Nosečnost je edinstveno obdobje v življenju ženske, ki zahteva skrbno spremljanje in poglobljeno pozornost tako s strani bodoče matere kot zdravstvenih strokovnjakov. Zgodnje odkrivanje morebitnih zapletov in zagotavljanje optimalnega razvoja ploda sta ključnega pomena za uspešen izid - rojstvo zdravega otroka zdravi materi. V sodobni ginekologiji in porodništvu so na voljo številne diagnostične in presejalne metode, ki omogočajo natančno spremljanje nosečnosti od samega začetka pa do poroda.
Prvi pregled: Temelj za varno nosečnost
Prvi obisk pri ginekologu je običajno napovedan ob izostanku menstruacije in pozitivnem testu nosečnosti. Strokovnjaki svetujejo, da se ta prvi pregled opravi med 8. in 10. tednom nosečnosti. V tem zgodnjem obdobju je namreč mogoče z visoko stopnjo zanesljivosti potrditi vitalno nosečnost v maternici, izključiti morebitno izvenmaternično nosečnost ter oceniti število plodov.

Ob prvem srečanju ginekolog in nosečnica opravita obsežen pogovor, ki vključuje natančno anamnezo. Ta obsega oceno morebitnih družinskih bolezni, preteklih ali sedanjih bolezni nosečnice, preteklih operacij, alergij, razvad in socialnih dejavnikov, ki bi lahko vplivali na potek nosečnosti. Sledi ginekološki pregled, ki lahko vključuje tudi odvzem brisa materničnega vratu, če zadnji odvzem ni bil opravljen v zadnjih treh letih ali če prejšnji rezultat ni bil ugoden.
Ključni del prvega pregleda predstavlja ultrazvočni pregled, ki se večinoma izvaja z vaginalno sondo. Ta metoda omogoča potrditev vitalnosti nosečnosti, določitev števila plodov (vključno z možnostjo dvoplodne ali redkeje večplodne nosečnosti) ter oceno velikosti ploda z merjenjem razdalje teme-trtica. S to meritvijo se preveri skladnost z zadnjo menstruacijo, kar omogoča natančno določitev predvidenega datuma poroda (PDP). Če je odstopanje med PDP glede na zadnjo menstruacijo in ultrazvočno meritev večje od 7 dni, se PDP ustrezno prestavi.
V primeru potrjene normalne nosečnosti nosečnica prejme Materinsko knjižico. Ta uradni dokument služi kot osrednja evidenca vseh opravljenih pregledov, preiskav in posegov med nosečnostjo. Nosečnica je odgovorna za njeno skrbno hrambo in jo mora imeti vedno pri sebi, ko obišče zdravstvenega izvajalca.
Svetuje se tudi zgodnje ukrepanje glede zdravih navad. Če nosečnica še ni začela z jemanjem folne kisline pred potrditvijo nosečnosti, se ji toplo priporoča nadaljevanje v času nosečnosti. Poleg tega so ključnega pomena zdrava in uravnotežena prehrana, redna zmerna telesna aktivnost ter zagotavljanje zadostne količine počitka in spanca.
Sistematični pregledi skozi nosečnost: Spremljanje razvoja in zdravja
Po prvem pregledu sledi sklop rednih kontrolnih pregledov, ki so ključni za spremljanje zdravja matere in ploda ter zgodnje odkrivanje morebitnih zapletov. Ti pregledi potekajo v določenih obdobjih nosečnosti in so skrbno načrtovani, da zagotovijo optimalno obravnavo.
Prvi pregled (8. - 12. teden nosečnosti): Poleg že omenjenih dejavnikov vključuje obsežno anamnezo, ki natančno oceni tveganja nosečnosti. Merijo se telesna teža, višina in krvni tlak, preveri se jemanje folne kisline. Ginekološki pregled z odvzemom brisa materničnega vratu se opravi le, če je zadnji izvid starejši od treh let ali če je bil ocenjen s C ali B. Ultrazvočna preiskava v tem obdobju potrdi lokacijo nosečnosti v maternici, število plodov, njihovo vitalnost ter omogoči določitev pričakovanega datuma poroda. Od 6. tedna naprej je mogoče opazovati tudi plodov srčni utrip, medtem ko je natančnejša ocena razvoja ploda v tem zgodnjem stadiju še omejena na osnovne strukture, kot je glava in nakazane okončine.
Nadaljnji pregledi: Vsi nadaljnji pregledi vključujejo anamnezo od predhodnega obdobja, pregled z merjenjem telesne teže in krvnega tlaka, pregled urina ter svetovanje. Ti pregledi se izvajajo z ustrezno pogostostjo, ki se povečuje proti koncu nosečnosti, saj se v zadnji tretjini nosečnosti poveča tudi verjetnost za pojav zapletov.
Merjenje nuhalne svetline (11. - 14. teden nosečnosti): Ta specifičen ultrazvočni pregled je namenjen oceni tveganja za kromosomske nepravilnosti pri plodu, kot je na primer Downov sindrom. Običajno je del kombiniranega presejalnega testa, ki vključuje tudi biokemične preiskave materine krvi.

Tretji pregled (15. - 16. teden nosečnosti): V tem obdobju se nadaljuje spremljanje osnovnih parametrov in počutja nosečnice.
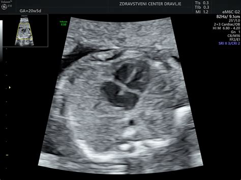
Četrti pregled (20. - 22. teden nosečnosti): Ta pregled predstavlja eno najpomembnejših ultrazvočnih preiskav v nosečnosti - natančno ultrazvočno oceno morfologije ploda. Namenjena je predvsem potrditvi normalnega razvoja ploda, odkrivanju večjih razvojnih nepravilnosti ter t.i. mehkih označevalcev, ki lahko povečajo tveganje za kromosomske napake. Ob koncu tega obdobja so plodovi organi večinoma razviti, kar omogoča z veliko verjetnostjo napoved zdravega otroka. Izjema so pljuča in možgani, katerih razvoj se nadaljuje tudi po rojstvu, zato je nevrološka ocena v tej fazi manj zanesljiva.
Peti pregled (24. - 25. teden nosečnosti): V tem obdobju se ocenjuje višina fundusa maternice (razdalja od sramne kosti do vrha maternice), ki naj bi se v centimetrih približno ujemala s številom tednov nosečnosti. Odstopanje več kot 2 cm lahko zahteva dodatno ultrazvočno preiskavo za oceno rasti ploda. Potrdi se prisotnost plodovega srčnega utripa. Nosečnica se običajno napoti na test za ugotavljanje nosečniške sladkorne bolezni (OGTT). Za RhD negativne nosečnice se v tem obdobju (25. - 28. teden) določi plodov genotip RhD. Če je plod RhD pozitiven, se nosečnici najkasneje do 30. tedna nosečnosti aplicira preventivni odmerek imunoglobulina anti-D.
Šesti pregled (28. - 29. teden nosečnosti): Nadaljuje se ocena višine fundusa maternice in kontrola plodovega srčnega utripa.
Preiskave med nosečnostjo: Poleg rutinskih pregledov se izvajajo tudi specifične presejalne in diagnostične preiskave. Med 24. in 28. tednom nosečnosti je obvezen test za gestacijsko sladkorno bolezen (OGTT). Presejanje na okužbe, kot je Streptokok agalactiae, se običajno opravi med 36. in 38. tednom nosečnosti.
Diagnostika: Ultrazvok, odvzem horionskih resic, amniocenteza - Porodniška nega | @LevelUpRN
V primeru povečanega tveganja za kromosomske nepravilnosti, ki se odkrijejo s presejalnimi testi, se nosečnico napoti na invazivne diagnostične postopke, kot sta biopsija horionskih resic ali amniocenteza. Te preiskave omogočajo natančno genetsko analizo ploda.
Nadaljnje ultrazvočne preiskave: Med 19. in 23. tednom nosečnosti se opravi morfološki ultrazvok, ki je bistven za oceno plodovih organov. Po presoji ginekologa se lahko opravijo dodatni ultrazvočni pregledi med 35. in 37. tednom, še posebej če obstajajo posebne potrebe ali tveganja, kar omogoča tudi dodatno kontrolo rasti in morfologije, saj nekatere razvojne nepravilnosti postanejo vidne šele v kasnejših obdobjih nosečnosti.
Deveti pregled (38. teden nosečnosti): V tem obdobju se nadaljuje ocena višine fundusa maternice, s kardiokotografijo (CTG) pa se prične preverjati plodovo stanje. CTG je preiskava, ki spremlja plodov srčni utrip in aktivnost maternice, kar omogoča oceno dobrobiti ploda.
Deseti in enajsti pregled (39. in 40. teden nosečnosti): Če se porod še ni začel, se s CTG posnetkom redno preverja stanje ploda. Ginekološki pregled oceni zrelost materničnega vratu. Nosečnica je naročena na kontrolne CTG preglede vsake 2-3 dni do 41. tedna nosečnosti. V tem obdobju se lahko doda tudi ultrazvočno merjenje količine plodovnice, kar je pomemben pokazatelj plodovega počutja.
Strokovni tim in individualiziran pristop
V Centru Vitalizacije je zagotovljeno varno, strokovno in osebno spremljanje nosečnosti. Ekipo sestavljajo izkušene specialistke ginekologije in porodništva, ki nudijo celovito obravnavo:
- Barbara Bregant Rojac, dr. med., spec. gin. in porod.: Specialistka z bogatimi kliničnimi izkušnjami, ki se posebej posveča ultrazvočni diagnostiki v nosečnosti, vključno s presejalnimi pregledi. Njeno strokovno znanje je poglobljeno tudi z delom v priznanih mednarodnih ustanovah s področja fetalne medicine.
- Urška Eržen Rupnik, dr. med.: Specialistka ginekologije in porodništva, ki se osredotoča na preventivne preglede, vodenje nosečnosti in zdravljenje ginekoloških obolenj. Zagotavlja varno in temeljito prenatalno nego z dolgoletnimi izkušnjami.
- Monika Colja, dr. med.: Vodi ambulanto za ginekologijo in porodništvo, s poudarkom na celostni skrbi za reproduktivno zdravje žensk. Njen pristop je individualiziran, z usmeritvijo na preventivno oskrbo in zgodnje odkrivanje zapletov.

Posebnosti in napredne diagnostične metode
Poleg standardnih pregledov so na voljo tudi naprednejše diagnostične metode. Med njimi izstopa neinvazivni prenatalni test (NIFTY), ki s pomočjo analize fragmentov plodove DNA v materini krvi omogoča zelo natančno oceno tveganja za kromosomske nepravilnosti, vključno z Downovim sindromom (do 99% zanesljivosti). Ta metoda predstavlja pomemben napredek v prenatalni diagnostiki, saj zmanjšuje potrebo po invazivnih posegih.
V primeru, da presejalni testi ali ultrazvočni pregledi pokažejo povečano tveganje, se nosečnico napoti na nadaljnje diagnostične preiskave, kot sta biopsija horionskih resic ali amniocenteza. Te preiskave omogočajo natančno genetsko analizo ploda in potrditev ali izključitev morebitnih kromosomskih ali genetskih napak.
V Centru Vitalizacije se zavedajo pomena celostne obravnave. Poleg medicinskih storitev nudijo tudi podporo v obliki brezplačnih pogovornih uric za nosečnice, kjer se lahko postavijo vprašanja glede nosečnosti, poroda in obdobja po porodu.
Zaključek: Tveganja nosečnosti in pomen zgodnjega ukrepanja
Večina nosečnosti poteka brez večjih zapletov, kar omogoča bodočim materam, da v tem posebnem obdobju uživajo in se veselijo prihoda novega življenja. Vendar pa je ključnega pomena zavedanje o možnih tveganjih in pomenu rednih pregledov za zgodnje odkrivanje in obvladovanje morebitnih težav. Zgodnje ukrepanje, skrbna spremljava in sodelovanje s strokovnim timom zagotavljajo najboljše pogoje za zdravo nosečnost in rojstvo zdravega otroka.
tags: #sola #diagnostike #in #sodobnega #zfravljenja #v
