Nuhalna svetlina predstavlja enega ključnih ultrazvočnih pregledov v zgodnji nosečnosti, ki omogoča oceno tveganja za kromosomske nepravilnosti pri plodu, kot je na primer Downov sindrom. Domžale, kot pomembno središče v Sloveniji, ponujajo dostop do te napredne diagnostične metode, ki jo izvajajo izkušeni strokovnjaki. Ta članek se poglobi v pomen nuhalne svetline, njeno izvedbo, klinični pomen ter razvoj presejalnih metod v Sloveniji, s posebnim poudarkom na delu in dosežkih prim. Darije Strah, dr. med., specialistke ginekologije in porodništva, ki je s svojim dolgoletnim delom bistveno prispevala k širjenju znanja in dostopnosti teh preiskav.
Razumevanje Nuhalne Svetline: Ključ do Zgodnjega Odkrivanja
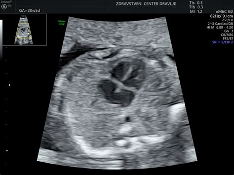
Nuhalna svetlina, morda najbolj poznana kot meritev nuhalne svetline, je neinvazivna ultrazvočna preiskava, ki se izvaja med 11. in 14. tednom nosečnosti. Njen osnovni namen je oceniti debelino prozornega sloja tekočine na zatilju ploda. Povečana debelina nuhalne svetline je lahko povezana z višjim tveganjem za določene kromosomske nepravilnosti, kot so trisomija 21 (Downov sindrom), trisomija 18 (Edwardslov sindrom) in trisomija 13 (Patauov sindrom), pa tudi z nekaterimi drugimi anomalijami ploda, vključno s srčnimi napakami.

Pomembno je poudariti, da sama debelina nuhalne svetline ni dokončna diagnoza, temveč zgolj parameter za izračun verjetnosti. Za natančnejšo oceno tveganja se upoštevajo tudi drugi dejavniki, kot so starost nosečnice, rezultati biokemičnih hormonskih testov (dvojni ali četverni test), ter prisotnost ali odsotnost določenih anatomskih značilnosti ploda, kot je na primer vidnost nosne kosti. Kombinacija teh dejavnikov omogoča izračun individualnega tveganja za posamezno nosečnico.
Strokovna Pot Prim. Darije Strah: Pionirka v Perinatalni Diagnostiki
Zgodba nuhalne svetline in naprednih perinatalnih presejalnih metod v Sloveniji je tesno povezana z delom prim. Darije Strah, dr. med. Njeno strokovno pot je zaznamovalo izjemno predanost ginekologiji in porodništvu, s posebnim poudarkom na ultrazvočni diagnostiki v nosečnosti. Po opravljenem študiju na Medicinski fakulteti v Ljubljani leta 1994 je sledilo obdobje staža in sekundariata. Že v času študija je pokazala izrazito zanimanje za ginekologijo in porodništvo, saj je bila izbrana za usmerjeno študentko za ginekologijo, kar ji je omogočilo zgodnje spoznavanje dela v porodni sobi.
Posebno usposabljanje za ultrazvočno diagnostiko je pridobila na Kings College Hospital School v Londonu pod mentorstvom profesorja Kyprosa Nicolaidesa, vodilnega strokovnjaka na področju fetalne medicine. Tam se je poglobljeno seznanila s perinatalnimi pregledi, prepoznavanjem bolezenskih stanj ploda ter presejanji za kromosomske nepravilnosti v vseh trimesečjih nosečnosti. Ta izkušnja je bila ključnega pomena za njeno nadaljnje delo.
Po vrnitvi iz Londona leta 1999 je bila aktivno vključena v ustanavljanje Centra za odkrivanje kromosomskih in drugih nepravilnosti v 1. trimesečju nosečnosti na Kliničnem oddelku za porodništvo v Ljubljani. Skupaj z dr. Natašo Tul in dr. Stankom Pušenjakom je začela izvajati samostojne enotedenske ultrazvočne preglede za odkrivanje kromosomskih nepravilnosti v prvem trimesečju. To je predstavljalo pomemben korak k širši dostopnosti teh preiskav v Sloveniji. Svoje pridobljeno znanje je aktivno prenašala na svoje kolege specializante, kar je pripomoglo k hitremu širjenju kompetenc na tem področju. Redna ultrazvočna ambulanta za presejanje za kromosomske nepravilnosti v prvem trimesečju je bila takrat novost, ki je bistveno vplivala na ozaveščenost tako zdravnikov kot nosečnic o možnostih sodobnih presejalnih testov.
Specialistični izpit iz ginekologije in porodništva je opravila z odliko 8. maja 2001. Med letoma 2001 in 2008 je bila zaposlena v Zdravstvenem domu Domžale, kjer je poleg samostojne ambulante ustanovila Ambulanto za ultrazvok v nosečnosti. Tu je nadaljevala z aktivnim odkrivanjem kromosomskih nepravilnosti ploda v prvem trimesečju nosečnosti, s čimer je še bolj približala te napredne diagnostične postopke lokalni skupnosti.
Raziskovalno Delo in Publikacije: Gradnja Znanja o Nuhalni Svetlini
Prim. Darija Strah je bila aktivna tudi na področju raziskav in objav, s čimer je pomembno prispevala k slovenski in mednarodni znanstveni bazi o perinatalni diagnostiki. Leta 2006 je s soavtoricami objavila prvo slovensko raziskavo na temo napovedovanja tveganja za trisomijo 21 s presejalnim testom nuhalne svetline pri 3526 naključno izbranih nosečnicah v Sloveniji. To ključno delo je aktivno predstavila na več mednarodnih kongresih, vključno s Kongresom fetalne medicine v Barceloni, Svetovnim kongresom iz ultrazvoka v porodništvu in ginekologiji v Londonu ter drugimi pomembnimi strokovnimi srečanji.
Nadaljnje raziskave so sledile, med drugim objavljena študija "Risk assessment of trisomy 21 by maternal age and fetal nuchal translucency thickness in 7096 unselected pregnancies in Slovenia" v mednarodni reviji Journal of perinatal medicine leta 2008. Ta raziskava, ki je zajela večje število nosečnic, je še dodatno potrdila pomen nuhalne svetline v presejalnih programih.
Njeno delo ni ostalo neopaženo v mednarodnih publikacijah. Leta 2011 je njena raziskava "First trimester screening for trisomy 21 by maternal age, nuchal translucency and fetal nasal bone in unselected pregnancies" objavljena v mednarodni knjigi "Genetics and etiology of Down syndrome". Leta 2013 je v knjigi "Down Syndrome" objavljeno poglavje njene raziskave "Increased fetal nuchal translucency thickness and normal karyotype: prenatal and postnatal outcome". V teh mednarodnih publikacijah so kot soavtorice navedene tudi Darija Strah, Ksenija Geršak in Maja Pohar Perme, kar poudarja njihovo vlogo pri razvoju slovenskih raziskav na področju presejanja za Downov sindrom.
Next generation screening - Ultrasound and Non-Invasive Prenatal Testing (NIPT)
Širitev Področja Delovanja: Od Ultrazvoka Do Preventivne Ginekologije
Po letih dela v javnem zdravstvu se je prim. Darija Strah leta 2009 zaposlila v Diagnostičnem centru Strah, kjer je ustanovila svoj center za ginekologijo in porodništvo. Njen center se je hitro razvil v prepoznavno ustanovo, ki ponuja celovite storitve na področju ginekologije, porodništva in perinatalne diagnostike.
Poleg ultrazvočne diagnostike v nosečnosti, ki je njeno glavno področje, se je prim. Strah v zadnjih letih usmerila tudi v preventivo zdravja dojk. Po mentorstvom Nine Čas Sikošek, dr. med., specialistke ginekologije in porodništva z bogatimi izkušnjami na področju bolezni dojk, se je poglobljeno izobraževala v Centru za bolezni dojk UKC Maribor. Pridobila je licenco za ultrazvok dojk, s čimer je razširila nabor svojih storitev in omogočila celostno obravnavo žensk tudi na tem področju. V letu 2018 je zaživela njena druga strokovna spletna stran, posvečena preventivi zdravja dojk, www.ultrazvokprsi.si.
V zadnjih letih se je prim. Strah posvetila tudi področju ginekološke endokrinologije, zlasti sindromu policističnih jajčnikov (PCOS). Leta 2022 je v Diagnostičnem centru Strah uvedla inovativni program celostnega integrativnega zdravljenja PCOS, s čimer je center pridobil dodatno ime: PCOS klinika. Ta program združuje vrhunske strokovnjake, ki pokrivajo vse pristope zdravljenja te pogoste hormonske motnje.
Nuhalna Svetlina v Domžalah: Dostopnost in Izkušnje
V Zdravstvenem domu Domžale je prim. Darija Strah delovala med letoma 2001 in 2008, kjer je poleg redne ambulante ustanovila tudi Ambulanto za ultrazvok v nosečnosti. V tem času je bila ključna oseba za uvajanje in izvajanje presejalnih ultrazvočnih pregledov v regiji. Po odhodu iz ZD Domžale je svojo zasebno prakso nadaljevala v Diagnostičnem centru Strah, kjer še vedno nudi strokovne storitve, vključno z nuhalno svetlino.
Iskanje izkušenj drugih nosečnic z dr. Strah je pogosto na spletnih forumih. Mnenja so sicer deljena, kar je značilno za vsakega zdravnika z dolgoletno prakso. Nekatere nosečnice poudarjajo njeno natančnost, strokovnost in temeljitost pri izvajanju pregledov, ki si vzame dovolj časa za razlago in zagotavljanje miru nosečnici. Posebej izpostavljajo kakovost ultrazvočne opreme, ki naj bi bila med boljšimi. Druge nosečnice pa izražajo nezadovoljstvo z odnosom, ki se jim je zdel preveč "na hitro" ali manj oseben, še posebej v primerih, ko so bile novice manj ugodne. Pomembno je vedeti, da se izkušnje lahko razlikujejo glede na individualna pričakovanja, čas pregleda in specifično situacijo.
Cena nuhalne svetline pri dr. Strah v zasebni ambulanti znaša 60 €, z doplačilom 12 € za CD posnetek. V primerjavi z drugimi ponudniki v Sloveniji, ki so navedeni v priloženem ceniku, je njena cena konkurenčna. Vendar pa je poleg cene ključnega pomena tudi kakovost opravljene storitve, ki jo zagotavljajo izkušnje in strokovnost zdravnika ter sodobna tehnologija.
Sodobni Presejalni Pristopi: NIPT in Naprej
Poleg nuhalne svetline in hormonskih testov, so v zadnjih letih vse bolj dostopni tudi neinvazivni predrojstveni testi (NIPT), ki temeljijo na analizi proste plodove DNA v krvi nosečnice. Ti testi omogočajo še natančnejše odkrivanje najpogostejših kromosomskih nepravilnosti, kot sta Downov sindrom, Edwardslov sindrom in Patauov sindrom, ter določitev spola ploda. Prim. Strah je bila ena izmed prvih, ki je v Sloveniji promovirala in uvajala te napredne teste, kar potrjujejo tudi njene publikacije in udeležbe na strokovnih simpozijih.

V Diagnostičnem centru Strah so na voljo različni NIPT testi, kot so NIFTY, Panorama, Vistara in Horizon, z različnimi cenovnimi razredi in obsegom preiskav. Ti testi predstavljajo pomemben dodatek k že uveljavljenim metodam, kot je nuhalna svetlina, in omogočajo nosečnicam še večjo izbiro in mir v nosečnosti.
Nuhalna Svetlina v Domžalah: Zaključek
Nuhalna svetlina v Domžalah, kot tudi drugod po Sloveniji, predstavlja pomemben korak v zgodnjem odkrivanju možnih tveganj za kromosomske nepravilnosti pri plodu. Z delom in strokovnim ugledom prim. Darije Strah ter z razvojem sodobnih presejalnih metod, kot so NIPT testi, imajo slovenske nosečnice dostop do vrhunskih diagnostičnih postopkov. Izbira izvajalca je odvisna od individualnih preferenc, vendar je pomembno, da se odločite za strokovnjaka z ustreznimi izkušnjami, sodobno opremo in celovitim pristopom k vaši nosečnosti.
Upoštevajte, da so informacije o cenah in storitvah podvržene spremembam. Za najnovejše informacije se vedno obrnite neposredno na posamezne ambulante.
