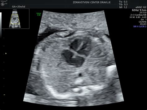
Nuhalna svetlina je ključen neinvazivni genetski presejalni test, ki se izvaja v zgodnji nosečnosti, običajno med 11. in 14. tednom nosečnosti. Njen namen je oceniti tveganje za kromosomske nepravilnosti pri plodu, kot sta Downov sindrom, Edwards in Patau sindrom. Merjenje nuhalne svetline je postopek, ki zahteva natančnost in izkušnje, zato je izbira ustrezne ginekološke ambulante ključnega pomena. Ena izmed ambulant, ki ponuja to storitev in se osredotoča na celostno žensko zdravje, je Medicinski center Kalliste v Domžalah.

Kaj je nuhalna svetlina in zakaj je pomembna?
Nuhalna svetlina (NS) je, kot že omenjeno, majhna količina tekočine, ki se nabere pod kožo na vratu ploda v zgodnji nosečnosti. Povečana količina te tekočine je lahko povezana z večjim tveganjem za kromosomske nepravilnosti. Ultrazvočni pregled za merjenje nuhalne svetline vključuje natančno merjenje debeline te plasti tekočine, skupaj z drugimi parametri, kot sta dolžina plodove glave do trtice (CRL) in srčni utrip ploda. Ti podatki, skupaj z nekaterimi materinskimi dejavniki (kot so starost matere in rezultati biokemičnega testa v krvi), omogočajo izračun verjetnosti za prisotnost določenih kromosomskih nepravilnosti. V primeru visoke verjetnosti se nosečnici lahko ponudijo dodatne, bolj invazivne diagnostične metode, kot sta amniocenteza ali biopsija horionskih resic, ki lahko zanesljivo potrdijo ali izključijo prisotnost kromosomskih nepravilnosti.
Vendar pa je pomembno poudariti, da merjenje nuhalne svetline ni diagnostični test, temveč presejalni. To pomeni, da ne more z gotovostjo potrditi ali izključiti kromosomske nepravilnosti, ampak le oceni tveganje. Zato je ključnega pomena, da je pregled opravljen s strani usposobljenega strokovnjaka, ki uporablja najsodobnejšo opremo in natančno interpretira rezultate.
Ginekološka Ambulanta Kalliste: Tradicija in Inovacija v Ženskem Zdravju
Medicinski center Kalliste, ki domuje v središču Domžal, je nadaljevanje zasebne ambulante za ginekologijo in porodništvo, ki jo je ustanovila prim. mag. Ksenija Šelih Martinec, dr. med., specialistka ginekologije in porodništva. Ambulanta deluje že od leta 1992 in si je v tem času pridobila izjemen ugled zaradi svojega strokovnega pristopa in diskretnega reševanja ginekoloških težav žensk.
Ustanoviteljica, mag. Ksenija Šelih Martinec, z več kot 30-letnimi izkušnjami, v center vnaša bogato znanje in predanost izboljšanju kakovosti življenja žensk. Njena vizija presega zgolj zdravstveno oskrbo; poudarja pomen ženskega samospoštovanja, zavedanja svojega telesa in notranje moči. V ta namen je v Kalliste uvedla napredne postopke in tehnike, ki izboljšujejo spolnost in pomagajo ženskam pri premagovanju težav na tem področju. V želji pomagati ženskam, da bi živele kakovostno in polno življenje, je na podlagi svojih izkušenj pomagala že več kot 126.500 ženskam. Njena največja želja je, da bi se ženske bolj posvetile sebi, da bi začutile svoje telo in svojo notranjo moč ter v njej uživale. Še bolj kot to pa si želi, da bi o težavah v spolnosti spregovorile na glas in si želele poiskati pomoč. Prepričana je, da je telo dom naše duše in da bi morali za ta dom skrbeti bolje kot za hišo, v kateri bivamo.
V Medicinskem centru Kalliste se zavedajo, da je sodobna ginekologija večplastna in zahteva multidisciplinarni pristop. Zato v svojem timu združujejo izkušene specialistke in specialiste, ki pokrivajo širok spekter področij ženskega zdravja. Med njimi so: Prim. mag. Uršula Reš Muravec, dr. med, spec., Maja Merkun, dr., Tadeja Štrumbelj, dr. med spec. gin., Mišo Rajić, dr. med. spec. gin., Irina Vostrueva, dr. med. spec. gin., Katja Milićević, dr.med., dr. med. spec. gin., Jasmina Antonić Babnik, dr. med. spec. gin. in porod., Ratko Tatalovič, dr. med. spec. gin., asist. dr. Sebastjan Merlo, dr. med., spec. ginek., mag. Stanko Pušenjak, dr. med., spec ginek., Aleksander Merlo, dr. med., spec ginek., izr. prof. dr. Nataša Tul Mandič, spec. ginek., Ana Lasič, dr. med. spec. gin., Prim. Darija Strah, dr. med., spec. gin., Ksenija Šelih Martinec, dr. med. spec. gin. in porod., Nina Osvald Avguštin, dr. med., spec. gin., Irena Tonin, dr. med., spec. gin., Tamara Goslar Žiberna, dr. med., spec. gin., Mojca Jemec, dr.med., spec. gin., Suzana Peternelj Marinšek, spec. gin., Darja Gašperlin Dovnik, spec. gin. in porod., Unita Zupanc, spec. gin., Dušanka Bandelj Klančar, dr.med., spec gin., Filip Simoniti, spec. gin. in porod., Mirjam Horvat Četina, spec. gin. in porod., Aljoša Preskar, dr. med. spec. gin. in porod., Bojan Grulović, dr. med. spec. gin., Anita Franko Rutar, dr. med., spec. gin., Polona Podnar, dr. med. spec. gin. in porod., Sava Rant hafner, dr. med. spec. gin. in porod., Mojca Jemec, spec. gin. in porod., Završnik Mihič Renata, dr. med. spec. gin., Simona Čopi, dr. med. spec. gin. in porod., Sonja Lepoša Korenjak., spec. gin. in porod., Aleksander Merlo, dr. med, spec., Nataša Tul Mandić, dr. med., spec. gin., Zlatko Lazić, dr. med., spec. gin., Doc. Dr. Damir Franić, dr. med. spec. gin. in porod., Ksenija Kardoš Mohorko, dr. med. spec. gin. in porod., Marko Mlinarič, dr. med. spec. gin. in porod. ter drugi.

Izkušnje pacientk z merjenjem nuhalne svetline v Kalliste
Iskanje mnenj o specifičnih storitvah, kot je merjenje nuhalne svetline, je pogost pojav med nosečnicami. Ena izmed objavljenih izkušenj na spletu opisuje obisk v ambulanti Kalliste za merjenje nuhalne svetline pred štirimi meseci. Pacientka je izrazila zadovoljstvo z izkušnjo, ki je trajala približno 20 minut. Poudarila je, da so ji bili vsi podatki prikazani, razloženi in da so ji odgovorili na vsa vprašanja. Po njenem mnenju si osebje vzame čas za pacientko. Svetuje, da je dobro, da si nosečnica pripravi vprašanja na listek, saj je v nasprotnem primeru lahko v stresu in pozabi, kaj bi rada vprašala. Na podlagi te izkušnje je bila storitev priporočena.
Vendar pa se pojavljajo tudi druga, manj pozitivna mnenja. Ena izmed uporabnic, Branka, je delila svojo izkušnjo, ki sega več kot štiri leta nazaj. Kljub temu, da je njena izkušnja z dotično ginekologinjo v istem zdravstvenem domu, kjer dela njen oče, ni bila pozitivna. Omenila je, da do nje niso bili prijazni. V času začetka nosečnosti je imela bakterijsko okužbo (stafilokok), vendar naj bi jo kljub temu stanju zdravili napačno. Na srečo se je vse srečno končalo, saj je pravočasno zamenjala ginekologinjo. Branka je izrazila upanje, da njeno mnenje ni preveč prestrašilo, a je žal delila negativne izkušnje, pri čemer je dodala, da verjetno ni edina s takšnimi izkušnjami.
Ta nasprotujoča si mnenja poudarjajo, kako subjektivna je lahko izkušnja z zdravstveno oskrbo. Medtem ko ena pacientka ocenjuje strokovnost in posvečen čas, druga izpostavlja pomanjkanje prijaznosti in morebitne napake pri zdravljenju. To je pomemben vidik, ki ga je treba upoštevati pri izbiri ginekološke ambulante, saj vsaka ženska išče drugačen pristop in raven podpore.
Kako izvesti skeniranje nuhalne svetline
Cena storitev in paketi v Kalliste
Medicinski center Kalliste ponuja tudi pregled cenika storitev in različnih paketov, ki so namenjeni celostni skrbi za žensko zdravje, še posebej po porodu in za izboljšanje spolnosti. Ti paketi vključujejo sodobne terapevtske pristope, kot so laserska terapija (Lyra laser), elektro stimulacija medeničnega dna (Ivag), zdravljenje s plazmo, bogato s trombociti (PRP), ter postopke za ožanje nožnice in zdravljenje stresne urinske inkontinence z uporabo Aptos nitk ter nevromodulacijo (Ives).
Na primer, PREMIUM PAKET PO PORODU vključuje 2x Lyra lasersko terapijo, 8x Ivag - elektro stimulacijo medeničnega dna in postopek odpravljanja težav v spolnosti z lastno plazmo. Cena paketa je 2.370 EUR, s 10% popustom znaša 2.133 EUR. V ta paket je možno na željo stranke dodati tudi druge storitve, ki bodo prav tako znižane za 10%.
OSNOVNI REGENERATIVNI PAKET obsega 3x zdravljenje s plazmo bogato s trombociti in 3x Lyra lasersko terapijo. Redna cena je 2.430 EUR, z 10% popustom pa 2.187 EUR. Tudi v tem paketu je možna zamenjava storitev po posvetu z ginekologinjo.
PREMIUM REGENERATIVNI PAKET je najobsežnejši in vključuje postopek odpravljanja težav v spolnosti z lastno plazmo, 1x Aptos nitke - ožanje vhoda v nožnico (perineoplastika), 1x Aptos nitke - zdravljenje stresne urinske inkontinence in ožanje nožnice, ter 10x Ives - nevromodulacija. Cena tega paketa je 5.950 EUR, s 10% popustom pa znaša 5.355 EUR. Tudi tukaj velja možnost dodajanja ali zamenjave storitev po posvetu.
Pomembno je, da 10% popust na celoten nakup velja v primeru, da izbrane storitve skupno presegajo 2.310 EUR. Zaradi individualne obravnave vsake stranke je možna prilagoditev paketov in zamenjava določenih storitev z drugimi podobnimi ali sorodnimi storitvami, vedno po predhodnem posvetu z ginekologinjo.

Širši kontekst ginekološke oskrbe v Sloveniji
Seznam omenjenih zdravnikov in ambulant, kot so GINEKOLOGIJA MIŠO RAJIĆ, GINEKOLOGIJA BEŽIGRAD, MED-OK, AMBULANTA ZA GINEKOLOGIJO, GINEKOLOŠKA AMBULANTA TATALOVIČ, CLINICAL Brezovica, DIAGNOSTIČNI CENTER STRAH, MEDICINSKI CENTER KALLISTE, GINEKOLOGIJA PETERNELJ, ORDINACIJA GAŠPERLIN DOVNIK d.o.o., ZDRAVSTVENI DOM CELJE, ZDRAVSTVENI DOM SLOVENSKE KONJICE, SIMMED ZASEBNA GINEKOLOŠKA AMBULANTA, GINEKOLOŠKA AMBULANTA MIRJAM HORVAT ČETINA, MEDICAL CENTER DOBRN, GINEKOLOŠKA AMBULANTA PRESKAR, GINEKOLOŠKA ORDINACIJA, DR. BOJAN GRULOVIĆ DR. MED., SPEC. GIN. IN POROD., ZDRAVSTVENI DOM TREBNJE, MEDICINSKI CENTER PODNAR, GINEKOLOŠKA ORDINACIJA RODNA, ZDRAVSTVENI DOM KAMNIK, ZASEBNA GINEKOLOŠKA ORDINACIJA, AMBULANTA GEMINI, SPLOŠNA BOLNIŠNICA MURSKA SOBOTA, GINEKOLOGIJA DR. FRANIĆ, ORTOLAB, ZASEBNA GINEKOLOŠKA AMBULANTA Marko Mlinarič, dr. med. spec. gin. in porod., ter številni drugi specialisti, kot so Mag. Mili Lomšek, dr. med., spec., Mag. Stanko Pušenjak, dr. med., spec., Mag. Uršula Reš Muravec, dr. med., spec., Sava Rant Hafner, dr. med., spec. gin., Petra Meglič, dr. med., spec. gin., Prim. Darija Strah, dr. med., spec. gin., Suzana Peternelj Marinšek, spec. gin., Unita Zupanc, spec. gin., Darja Gašperlin Dovnik, spec. gin., Irena Govc-Četina, spec. gin., Suzana Peternelj Marinšek, spec. gin., Aljoša Preskar, dr. med. spec. gin., Polona Podnar, dr. med. spec. gin., Tadeja Štrumbelj, dr. med. spec. gin., Simona Čopi, dr. med. spec. gin., Ksenija Šelih Martinec, dr. med. spec. gin., Jasmina Antonić Babnik, dr. med. spec. gin., Ratko Tatalovič, dr. med. spec. gin., Petra Meglič, dr. med., spec. gin., Irena Tonin, dr. med., spec. gin., Tamara Goslar Žiberna, dr. med., spec. gin., Polona Podnar, dr. med. spec. gin., Mojca Jemec, spec. gin., Sonja Lepoša Korenjak., spec. gin., Rakičan, Ul. dr., Doc. Dr. Damir Franić, dr. med. spec. gin., kaže na razvejano in dostopno mrežo ginekološke oskrbe v Sloveniji. Ta mreža vključuje tako javne zdravstvene domove in bolnišnice kot tudi številne zasebne ambulante, ki ponujajo specializirane storitve in pogosto bolj personaliziran pristop.
Dostopnost do različnih vrst storitev, od osnovnih ginekoloških pregledov do naprednih diagnostičnih in terapevtskih posegov, omogoča ženskam izbiro glede na njihove potrebe, preference in finančne zmožnosti. V času nosečnosti, ko je skrb za zdravje matere in otroka najpomembnejša, je izbira prave ambulante za nuhalno svetlino in nadaljnje spremljanje nosečnosti še toliko bolj pomembna. Zavedanje o pomenu kakovostne ultrazvočne diagnostike, strokovnosti osebja in prijaznega ter podpornega okolja je ključnega pomena za dobro počutje nosečnice.
Pomembno je tudi zavedanje o različnih vrstah genetskega testiranja v nosečnosti. Medtem ko je nuhalna svetlina presejalni test, obstajajo tudi neinvazivni predporodni testi (NIPT), ki iz krvi matere analizirajo delce DNK ploda in lahko z visoko natančnostjo odkrijejo najpogostejše kromosomske nepravilnosti. Ti testi so običajno dražji od nuhalne svetline, vendar ponujajo višjo stopnjo zanesljivosti pri odkrivanju specifičnih stanj. Izbira med temi metodami je odvisna od individualnih želja, tveganj in priporočil izbranega ginekologa.
V končni fazi, neodvisno od izbrane ambulante ali storitve, je najpomembnejše, da se ženske počutijo varno, spoštovano in da imajo zaupanje v svoje zdravstvene delavce. Odprta komunikacija, možnost postavljanja vprašanj in razumevanje vseh vidikov nosečnosti ter ženskega zdravja so temelji za pozitivno in uspešno izkušnjo.
