrejo v nosno sluznico, se tam usidrajo in nato zelo hitro razmnožujejo. Takšna virusna okužba lahko hitro povzroči vnetje zgornjih dihalnih poti. Simptome, ki sledijo, poznamo vsi: izcedek iz nosu ter boleča in pordela notranjost nosu. Nosna sluznica oteče in nosne votline se zožijo, s čimer je dihanje skozi nos močno oteženo. Že v kratkem času postane nosni izcedek gostejši, s čimer dokončno zamaši že tako zožene nosne votline. Stanje imenujemo rinitis. In vsekakor nas zamašenost nosu, razen težav pri dihanju, ovira tudi pri okušanju. Čuta za voh še niso uspeli povsem razložiti, saj je precej bolj zapleten in visoko specializiran kot čut za okus. Zanimivo je, da obstaja mnogo več različnih vonjev kot pa okusov. Subjektivni občutek okusa pri uživanju hrane je kombinacija voha in okusa.
Otroški noski so manjši, dihalne poti so krajše, zato potrebujejo prilagojeno nego. Odrasli zbolijo za prehladom od 2- do 5-krat na leto, otroci pa kar do 3-krat pogosteje. Njihov organizem namreč še ni popolnoma vzpostavil svoje naravne odpornosti. Drugačna je tudi njihova anatomija. Evstahijeva cev (prehod, ki povezuje nos in žrelo s srednjim ušesom) je pri dojenčkih in majhnih otrocih krajša in bolj vodoravna, zato se lahko hitreje zamaši, kar pripelje do okužbe srednjega ušesa. Vsekakor lahko sami veliko pripomoremo k lažjemu dihanju in odprtju nosnih poti. Zelo pomembno je uživanje več tekočine, da bo sluznica vlažna. Znano je namreč, da je zgolj dovolj vlažna sluznica zdrava in se lažje zoperstavi virusom. Hipertonične raztopine pa so priporočljive, kadar želimo nosne poti odmašiti. Tudi prostorom doma je potrebno zagotoviti ustrezno vlažnost. Za ublažitev zamašenega nosu se uporabljajo nazalni dekongestivi. Ti povzročijo skrčenje žilic v nosni sluznici, s čimer zmanjšajo njeno oteklino in tako olajšajo dihanje ter izločanje sluzi. V lekarni je na voljo precej zdravil, ki se dobijo brez recepta. So v obliki kapljic ali pršil za nos, pa tudi v obliki tablet (oksimetazolin, ksilometazolin,…). Vendar moramo biti pri uporabi previdni. Na voljo so tudi inhalatorji otroških oblik, ki so dobrodošla pomoč ob težavah z zamašenim nosom ali težavah s kašljem. Ponudimo lahko tudi pripravke z eteričnimi olji in mazili za otroke, ki olajšajo dihanje. Vendar pozor, vsa eterična olj niso priporočljiva za otroke. Aspiratorji za čiščenje nosu so dobrodošla rešitev pri otrocih, ki sami ne znajo in ne zmorejo izpihati nosu. Vedno si najprej umijte roke, otroku pa lahko nos očistite leže (dojenčki) ali pa v naročju. Dojenčka položite na hrbet, glavico mu nagnite rahlo nazaj. Svetujemo, še posebej če je izloček gost, da otroku v nosek najprej nakapajte oz. razpršite fiziološko raztopino - izotonično raztopino v obe nosnici. Nosnici poskusite najprej nežno očistiti. Če je treba, ponovno nakapajte fiziološko raztopino najprej v eno nosnico in izčrpajte sluz z aspiratorjem. Aspiratorjev je več vrst: na vdih, nosni nastavek z bučko, elektronski, baterijski in aspiratorji, ki se priključijo na sesalec. Uporaba vseh je enostavna, čiščenje noska pri otroku pa ni boleče, temveč le neprijetno. Pred uporabo natančno preberite navodilo!
Rumeni izcedek iz nosu: kaj sporoča?
Pri prehladu je vsem dobro poznan pojav izcedek iz nosu. Kaj pomeni, če je rumene barve? Rumen izcedek iz nosu oziroma rumenozelen izcedek iz nosu je pri mnogih ljudeh pogost pojav. Rumenozelena sluz je običajno znak, da se telo bori z nekakšno okužbo, najpogosteje z okužbo sinusov. Različne barve izločka lahko nakazujejo več stanj, vendar največkrat samo po barvi izločka ni mogoče ločiti bakterijske okužbe od virusne. Sluz iz nosu, torej izločki in sluz, je tekoča, spolzka snov, ki prekriva sluznico dihalnih poti. Čeprav je sestavljena iz več spojin, ime sluz izvira iz njene glavne sestavine, mucina, glikoproteina, ki ga najdemo v več viskoznih raztopinah v telesu, vključno s slino in želodčnimi sokovi. Sluz je pomemben del dihalnega sistema, ki pomaga ohranjati zdravje, vključno z ohranjanjem vlage v sinusih in mazanjem dihalnih poti, preprečuje prahu in drugim škodljivim delcem vstop v dihala ter pomaga pri boju proti okužbam, ki lahko povzročijo vnetje in bolezni. Ker imajo izločki tako pomembno vlogo pri ohranjanju zdravja, je pomembno, da smo pri izpihovanju nosu pozorni na spremembe v njihovi konsistenci, barvi in na spremembe v tem, ali imajo izločki neprijeten ali neprijeten vonj.
Med okužbo se bele krvničke borijo proti vnetju. Med tem bojem proizvajajo koncentrirane encime, ki dajejo izločkom iz nosu drugačno barvo. Običajno je rezultat svetlo zelen ali rumen izcedek iz nosu. Rumeno-zelena barva nosnih izločkov pravzaprav izvira iz mrtvih belih krvničk, ki so opravile svojo vlogo v boju proti virusom, bakterijam, glivicam ali drugim vsiljivcem, ki povzročajo bolezni. Če je izloček zelen, je to jasen znak, da se telo še bolj bori, zato skrbno spremljajte svoje počutje, da boste pravočasno poiskali zdravniško pomoč.

Vzroki za rumen izcedek iz nosu:
- Virusna okužba: rumeni izcedek je pogosto znak virusne okužbe; bele krvničke, proizvedene za boj proti boleznim, bodo spremenile barvo izločkov zaradi sproščanja vnetnih snovi med imunskim odzivom. Virusna okužba bo verjetno izzvenela sama od sebe v enem tednu, medtem ko lahko bakterijska okužba traja nekoliko dlje.
- Sinusitis: vnetje sinusov lahko povzroči rumeno ali zeleno sluz; pojavi se, ko se sinusne votline zamašijo ali okužijo, kar povzroči čezmerno nastajanje sluzi; ujeta sluz lahko spremeni barvo, ko se zadržuje v sinusnih prehodih.
- Okužbe dihal: pri boleznih, kot sta bronhitis ali pljučnica, lahko vnetje bronhijev ali pljuč povzroči povečano nastajanje sluzi. Prisotnost vnetnih celic in beljakovin v sluzi lahko daje tudi rumen ali zelenkast odtenek.
- Cistična fibroza: pri bolnikih s cistično fibrozo se običajno pojavi nenormalno nastajanje izločkov. Vpliva na beljakovino, ki je odgovorna za uravnavanje pretoka soli in vode v celice in iz njih, kar lahko povzroči gosto, lepljivo sluz v dihalnih poteh, če beljakovina ne deluje pravilno.
- Alergije: alergijske reakcije na alergene v zraku, kot so cvetni prah, pršice ali dlaka hišnih ljubljenčkov, lahko povzročijo povečano nastajanje sluzi in povzročijo, da izločki postanejo rumeni ali zelenkasti.
Spremenjen izcedek, zlasti rumenozelen, je način, s katerim telo sporoča, da se nekaj dogaja. Čeprav običajno ni razloga za posebno zaskrbljenost, je pametno spremljati svoje simptome in kako dolgo traja obarvan izcedek, da ugotovite, ali morate poiskati strokovno zdravljenje. Če rumenozelen izcedek ne izgine v 10 dneh, je čas, da poiščete zdravniško pomoč, še posebej, če se rumen izcedek iz nosu pojavi pri otrocih. Zdravljenje rumene ali zelene sluzi je odvisno od osnovnega vzroka. Če je izcedek posledica bakterijske okužbe, se lahko predpišejo antibiotiki za boj proti okužbi v primerih, kot so: okužba traja več kot 10 dni ali če se poslabša po enem tednu, izcedek je gost in enakomerno bel (izgleda kot gnoj), prisotna visoka temperatura, ki se ne izboljša, obstajajo resni simptomi, ki se ne odzivajo na običajna zdravila za sinuse in prehlad brez recepta. Virusna okužba bo ob ustreznem počitku in hidraciji izginila sama od sebe.
Vnetje oči pri otrocih (Konjunktivitis)
Vnetje oči pri otroku je lahko trdovratna težava, predvsem pa precej nalezljiva. Posebej pozorni bodite na vnetje oči pri dojenčku, ki zahteva veliko skrbnosti in nege. Vnete oči so pri otrocih v predšolskem obdobju precej pogosta težava. Pravzaprav so najpogostejša težava z očmi pri otrocih, mlajših od štirih let. Pogosto se pojavijo v spremljavi s prehladom, lahko pa so tudi posledica alergije. Vesela novica je, da težava okoli 6. leta starosti običajno izzveni. Če opazite, da si vaš otrok pogosto menca oči, da ga srbijo, na videz pa so rdeče in otekle, ste lahko precej prepričani, da ima vnetje oči ali konjunktivitis. Konjunktivitis pravzaprav pomeni vnetje očesne veznice ali konjunktive, kot se ta del očesa strokovno imenuje. Gre za nežno vezivo, ki prekriva površino očesnega zrkla in notranjo površino vek. Veznica sicer varuje oko pred tujki in mikrobi ter vzdržuje solzni film na površini očesa. Konjunktivitis se ponavadi začne na enem očesu, a se praviloma razširi tudi na drugo oko.
Konjunktivitis pri otroku ponavadi povzročajo virusi ali bakterije, kar s skupnim imenom imenujemo infekcijski konjunktivitis. Glede na simptome in potek bolezni lahko precej natančno uganete, kateri mikrobi so ga povzročili. Poleg tega je virusno vnetje oči pogostejše poleti, bakterijsko pa pozimi in spomladi. Virusni konjunktivitis se pogosto pojavi najprej na enem očesu, nato pa si ga otrok prenese na drugega. Najpogostejši povzročitelji virusnega konjunktivitisa so adenovirusi, redkeje herpes simplex virus (HSV), varicella-zoster virus (VZV) in picornavirus (enterovirus 70, Coxsackie A24).
Pri bakterijskem konjunktivitisu je najočitnejši simptom izcedek iz oči. Z lahkoto ga boste prepoznali, saj je gost, obilen in rumeno-zelen. Značilna in za otroka posebej neprijetna je zlepljenost vek ob jutranjem prebujanju ali po popoldanskem počitku. Težave se pri bakterijskem konjunktivitisu pojavijo nenadno, bolečina je minimalna, oko je praviloma pordelo, le redko pa srbi. Ta tip konjunktivitisa je precej nalezljiv. Alergijski konjunktivitis lahko povzroči podobne simptome kot infekcijski. Najbolj izrazit simptom je srbenje, pojavi pa se tudi prozoren izcedek, ki je lahko sluzast ali ne. Različne tipe konjunktivitisa je najlažje ločiti glede na nalezljivost. Zdravljenje vnetih oči je odvisno od vzroka za pojav težav. Ker ga težko z gotovostjo ugotovite sami, priporočamo, da z otrokom obiščete pediatra. Ta bo predpisal ustrezno zdravljenje. Pediater bo na pregledu potrdil, ali ima vaš otrok infekcijski konjunktivitis in ne zgolj alergije. Če so pri vašem otroku za težave krive bakterije, bo najverjetneje predpisal protibakterijske kapljice ali mazilo. Če bo pediater ugotovil, da je vašega otroka doletel virusni konjunktivitis, vam bo svetoval o pravilni higieni oči v času vnetja ter opozoril na lajšanje simptomov viroze, kot sta zamašen nos in vročina. Da bi preprečili širjenje bolezni, je zelo pomembna temeljita in vestna higiena tako področja okoli oči kot rok in doma. Solze in izcedek iz oči otroku brišite iz notranjega dela očesa proti zunanjemu, in to vedno samo v eno smer. Vedno uporabite samo čist del gaze oz. vate. Za čiščenje izcedka vam posebej priporočamo sterilne krpice Blephaclean, ki odlično odstranijo okužene solze ali zasušen izcedek. Primerne so za otroke od 3. leta starosti dalje. Otrok se lahko pri bakterijskem vnetju oči v vrtec ali šolo vrne po 48 urah od začetka antibiotičnega zdravljenja.

Starši otečene in pordele oči otrok neredko dodobra prestrašijo. Nikar se ne prenaglite in ne pomislite že takoj na začetku na kaj hujšega. Ponavadi vnete oči pri otroku niso resnejša bolezen, poleg tega pa se jih zlahka zdravi. Posvetujte se z izbranim pediatrom, ki vas bo pomiril in predpisal ustrezno zdravljenje. Simptomi vnetja oči pri otroku so lahko različni. Oči so lahko videti mokre, se solzijo, bolijo, otečejo, poviša se telesna temperatura, oči postanejo rdeče, včasih iz njih ob pritisku na notranji kotiček med noskom in zgornjo veko izteka gnoj. Največkrat je prizadeto le eno oko. Najpogostejša očesna vnetja pri otrocih so po navadi tista, pridružena številnim virusnim okužbam. Prepoznamo pa jih lahko tako, da sočasno opazimo tudi okužbo zgornjih dihal, izcedek iz nosu, boleče grlo, kašelj, glavobol in povišano telesno temperaturo. V primeru otroških viroz lahko vse te znake opazimo hkrati, včasih pa se pojavi le nekaj izmed njih.
Zakaj se vnetje oči tako hitro širi med malčki? Virusi in/ali bakterije v večini primerov potujejo iz nosno-žrelnega prostora v oči po solznih kanalčkih ali pa kar neposredno, ko si otroci z rokami, prekritimi z izcedkom iz nosu drgnejo ali mencajo oči, nato pa se dotikajo drug drugega ali skupnih predmetov in igrač, s katerimi se igrajo. Tako preko izcedka okužbo prenesejo drug drugemu.
Če zdravnik opredeli, da gre za virusni konjunktivitis, antibiotično zdravljenje ni učinkovito. Otrok v tem primeru ostane kužen. Otroci, ki obiskujejo vrtec ostanejo doma, vse dokler so kužni. Bolnik je kužen od 10 do 12 dni, od začetka simptomov in dokler je prisoten izcedek iz oči. V primeru bakterijskega konjunktivitisa pa se otrok lahko vrne v vrtec 48 ur po tem, ko začne zdravljenje z ustreznim antibiotikom.
Virusna vnetja ob virusnih okužbah dihal se pozdravijo sama in ne potrebujejo antibiotičnega zdravljenja. Pri tem se svetuje redno izpiranje noska s fiziološko tekočino, kar pa praviloma poteka tako, da starši s kapalko, napolnjeno s fiziološko tekočino resnično izperejo oko, torej nežno razprejo veki in oko izdatno polijejo z raztopino in ne brišejo očesa z raznimi vatiranimi blazinicami ali palčkami.
Materino mleko sicer vsebuje precej beljakovin in maščob in lahko predstavlja tudi odlično gojišče za bakterije. Zdravljenje na ta način je torej zadovoljivo le, če ob sebi nimate na voljo sterilne fiziološke raztopine.
Vnetje očesa zdravi le zdravnik specialist oziroma oftalmolog. Nikoli ne ukrepajte sami, brez pomoči zdravnika in ob znakih vnetja očesa otroka naročite na pregled. Včasih gre lahko za virusno ali bakterijsko vnetje, včasih pa se zgodi, da otroku med igro v oko pade tujek, kar zna biti izjemno boleče in neprijetno, pojavijo pa se podobni znaki, kot pri vnetju očesa - boleče, solzno oko, izcedek, ki je lahko tudi gnojen, pordela očesna veznica, stanje pa se lahko hitro slabša, zato je tudi v tem primeru izjemno pomembna vaša hitra reakcija in pregled pri zdravniku.
Pri nekaterih otrocih se lahko pojavi pogosto mežikanje z očesi. Vzroki za mežikanje so lahko poleg dioptrije tudi alergije sluznice oči, vnetje oči, pa tudi psihološki razlogi. Predlagam pregled pri okulistu za razjasnitev teh znakov.
Prehlad in druge okužbe dihal pri dojenčkih
V 90% ga povzročajo virusi (rinovirus, adenovirus RSV, virus influence). Za prehlad so značilni izcedek iz nosu, zamašen nos in kihanje. Ponavadi je lahko prisoten tudi kašelj, ki priča o vnetju grla, žrela ali bronhijev. Vročina, nelagodje in bolečine v mišicah so že posledica večje infekcije. Simptomi navadno trajajo 1-2 dni, lahko pa se izražajo tudi do dveh tednov. Nosni izcedek je lahko še prisoten in se spremeni od serozne oblike do gnojne. Pomembno se je zavedati, da pri zelo majhnih otrocih, ki dihajo skozi nos, lahko zapora nosu povzroči težave pri hranjenju. Uporaba antibiotikov nima pomembne vrednosti in lahko povzroča stranske učinke. Serozno gnojni izcedek ni indikacija za antibiotično terapijo, razen če traja gnojni izcedek iz nosu več kot 10-14 dni. Zdravljenje je simptomatsko, ki vključuje paracetamol in topično uporabo vazokonstriktornih kapljic za nos.
V 70% so povzročitelji virusi. Od bakterij prevladuje beta hemolitični streptokok skupine A. Streptokokna okužba je redka pri otrocih mlajših od 5 let in pogostejša pri starejših. Najpogosteje se pojavljata pri otrocih med 4. in 7. letom starosti. Simptomi vključujejo bolečino v žrelu, zamašenost nosu, kašelj, vročino, glavobol, slabost, bruhanje. Pri pregledu ust in žrela opazimo, da je slednje lahko pordelo, pozorni smo na tonzilarno otekanje in pordelost ter na gnojne čepe (eksudat) oziroma na obloge na tonzilah. Zasledimo lahko tudi petehije po mehkem nebu. Pri pregledu vratu lahko zatipamo povečane bezgavke. Zamašenost nosu in kašelj sta bolj tipična za virusno okužbo, čeprav se v 20% pojavljata tudi pri streptokoknem faringitisu. Odsotnost kašlja, nahoda, hripavosti, konjuktivitisa in diareje pričajo v prid streptokoknemu faringitisu. Za dokaz streptokokne okužbe se vzame bris žrela. Pozitiven izvid je zanesljiv, vendar v številnih primerih še vedno ne moremo razlikovati ali je povzročitelj zares streptokok ali pa je morda virusna angina. Zdravljenje je simptomatsko. V primeru, da sumimo na streptokokno okužbo je zdravilo izbora antibiotik penicilin. Še posebej kadar zatipamo povečane vratne bezgavke pri otroku starem manj kot štiri leta. Antibiotika ne smemo predpisati dokler ni potrjena diagnoza streptokoknega faringitisa. V primeru alergije na penicilin uporabimo eritromicin. Peritonzilarni in retrofaringealni absces ter mastoiditis so redke komplikacije pri okužbi s streptokokom.
Ozadje bolezni je večinoma bakterijska okužba (pnevmokok, piogeni streptokok, H. influenzae), ki se razširi iz žrela, sinusov in Eustahijeve cevi. V klinični sliki je značilna penetrantna in pulzirajoča trajna bolečina, visoka telesna temperatura, izcedek iz ušesa (otoreja), značilen otoskopski izvid (izbočen in pordel bobnič, prisotnost nivoja tekočine za bobničem, odsotna podajnost bobniča), razdražljivost, nemir, prenehanje sesanja, bolečina s pritiskom na tragus. Pri mlajših otrocih so lahko razdražljivost, nemir, jok in vlečenje za ušesa edini simptomi. Takojšnje antibiotično zdravljenje je indicirano pri otrocih z obojestranskim vnetjem ušes in starostjo pod dvema letoma in pri otrocih z otorejo. Amoksicilin je zdravilo prvega izbora. V primeru alergije uporabimo trimetoprim-sulfametoksazol (Primotren).
V klinični sliki ne najdemo podatka, ki bi bil diagnostično zanesljiv za postavitev akutnega sinuzitisa. Klinični simptomi in znaki, ki nakazujejo na akutni sinuzitis so naslednji: gnojni izcedek iz nosu, obrazna bolečina in napetost, periorbitalno otekanje, zmanjšana sposobnost voha (hipozmija), glavobol/zobobol, polnost v predelu ušes, vročina, kašelj. Simptomi bi naj bili prisotni vsaj 7 dni. Pri postavitvi diagnoze si poleg klinične slike pomagamo še s CT slikanjem obnosnih votlin. Vendar se moramo zavedati, da pri mlajših otrocih, obnosne votline še niso popolnoma razvite. Frontalni sinusi se ponavadi razvijejo komaj med 5. in 8. letom starosti. Antibiotično zdravljenje je indicirano, saj je večina bakterijskih povzročiteljev. Zdravilo izbora je amoksicilin, v primeru alergije pa Primotren. Terapija traja nekje 7-10 dni. V primeru izboljšanja in prisotni simptomatiki po 10 dneh, se priporoča podaljšanje antibiotične terapije za en teden. Simptomatično zdravljenje poteka z uporabo nosnih dekongestivov. Za preprečevanje in zdravljenje bolezni dihal pri otrocih se je izkazala terapija inhalacije finih solnih delcev. S pomočjo solnega inhalatorja SaltMed si lahko otroci in starejši blažijo simptome okužb zgornjih in spodnjih dihal. Sol, ki jo vdihavamo, deluje antibakterijsko in celi ter obnavlja dihalno sluznico.
Izcedek iz nosu ali zamašen nos, kihanje in moten spanec so posebej za dojenčke in majhne otroke moteči in hkrati resne težave. Nosne votline pri dojenčku so še vedno zelo blizu in se hitro zamašijo: okužbe dihal pri dojenčkih niso nič nenavadnega. Drug problem je, da dojenčki dihajo skoraj izključno skozi nos, zato je zamašen nos pri dojenčkih resen problem, ki lahko povzroči, da otrok zavrača mleko, saj med dojenjem ne more dihati skozi nos. Največkrat je to dokaj neškodljiva bolezen in izgine v 10-14 dneh brez posledic. Vendar pa je pomembno opozoriti, da se v tem času bolezen lahko širi v druge organske sisteme in ima bolj resne posledice. V otroštvu je zelo pogosta okužba srednjega ušesa, ki v hujših primerih lahko povzroči izgubo sluha. Prav tako pogosto pride do bolečega bronhitisa s kašljem in dispnejo. Tudi zamašenim nosom - ne pa tudi s povišano telesno temperaturo - lahko toplo oblečeni otroci preživijo čim več krat na dan pol ure na prostem. To spodbuja telesno obrambo in vzdržuje kondicijo. Prav tako je pomembno, da otrok dovolj pije, najboljši je topel zeliščni čaj. Če pa se pridružijo kašelj, vročina ali drugi zapleti, nujno obiščite zdravnika.
Pogostost prehladov pri predšolskih otrocih je največja in se zmanjšuje s starostjo. Pomembno je, da navlažite nosno sluznico v času kurilne sezone, tako, da si priskrbite vlažilec prostora ali pa na radiator položite mokro brisačo.
Plenični dermatitis: vzroki in zdravljenje
Novopečene mamice se pogosto soočajo s pleničnim dermatitisom, ki povzroča rdečico ali izpuščaje na predelu, kjer plenica pride v stik s kožo. Kljub temu, da je problematika dobro poznana, je lahko za starše zelo moteča in povzroči nelagodje tako pri dojenčku kot tudi pri starših. Razumeti vzroke in preprečiti nastanek tega stanja je zato ključnega pomena za dobro počutje otroka in tudi njihovih staršev.
Plenični dermatitis je vnetje kože, ki se pojavi na predelu kože, ki je v stiku s plenico - predvsem na zadnjici, stegnih in v predelu genitalij. Gre za eno najpogostejših kožnih težav pri dojenčkih in majhnih otrocih, saj se v splošnem pojavi pri kar 50 % dojenčkov v prvem letu življenja. Vzrok je poškodovana kožna pregrada, do katere pride zaradi prisotnosti urina in blata v plenici. Plenični izpuščaj se običajno pojavi že med 3. in 12. tednom starosti, najvišja pojavnost pa je med 9. in 12. mesecem starosti.
Simptomi pleničnega dermatitisa običajno vključujejo:
- Rdečina in vnetje kože v predelu, kjer plenica pride v stik s kožo.
- Suha in luskasta koža, ki se lahko pojavi, ko se koža začne obnavljati po vnetju.
- Mehurji ali rane, ki nastanejo v hujših primerih, ko koža postane močno poškodovana zaradi draženja.
- Srbenje in nelagodje, zaradi katerih je dojenček nemiren, najverjetneje se bo tudi težje premikal ali spal.
Priporočamo, da se z zdravnikom posvetujete v primeru, ko:
- po štirih dneh domačega zdravljenja ni izboljšanja ali če hkrati opazite tudi bele madeže v ustih, ki postanejo rdeči, ko jih obrišete s čisto krpico.
- plenični izpuščaj po nekaj dneh ne izgine ali se celo poslabša.
- področje pod plenicami je prekrito z mehurji, ki za seboj puščajo plitke rdeče čire.
- je sinov penis otekel in rdeč, tako da ne morete potegniti kožice navzdol, ali pa opazite zelenkast izcedek iz penisa.
Vzroki pleničnega dermatitisa:
- Draženje kože: urin in blato sta glavna dražeča sredstva, ki povzročata plenični izpuščaj. Ko se urin stika s kožo, povzroči povišanje kislosti, kar draži površino kože. Blato pa vsebuje encime, ki ob dolgotrajnem stiku razgrajujejo kožo, kar vodi v vnetje in rdečico.
- Neskladnost s plenicami: tudi vrsta plenic, ki jih starši uporabljajo, lahko vpliva na pojav pleničnega dermatitisa. Plenice, ki niso dovolj zračne ali vsebujejo kemikalije, barvila ali dišave, lahko dražijo kožo. Tudi tiste plenice, ki se ne prilegajo pravilno, lahko povečajo stik kože z vlago, kar povečuje tveganje za nastanek izpuščajev.
- Mokre plenice: dolgotrajna izpostavljenost mokrim plenicam je eden glavnih vzrokov za plenični dermatitis. Ko se plenica napolni z urinom in ostane na koži predolgo, povzroči povečano vlago, kar zmanjša naravno zaščito kože. To omogoči dražečim snovem, da prodrejo v kožo, kar povzroči vnetje in poškodbe.
Kako zdraviti plenični dermatitis?
- Redno menjavanje plenic: zamenjajte plenice čim pogosteje, da preprečite dolgotrajno izpostavljenost kože vlagi.
- Temeljito čiščenje: očistite kožo z blagimi čistilnimi sredstvi ali samo s toplo vodo, nato pa jo temeljito posušite.
- Uporaba vlažilnih krem: pri negi pleničnega dermatitisa uporabljajte kreme, ki obnavljajo kožo in ohranjajo vlago, kot so npr. tiste z naravnimi sestavinami, ki delujejo protivnetno, obnavljalno in zaščitno.
- Izberite plenice brez dišav, barvil in kemičnih dodatkov ter se izogibajte agresivnim milom in robčkom.
Konopljini izvlečki so poznani po svojih protivnetnih in pomirjujočih lastnostih. V primeru različnih kožnih neravnovesij in težav so zaradi svojih lastnosti izjemno blagodejni in učinkoviti, pri tem pa kože ne obremenijo, kar je idealno za občutljivo kožo dojenčkov in otrok. V boju s pleničnim dermatitisom priporočamo Hemptouch nežno mazilo za otroke, ki je obogateno s konopljinim oljem, karitejevim maslom in izvlečkom rakitovca. Mazilo krepi kožno pregrado in podpira naravno obnovo dojenčkove kože.
