Dolžina materničnega vratu (cerviksa) je med nosečnostjo pomemben kazalnik zdravja in lahko vpliva na potek nosečnosti ter možnost prezgodnjega poroda. V tem članku bomo podrobneje raziskali, kaj pomeni dolžina materničnega vratu v različnih fazah nosečnosti, kdaj predstavlja skrb in kako lahko ultrazvočno merjenje pomaga pri oceni tveganja.

Razumevanje materničnega vratu v nosečnosti
Maternični vrat je spodnji, ožji del maternice, ki v času nosečnosti ostane zaprt in se postopoma pripravlja na porod. Njegova dolžina in stanje sta ključna za ohranjanje nosečnosti. V prvih dveh trimesečjih nosečnosti naj bi bil maternični vrat še vedno dolg in zaprt, medtem ko se v zadnji tretjini nosečnosti naravno krajša in mehča, kar je znak priprav na porod.
Merjenje dolžine materničnega vratu: Kdaj in zakaj?
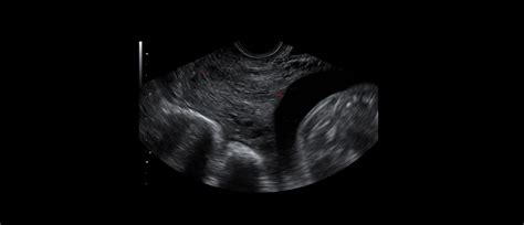
Merjenje dolžine materničnega vratu z ultrazvokom ni rutinska preiskava za vse nosečnice, temveč je pogosto priporočljivo v določenih situacijah.
- Ob sumu na prezgodnji porod: Če nosečnica doživlja prezgodnje krče, neprave popadke ali občuti pritisk v medenici, se lahko dolžina materničnega vratu meri pogosteje.
- Pri nosečnicah z višjim tveganjem: Ženske, ki so že imele prezgodnji porod, ali imajo druge dejavnike tveganja, se lahko meri maternični vrat že v zgodnejših fazah nosečnosti.
- Med 20. in 24. tednom nosečnosti: V tem obdobju se pogosto priporoča ultrazvočno merjenje dolžine materničnega vratu, saj lahko že takrat zaznamo morebitne spremembe, ki bi lahko nakazovale na povečano tveganje za prezgodnji porod.
Kaj pomeni dolžina materničnega vratu?
Dolžina materničnega vratu se lahko spreminja skozi celotno nosečnost. Pomembno je razumeti, da maternični vrat ni statična struktura.
- Dinamični cervix: Kot je pojasnil mag. Stanko Pušenjak, dr. med., se maternični vrat lahko krči in razteza, kar pomeni, da se njegova dolžina lahko spreminja tudi v kratkem času. Nekaj milimetrov razlike med meritvami ni nujno alarmantno, še posebej, če je maternični vrat sicer dolg in zaprt.
- Normalna dolžina: V zgodnejših tednih nosečnosti (npr. 13. teden) je dolžina 3 cm lahko povsem normalna. Med 20. in 24. tednom je dolžina materničnega vratu, ki je manjša od 20 mm, povezana s povišanim tveganjem za prezgodnji porod. Dolžina 30 mm ali več v tem obdobju običajno še ne predstavlja resne skrbi.
- Skrajšanje v tretji tretjini: Naravno krajšanje materničnega vratu v zadnji tretjini nosečnosti (po 30. tednu) je pričakovano in pomeni, da se telo pripravlja na porod. Na primer, dolžina 26 mm v 34. tednu nosečnosti je lahko povsem normalna, saj se bo maternični vrat še skrajšal in odprl do poroda.
Kdaj je situacija kritična?
Kritična situacija glede dolžine materničnega vratu nastopi, kadar se ta bistveno skrajša, še posebej pred 37. tednom nosečnosti.
- Skrajšan maternični vrat: Dolžina materničnega vratu pod 15 mm pred 24. tednom nosečnosti velja za zelo kratko in povečuje tveganje za prezgodnji porod. V takih primerih lahko ginekolog predpiše strožje ukrepe, kot je strogi počitek, ali celo posege, kot je šivanje materničnega vratu (cerklaža).
- Odprt maternični vrat: Če je maternični vrat poleg tega še odprt, to še dodatno povečuje tveganje. Kot je pojasnjeno v enem izmed primerov, se za odprt maternični vrat šteje, ko skozenj gre vsaj prst (približno 1,5 cm). Vendar pa je ta opredelitev lahko odvisna od klinične prakse in posameznega zdravnika.
- Vpliv fizične aktivnosti: Čeprav se zdi logično, da fizična aktivnost lahko vpliva na maternični vrat, mag. Pušenjak pojasnjuje, da "normalne nosečnosti, v kateri prihaja lahko tudi do pogostih 'brakston - Hicksovih' krčev, pa ne ogoža nobeno delo". Vendar pa je v primeru že ugotovljenega skrajšanega materničnega vratu ali drugih dejavnikov tveganja za prezgodnji porod, priporočljivo zmanjšati fizične napore, vključno z intenzivnimi sprehodi ali dvigovanjem bremen.
Kaj storiti ob skrbeh?
Če imate skrbi glede dolžine materničnega vratu, je najpomembnejše, da se pogovorite s svojim ginekologom.
- Zaupajte svojemu zdravniku: Če vaš ginekolog meni, da posebni ukrepi niso potrebni, je pametno zaupati njegovemu mnenju. V primeru, ko ocena temelji na otipu, je pomembno vedeti, da je ta metoda manj natančna kot vaginalni ultrazvok.
- Ultrazvočno merjenje: Če dvomite o natančnosti ocene ali želite dodatno potrditev, se lahko odločite za samoplačniški ultrazvočni pregled.
- Pomen časa: Kot poudarja mag. Pušenjak, je za oceno trenda krajšanja materničnega vratu potrebno ponovno merjenje čez 2-3 tedne. Naravno dogajanje v nosečnosti, vključno s krajšanjem materničnega vratu v tretji tretjini, je pomembno upoštevati pri interpretaciji rezultatov.
Pogosti dvomi in pojasnila
- "Špranja" v materničnem vratu: V enem izmed primerov je omenjena "špranja" v materničnem vratu. Ginekolog mag. Pušenjak pojasnjuje, da se v obliki špranje lahko vidi povsem normalen kanal, če je sluzni čep drugačne konzistence. Pomembna je predvsem dolžina materničnega vratu.
- Tekočina v fornikusu: V enem izmed primerov je omenjena tekočina v zadnjem fornikusu. Čeprav natančen pomen tekočine ni vedno jasen in jo je težko interpretirati brez slike, v nekaterih primerih lahko gre za cervikalno sluz, ki se na UZ prikaže kot tekočina. Če je maternični vrat zaprt in test na plodovnico negativen, te skrbi pogosto niso upravičene.
Zaključek
Dolžina materničnega vratu je pomemben, a ne edini kazalnik zdravja nosečnosti. Redni pregledi pri ginekologu, odkrit pogovor o vaših skrbeh in razumevanje, da se telo med nosečnostjo spreminja, so ključni za mirno in srečno donositev.
tags: #maternicni #vrat #dolzina
