Nosečnost je obdobje izjemnih telesnih in čustvenih sprememb, ki vplivajo na skoraj vse telesne sisteme, vključno s srčno-žilnim. Medtem ko večina teh sprememb predstavlja normalno fiziološko prilagajanje na novo stanje, lahko nekatere zahtevajo posebno pozornost. Skrb za srčno-žilno zdravje med nosečnostjo je ključna tako za dobro počutje matere kot za zdrav razvoj ploda.
Prirojene srčne napake: Pogosta skrb že pred rojstvom
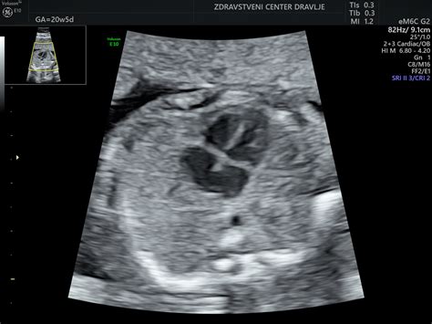
Prirojene srčne napake so med najpogostejšimi prirojenimi napakami organov in organskih sistemov. Te napake se razvijajo v zgodnjih fazah nosečnosti in lahko vplivajo na strukturo ali delovanje srca. Vsako leto se v Sloveniji s srčno napako rodi približno 140 otrok, polovica od teh bo potrebovala operacijsko ali intervencijsko kardiološko zdravljenje še preden bodo shodili. Večina pomembnih srčnih napak je z ultrazvočnim pregledom plodovega srca mogoče ugotoviti in opredeliti že pred 20. tednom nosečnosti. Ta pregled, imenovan fetalna ehokardiografija, je ključen pri nosečnicah z večjim tveganjem za rojstvo otroka s srčno napako ali ko ginekolog ob presejalnem ultrazvočnem pregledu posumi na prirojeno nepravilnost. Pregled opravi posebej specializiran kardiolog, imenovan fetalni kardiolog. Specializirani fetalni ehokardiolog lahko odkrije okoli 95 % vseh pomembnih srčnih napak.

Dejavniki tveganja za prirojene srčne napake
Tveganje za rojstvo otroka s srčno napako je večje, če ima napako eden od staršev ali sorojencev, če ima mati sladkorno bolezen ali druge presnovne bolezni, če nosečnica jemlje določena zdravila ali je izpostavljena škodljivim vplivom okolja in nekaterim infekcijam. Vendar pa je v večini navedenih primerov tveganje sicer povečano, vendar ne presega 3 odstotkov.
Merjenje debeline nuhalne svetline med 11. in 14. tednom nosečnosti, čeprav je bila metoda razvita predvsem za oceno tveganja za trisomijo 21 (Downov sindrom), je pokazalo, da je nuhalna svetlina povečana tudi pri plodovih s srčno napako. Nuhalna svetlina nad 4,5 mm pomeni 10-krat večje tveganje za srčno napako. V ZC Dravlje lahko opravite brezplačni pregled nuhalne svetline s kartico ZZZS.
Fetalna ehokardiografija: Podroben pregled srca
Čeprav je plodovo srce mogoče ultrazvočno pregledati že okoli 16. tedna nosečnosti, se največ pregledov opravi med 20. in 22. tednom, ko je srce veliko približno kot lešnik. Pregled zajema oceno velikosti in lege srca, prikaza votlih ven in pljučnih ven, oceno preddvorov in prekatov ter delovanja zaklopk. Ocenijo se tudi ovalno okence in Botallov vod, ki sta pri plodu odprta, po rojstvu pa se zapreta. Poleg morfologije se ocenjuje tudi funkcija srčne mišice in srčni ritem.
V ZC Dravlje nudijo specializirane ultrazvoke srca pri plodu pri specialistu fetalno ehokardiografije, doc. Samu Veselu, ki lahko odkrije okoli 95 % vseh pomembnih srčnih napak.
Osnovni protokol in optimizacija fetalnega odmeva
Motnje srčnega ritma (aritmije) med nosečnostjo
Poleg prirojenih srčnih napak se med nosečnostjo lahko pojavijo tudi motnje srčnega ritma (aritmije) pri sami nosečnici. Te lahko segajo od blagih, skoraj neopaznih nepravilnosti do stanj, ki zahtevajo natančno spremljanje in obravnavo.
Telesne spremembe med nosečnostjo in srce
Med nosečnostjo se srce in ožilje nosečnice močno prilagodijo. Količina krvi, ki jo srce iztisne v minuti (minutni volumen), se poveča za 30 do 50 odstotkov. Srčni utrip se v mirovanju poveča z običajnih 70 na 80-90 utripov na minuto. Te spremembe so naravne in namenjene zagotavljanju zadostne oskrbe ploda s kisikom in hranili.
Vzroki za aritmije v nosečnosti
Nekatere ženske že pred nosečnostjo trpijo za aritmijami, ki se lahko v nosečnosti poslabšajo ali pa se pojavijo nove. Vzroki so lahko:
- Hormonske spremembe: Povečana raven hormonov lahko vpliva na električno prevodnost srca.
- Povečan volumen krvi: Večja količina krvi poveča obremenitev srca.
- Povečana aktivnost simpatičnega živčnega sistema: Odziv telesa na stres in čustveno labilnost.
- Čustvena labilnost in stres: Nosečnost je lahko čustveno zahtevno obdobje.
- Elektrolitske motnje: Povezane lahko s toksikozo ali slabostjo.
- Anemija: Znižana raven hemoglobina lahko povzroči hitrejše bitje srca.
- Disfunkcija ščitnice: Težave s ščitnico lahko vplivajo na srčni ritem.
- Povečan pritisk na srce: Zaradi rasti maternice in premika organov.
Prepoznavanje in obravnava aritmij
Simptomi aritmij v nosečnosti lahko vključujejo:
- Občutek palpitacij (hitro, močno ali neredno bitje srca).
- Občutek "preskoka" ali "trepetanja" srca.
- Omotica, tiščanje v prsih.
- Kratka sapa in utrujenost, tudi pri lažjih naporih.
- Občutek, da se srce "ustavi" za trenutek.
Pomembno je, da se vsaka nosečnica, ki zazna nepravilno bitje srca, posvetuje s svojim ginekologom ali kardiologom. Čeprav so mnoge aritmije v nosečnosti benigne in povezane s fiziološkimi spremembami, lahko nekatere zahtevajo zdravljenje.
Spremljanje srčnega utripa ploda
Spremljanje srčnega utripa ploda je bistveni del predporodne oskrbe. Z uporabo Dopplerjeve naprave ali fetoskopa lahko zdravstveni delavci poslušajo srčni utrip otroka, običajno od 12. tedna nosečnosti dalje. Novejši monitorji omogočajo tudi izpis srčnega utripa na minuto, ki naj bi se gibal med 120 in 160 utripi na minuto. Dalj časa trajajoča nenormalna nihanja lahko kažejo na stres ali ogroženost otroka, zato je v takih primerih nujno obvestiti zdravnika.
Domači monitorji srčnega utripa ploda, kot je AngelSounds, lahko nudijo dodatno pomiritev in vpogled v počutje otroka, vendar niso nadomestilo za redne zdravniške preglede.
Predporodno svetovanje in načrtovanje poroda
Predporodno svetovanje je ključnega pomena pri ugotovljenih srčnih napakah ali motnjah ritma pri plodu ali materi. V primerih, ko je tveganje za zaplete ob zapiranju Botallovega voda visoko, se lahko pravočasno uvede zdravljenje z zdravili, ki preprečijo njegovo zaprtje, s čimer pridobimo čas za izvedbo potrebnih posegov.
V Sloveniji se diagnostika srčnih napak pred rojstvom ter diagnostika in zdravljenje motenj srčnega ritma pri plodu izvajata v okviru Centra za fetalno kardiologijo v Ljubljani. Letno obravnavajo približno 300 nosečnic z zvišanim tveganjem ali sumom na srčno napako, pri 15-20 plodovih pa ugotovijo pomembno srčno napako. Prav tako obravnavajo okoli 5 plodov z motnjami srčnega ritma letno.
Nasveti za zdravo nosečnost in srce
Za zmanjšanje tveganja za srčne težave med nosečnostjo in za splošno dobro počutje je priporočljivo:
- Izogibanje alkoholu, cigaretam in drugim opojnim substancam.
- Jemanje folne kisline: Vsaj do konca prvega trimesesečja v odmerku 400 mikrogramov dnevno.
- Redno gibanje: Zlasti sprehodi na svežem zraku.
- Zdrava prehrana: Uravnotežena in pestra.
- Posvet z zdravnikom glede jemanja zdravil: Nekatera zdravila lahko vplivajo na plod.
- Obvladovanje stresa: Tehnike sproščanja, joga za nosečnice.
- Redni zdravniški pregledi: Zaupajte svojemu ginekologu in specialistom.
Čeprav se lahko srčne palpitacije pojavijo pri večini nosečnic, je ključnega pomena, da se ob kakršnih koli dvomih ali skrbeh takoj obrnete na zdravstvenega strokovnjaka.
Glede osebnih skrbi glede žilne problematike in možnosti za novo nosečnost, je ginekolog svetoval posvet z dermatologom - varikologom. Pregled žil stane 52 EUR, čakalna doba pa je kratka. Za preglede z napotnico deluje na Dermatološki kliniki dr. (čakalna doba je razmeroma dolga).
Genetika in srčno-žilno zdravje
Geni nam lahko povedo marsikaj o naši nagnjenosti k boleznim, odvisnostim, priporočljivim življenjskim slogom ter potencialu, ki ga lahko razvijemo. Genske analize so dostopne in omogočajo vpogled v informacije, ki niso vidne s prostim očesom. Čeprav geni dajejo potencial, je od posameznika odvisno, kaj bo z njim naredil. Človek je produkt genotipa in fenotipa, torej genetike in okolja.
Farmakogenetika, ki pove, ali določeno zdravilo nekomu koristi ali mu škodi, bi lahko s pomočjo genskih testov prihranila sredstva in omogočila optimalno zdravljenje. Nutrigenetika pa na podlagi genetske analize posameznika ugotavlja, katera hrana mu najbolj ustreza, kar je prednost pred univerzalnimi dietami.
Pomembno je poudariti, da človek ostaja zapleteno bitje in nikoli ni vse odvisno od enega gena. Prirojene srčne napake imajo lahko genetsko komponento, vendar je celostna obravnava nosečnice in ploda ključna za zagotavljanje najboljše možne oskrbe.
Potovalna medicina in nosečnost
Nosečnice na potovanju morajo biti še posebej previdne. Potovanje je za zdravo nosečnico z enoplodno nosečnostjo pred 36. tednom, ki v sedanji in predhodnih nosečnostih ni imela težav, dokaj varno. Svetujemo pa, da kljub temu za potovanje ne izberejo manj razvite države s slabo zdravstveno oskrbo, področja tveganja za malarijo in rumeno mrzlico ter izbruhi zike. Izbrani osebni zdravnik in osebni ginekolog lahko dajeta prve nasvete za varovanje zdravja nosečnice na potovanju.
