Nosečnost je čarobno obdobje, polno pričakovanj in sprememb. V prvih tednih, ko se življenje komaj začenja, je ultrazvok tisti, ki lahko prinese prvi otipljiv dokaz o obstoju novega bitja. Še posebej v zgodnji nosečnosti, v 4. tednu, ko se telo šele začenja prilagajati na novo stanje, ultrazvok postane ključno orodje za spremljanje razvoja. Čeprav v tem zgodnjem obdobju še ne moremo videti drobnega obraza ali prepoznati okončin, ultrazvok ponuja dragocene informacije o napredku nosečnosti.
Kaj se dogaja v 4. tednu nosečnosti?
Četrti teden nosečnosti predstavlja še posebej pomembno obdobje, saj zaznamuje začetek zarodkove dobe. Po uspešni oploditvi in ugnezditvi v maternično steno se zarodek začne intenzivno deliti in pripravljati na nadaljnji razvoj. V tem času telo nosečnice prične izločati hormon hCG (humani horionski gonadotropin), ki je ključen za ohranjanje nosečnosti in je osnova vseh testov nosečnosti. Kljub temu, da je zarodek v tem stadiju še zelo majhen, že potekajo ključni procesi oblikovanja organov, nekateri pa že pričnejo delovati. Zato je ta zgodnja faza izjemno občutljiva na zunanje dejavnike, ki bi lahko vplivali na njegov razvoj.

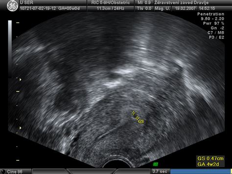
Ultrazvok v 4. tednu: Gestacijska vrečka kot prvi znak
V 4. tednu nosečnosti, ki sovpada s časom, ko bi sicer nastopila menstruacija, ultrazvok lahko pokaže prvi vidni znak nosečnosti - gestacijsko vrečko. Ta votla, zaobljena struktura se nahaja znotraj maternične sluznice in predstavlja zgodnje okolje, v katerem se bo razvijal zarodek. Velikost in oblika gestacijske vrečke sta ključna kazalnika zgodnjega razvoja.
Po podatkih iz medicinskih virov in forumov se gestacijska vrečka prvič pojavi okoli 4. tedna gestacijske starosti, ko njena velikost običajno znaša med 2 do 3 mm. Ta struktura nato narašča s hitrostjo približno 1 mm na dan do okoli 9. tedna nosečnosti. V 4. tednu nosečnosti je velikost gestacijske vrečke še majhna, kar ustreza obdobju tik ob izostanku menstruacije ali v prvih dneh po njem. Vendar je pomembno poudariti, da so lahko odstopanja povsem normalna, saj lahko zgodnejša ali poznejša oploditev vpliva na velikost strukture.
V nekaterih primerih, kot je bilo omenjeno na forumih, je lahko velikost gestacijske vrečke nekoliko večja od pričakovane, kar je lahko povezano z večjo gestacijsko starostjo ali drugimi dejavniki. V primeru dvojčkov, na primer, je možno, da se vidita dve gestacijski vrečki, kar lahko vpliva na skupno velikost ali videz ultrazvočne slike. Ključno je, da velikost gestacijske vrečke sovpada s pričakovano gestacijsko starostjo, saj lahko večja odstopanja zahtevajo dodatno spremljanje.
Kdaj je viden srčni utrip?
Čeprav v 4. tednu nosečnosti še ne moremo zaznati srčnega utripa, je ta ključen pokazatelj vitalnosti nosečnosti. Prvi srčni utrip ploda je običajno viden na ultrazvoku med 6. in 7. tednom nosečnosti. Vendar pa se ta čas lahko nekoliko razlikuje. Če srčni utrip ni viden, ko je gestacijska vrečka velika do 22 mm, se lahko pojavi skrb glede vitalnosti nosečnosti. Če srčni utrip ni viden do 12. tedna nosečnosti, je to močan znak, da nosečnost ni uspešna.
Izvenmaternična nosečnost in dvojčki: Kaj lahko pokaže ultrazvok?
Prvi ultrazvočni pregled, ki se običajno opravi med 8. in 10. tednom nosečnosti, ima pomemben namen potrditi vitalno nosečnost v maternici in izključiti morebitno izvenmaternično nosečnost. V primeru izvenmaternične nosečnosti se zarodek ugnezdi izven maternice, najpogosteje v jajcevod. Ultrazvok lahko že v zgodnji nosečnosti pokaže znake, ki nakazujejo na to stanje, čeprav dokončna diagnoza pogosto zahteva nadaljnje spremljanje.
Ultrazvok lahko prav tako pokaže prisotnost dvojčkov. V primeru večplodne nosečnosti je normalno pričakovati več kot eno gestacijsko vrečko, kar lahko vpliva na skupno sliko. Zgodnje odkrivanje dvojčkov omogoča natančnejše spremljanje razvoja obeh otrok in prilagajanje zdravstvene oskrbe.
Varna in zanesljiva tehnika: 2D, 3D in 4D ultrazvok
Ultrazvočna preiskava je varna tako za nosečnico kot za plod, seveda ob uporabi sodobnih aparatov s pravilnimi nastavitvami in v rokah izkušenega preiskovalca. Ločimo več vrst ultrazvokov, ki ponujajo različne poglede na razvoj ploda:
- 2D ultrazvok: To je klasični, dvodimenzionalni, črno-bel ultrazvok, ki daje sliko v prerezu. Omogoča osnovne meritve ploda, oceno rasti, vitalnosti in količine plodovnice.
- 3D ultrazvok: Ta tehnika predstavlja tridimenzionalno računalniško rekonstrukcijo slike. Omogoča staršem, da vidijo otrokov obraz in telo v treh dimenzijah, kar je pogosto zelo čustveno doživetje.
- 4D ultrazvok: Pri 4D ultrazvoku je dodana še časovna komponenta. Vidimo lahko, kako se plod v realnem času premika, obrača, zeha ali celo sesa palček. Ta tehnika je še posebej zanimiva za opazovanje vedenjskih vzorcev ploda.

3D/4D ultrazvočne preglede lahko opravimo kadarkoli v nosečnosti, vendar se najpogosteje svetuje pregled med 18. in 32. tednom nosečnosti, idealno med 26. in 28. tednom, ko so obrazne strukture že dobro razvite. Ti pregledi niso obvezen del standardne nosečniške oskrbe, vendar lahko nudijo dragocene vpoglede v razvoj ploda in krepijo čustveno povezavo med starši in nerojenim otrokom. Zdravnik lahko med temi pregledi oceni tudi morebitne obrazne ali druge nepravilnosti pri plodu.
Priporočeni ultrazvočni pregledi v nosečnosti
V Sloveniji imajo nosečnice iz obveznega zdravstvenega zavarovanja na podlagi zakona zagotovljeno plačilo sistematičnih in drugih preventivnih pregledov. Med nosečnostjo so predvidene:
- Dve osnovni ultrazvočni preiskavi v okviru rednih pregledov: prva za potrditev nosečnosti (običajno med 8. in 10. tednom) in druga za pregled morfologije ploda (med 20. in 24. tednom).
- Ultrazvočni pregled z merjenjem nuhalne svetline med 11. in 14. tednom nosečnosti, ki ga stroka priporoča vsem nosečnicam.
V primeru dvojčkov ali kakršnihkoli zdravstvenih težav ima nosečnica lahko bistveno več ultrazvočnih pregledov. Osnovna dva pregleda opravi osebni ginekolog, medtem ko pregled nuhalne svetline opravi ginekolog s posebno licenco. Če se pojavijo težave, lahko osebni ginekolog nosečnico napoti v bolnišnico.
Vpliv 3D/4D ultrazvoka na starše
Bodoči starši ponavadi težko čakajo na dan, ko bodo lahko spoznali svojega malčka, in 3D/4D ultrazvok jim to omogoča še pred rojstvom. Ti pregledi lahko zmanjšajo morebitno negotovost, povezano z razvojem ploda, in prinesejo veliko veselja. Možnost opazovanja otrokovih gibov, obrazne mimike in srčnega utripa krepi čustveno navezanost in pomaga pri pripravi na starševstvo.
Čeprav idealne slike včasih ni možno dobiti zaradi dejavnikov, kot so lega ploda, posteljice, količina plodovnice ali struktura materinega tkiva, je vsak ultrazvočni pregled dragocen vpogled v razvoj novega življenja.
tags: #4 #teden #nosecnosti #ultrazvok
