Dvaindvajseti teden nosečnosti predstavlja pomemben prehod, saj se nahajate v drugem trimesečju, natančneje v zadnjem tednu petega meseca. V tem obdobju se vaš dojenček hitro razvija, medtem ko se vaše telo prilagaja novim spremembam, ki napovedujejo prihajajoče tretje trimesečje.
Kaj se dogaja z vašim dojenčkom v 21. tednu nosečnosti?
V 21. tednu nosečnosti vaš dojenček meri približno 28 centimetrov in tehta okoli 340 gramov. Njegova velikost je primerljiva s korenčkom ali jajčevcem. Ključni razvojni mejnik tega tedna je, da lahko vaš dojenček že požira plodovnico. Ta ne le da predstavlja hranljiv napitek in mu pomaga pridobivati na teži, temveč tudi aktivno pripravlja njegov prebavni sistem na delo po rojstvu. Zahvaljujoč razvitim brbončicam na jeziku lahko dojenček že okuša, kaj pogoltne. Okusi hrane, ki jo uživate vi, se namreč prenašajo v plodovnico, kar otroku omogoča, da se že v maternici seznani z različnimi aromami. Ti okusi bodo kasneje vplivali na njegove preference po rojstvu.

Srce vašega dojenčka postaja vse močnejše, veke in noge pa dobivajo dokončno obliko. Znano je, da je v maternici "nikoli tiho". Otrokovi spalne navade in ritem v 21. tednu nosečnosti so že povsem enaki kot ob rojstvu, nanje pa vplivata hrup in svetloba iz okolice. V tem tednu se razvija tudi otrokova mimika, kar pomeni, da že lahko kaže različne izraze. Čeprav plodovnico še ne more v celoti prebaviti, saj njegov prebavni sistem še ni popolnoma razvit (polno prebavo bo dosegel okoli 12. meseca starosti), že aktivno uri svoj prebavni sistem s požiranjem.
Gibi vašega dojenčka postajajo čedalje bolj intenzivni in izraziti. Če ste sprva čutili le lahkotna premikanja, se zdaj lahko počutite, kot da bi plod v vas treniral borilne veščine. Vaše telo se na te gibe že odziva, čeprav zunanji opazovalci še ne zaznajo premikanja. Če z dlanjo nežno pritisnete na trebuh, boste morda čutili, da otrok rahlo potisne nazaj, kar kaže na reflekse, ki se razvijajo.
V tem tednu se nadaljuje razvoj reproduktivnega sistema. Če pričakujete deklico, ima v maternici že vsa jajčeca, ki jih bo imela v življenju, približno šest milijonov. Če pa pričakujete fantka, se ultrazvok v tem tednu lahko izkaže za še posebej zanimivega, saj boste morda lahko videli nekatere podrobnosti reproduktivnih organov.
Otrokov kostni mozeg v tem tednu začne proizvajati krvne celice. S materino krvjo dojenček prejema tudi protitelesa, ki ga bodo ščitila v prvih mesecih življenja pred bakterijami in virusi.
Pomemben razvojni vidik je tudi povečana potreba po hranilih. Omega-3 in omega-6 maščobne kisline, še posebej DHA (dokozaheksaenojska kislina), so ključne za razvoj otrokovih možganov in oči. Zato je pomembno, da vaša prehrana vključuje te pomembne sestavine. Za vegane je še posebej pomemben zadosten vnos vitamina B12, ki ga najdemo predvsem v živilih živalskega izvora.

Kaj se dogaja z vašim telesom v 21. tednu nosečnosti?
Vaša maternica se še naprej dviguje in je sedaj že malo nad popkom. Kljub temu se verjetno počutite dokaj dobro, še posebej v primerjavi z burnim prvim trimesečjem. Slabost je večinoma izginila, pogostost obiskov stranišča se je zmanjšala, vi pa se počutite bolj energične.
Vendar pa se lahko pojavijo tudi novi ali poslabšajo obstoječi nosečniški simptomi. Eden izmed njih so krčne žile, ki se lahko pojavijo zaradi povečane telesne teže in pritiska na žile v nogah. Te se lahko kažejo kot neboleče modre ali vijolične pike ali kot otečene in boleče žile. Oteklina bo po porodu izginila, žile pa postale manj vidne. Neprijeten občutek lahko omilite z nošenjem podpornih nogavic in izogibanjem dolgemu sedenju.

Drug simptom, ki se lahko pojavi, je ščemenje in rdečica v dlaneh. Ta pojav, ki ga povzroča spreminjajoča se količina hormonov, ne kaže na nobeno težavo in naj bi izginil kmalu po porodu. Vlažilna krema lahko omili neprijeten občutek.
Zaradi povečane proizvodnje olja se lahko pojavijo ali poslabšajo akne. Redno čiščenje kože z nežnim čistilnim sredstvom in uporaba negovalnih izdelkov brez olja lahko pomagata.
Vaše telo se spreminja in z njim tudi potrebe. V 21. tednu nosečnosti se poveča potreba po magneziju, ki pomaga pri preprečevanju mišičnih krčev in umirja maternico, s čimer zmanjšuje tveganje za prezgodnji porod. Če s prehrano ne zagotovite dovolj magnezija, se posvetujte z zdravnikom o prehranskih dopolnilih.
Utrujenost, brezvoljnost in slabotnost so lahko običajni del nosečnosti, lahko pa kažejo tudi na pomanjkanje železa. Železo je ključnega pomena za prenos kisika, zato je pomembno, da njegova raven ostane konstantna. Zdravnik lahko preveri vašo Hb-vrednost in predpiše ustrezna prehranska dopolnila, če je potrebno.
Zaradi rastoče maternice in povečanega pritiska na notranje organe se lahko pojavi zgaga in/ali prebavne motnje. Izogibajte se začinjeni in mastni hrani, jejte manjše obroke in temeljito žvečite. Podprta glava med spanjem lahko pomaga pri nočnih prebavnih motnjah.
Neredno iztrebljanje je lahko posledica pritiska maternice na črevesje. Poleg prehranskih sprememb in zadostnega vnosa magnezija lahko pomagajo tudi druge metode, ki jih lahko najdete na spletu ali se posvetujete z zdravnikom.

Vaše telo se pripravlja na porod, zato se medenica širi, mišice in sklepi postajajo ohlapnejši, sluznice pa bolj občutljive. Pomembno je, da poskrbite, da vam je vedno toplo, še posebej v medeničnem predelu, in da greste na stranišče vedno, ko začutite potrebo. Priporočljivo je nositi bombažno spodnje perilo.
Povečan pretok krvi v medenico in povečana občutljivost lahko povzročijo porast želje po spolnosti. Vendar pa lahko bolečine, neprijetni občutki, utrujenost ali strah pred poškodbo otroka vplivajo na spolne odnose. V kolikor se odločite za spolni odnos, izbirajte primerne položaje in se v primeru dvomov ali nelagodja posvetujte z zdravnikom.
Zaradi raztegovanja kože nad vedno večjim trebuhom se lahko pojavijo strije. Te so lahko pogostejše zaradi genetike, nenadnega povečanja telesne teže ali večplodne nosečnosti. Uporaba vlažilnih olj ali losjonov za telo, primernih za nosečnice, lahko pomaga ohranjati kožo navlaženo in zmanjšati srbečico.
Vaš nosečniški trebušček je postal opazno večji. V 21. tednu nosečnosti se lahko zaradi novoodkritih oblin počutite samozavestno in privlačno, vendar pa vas lahko dodatna teža včasih spravi v zadrego. Pomembno je vedeti, da je pridobivanje teže v nosečnosti naraven in nujno potreben proces, ki zagotavlja fizično zaščito za dojenčka in skladišči hranila za njegovo negovanje po rojstvu.
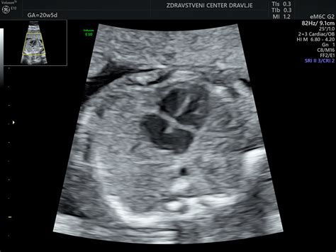
Ultrazvočna morfologija v 21. tednu nosečnosti
Med 20. in 22. tednom nosečnosti se običajno opravi ultrazvočna morfologija, ki je ključen pregled za oceno razvoja ploda. Ta pregled omogoča natančno določitev gestacijske starosti ploda s pomočjo meritev posameznih delov telesa, kot so prečni preseki in obseg glavice, obseg trebuha ter dolžina stegnenice.

Med pregledom se ocenijo različne strukture v glavi, vključno s talamusom, možganskimi polobli, malimi možgani in lobanjsko kotanjo. Pregledajo se tudi očnici, da se izključi hipotelorizem ali hipertelorizem. Ocenjuje se profil obraza, vključno z nosom, ustnicami in bradico.
Preveri se hrbtenica v različnih ravninah, trebušna prepona ter srce, ki se ocenjuje v štirih votlinah in pri izstopiščih velikih žil. Pregledajo se tudi ledvica in želodec, sečni mehur ter zgornji udov.

Posebna pozornost se posveti posteljici in popkovnici, kjer se ocenjuje debelina posteljice in struktura popkovnice z žilami. Merjenje dolžine materničnega vratu je pomembno za oceno tveganja za prezgodnji porod.
V tem tednu je ultrazvok še posebej zanimiv, saj omogoča vpogled v številne otrokove dejavnosti, vključno s požiranjem in sesanjem palca. Če ste se odločili za ultrazvok, je zdaj odličen čas, da zaprosite za ultrazvočne posnetke, saj je to morda vaš zadnji ultrazvok v nosečnosti, če poteka brez zapletov.
Priprave na prihod dojenčka
- teden nosečnosti je odličen čas za pripravo doma na prihod dojenčka. Razmislite o izbiri imena, opremljanju otroške sobe in nakupu osnovnih potrebščin. Pri načrtovanju otroške sobe upoštevajte svoje potrebe in praktičnost. Če nameravate prepleskati sobo, uporabite barve na vodni osnovi in se izogibajte pleskanju, če vas skrbijo hlapi.

Pomemben del priprav je tudi izobraževanje. Šola za starše vam lahko ponudi dragocena znanja o lajšanju bolečin med porodom, poporodni negi, dojenju in negi dojenčka. Takšen program, ustvarjen v sodelovanju s slovenskimi zdravniki, vam bo pomagal, da boste v poporodno sobo vstopili mirni in prepričani vase.
NASVETI ZA ORGANIZACIJO VRTČICE (ki bi jih morala poznati vsaka mama!) | Ideje za organizacijo vrtca + nasveti za shranjevanje
tags: #21 #teden #nosecnosti #oopsi
