Prirojene srčne napake so pomemben del otroške kardiologije in predstavljajo posledico nenormalnega razvoja srca ali velikih žil, ki izhajajo iz srca. Z njimi se rodi približno 0,8 do 1% otrok, kar pomeni, da se v Sloveniji s srčno napako rodi približno 140 otrok letno. Te napake so med vsemi prirojenimi napakami organov in organskih sistemov najpogostejše. Spoznanje, da ima otrok prirojeno srčno napako, je za starše huda življenjska preizkušnja. Poznavanje srčnih napak jim lahko pomaga razumeti otrokovo bolezen in proces zdravljenja. Kardiolog bo starše seznanil z vsemi možnimi rešitvami in skupaj z njimi našel tisto, ki je za njihovega otroka najboljša.
Osnove Zgradbe in Delovanja Srca
Razumevanje srčnih napak bo lažje, če poznamo osnovno zgradbo in delovanje srca. Srce je votel mišični organ v prsni votlini, ki ga sestavljata desna (venozna) in leva (arterialna) polovica. Vsaka polovica je sestavljena iz dveh votlin: preddvora (atrija) in prekata (ventrikla). Leve in desne votline so pri zdravem srcu ločene s pregrado, ki jo imenujemo pretin (septum). Del septuma med preddvoroma imenujemo interatrijski septum, del septuma med prekatoma pa interventrikularni septum.
V vsaki polovici srca je po ena zaklopka: med desnim preddvorom in desnim prekatom je trikuspidalna zaklopka, med levim preddvorom in levim prekatom pa mitralna zaklopka. Votlina nad zaklopko (preddvor) sprejema kri, ki priteče iz telesa, votlina pod zaklopko (prekat) pa iztiska kri v eno od dveh velikih žil, ki izhajata iz prekatov: desni prekat v pljučno arterijo, levi v aorto. Tudi v ustjih teh dveh arterij je po ena zaklopka: med desnim prekatom in pljučno arterijo je pljučna zaklopka, med levim preddvorom in aorto pa aortna zaklopka. Srčne zaklopke urejajo tok krvi v srcu.
Dve veliki veni (zgornja in spodnja votla vena) dovajata venozno kri (neoksigenirano, s kisikom revno kri iz telesa) desnemu preddvoru, ki jo iztiska v desni prekat. Ta jo nato iztisne v pljučno arterijo. Naloga pljuč je kri oskrbeti s kisikom, nato pa se oksigenirana (arterialna, s kisikom bogata) kri po pljučnih venah vrne v levo stran srca. Pretok krvi iz desnega prekata po pljučni arteriji v pljuča in nato po pljučnih venah v levi preddvor imenujemo pljučni (mali) krvni obtok. Arterialna kri se vrne v levi preddvor, ki iztiska kri v levi prekat, ta pa jo v aorto. Pretok krvi iz levega prekatka po aorti v vse organe telesa in nato po velikih venah nazaj v desni preddvor imenujemo sistemski (telesni, veliki) krvni obtok. Količina krvi, ki jo črpa levi prekat v aorto, je v normalnih razmerih enaka količini, ki jo prečrpa desni prekat v pljučno arterijo. Upornost žil v pljučnem obtoku je veliko manjša kot v sistemskem, razen takoj po rojstvu in pri nekaterih boleznih.
Srce se začne razvijati 18. dan nosečnosti in začne utripati 20. do 22. dan (ginekologi utrip običajno zaznajo v 6. tednu). Srce se dokončno oblikuje v 9. tednu nosečnosti. Plodov krvni obtok se v marsičem razlikuje od krvnega obtoka po rojstvu. Razvoj srca pri plodu je zelo zapleten in gre čez več razvojnih faz, zato lahko pri tem pride do različnih motenj in do zelo različnih srčnih napak, ki pa na srečo niso vse enako pomembne. Neredko pri enem bolniku vidimo več prirojenih srčnih napak hkrati. Običajno jih delimo na napake brez cianoze in napake s cianozo (cianoza pomeni modro obarvanost sluznic in kože zaradi pomanjkanja kisika v krvi). Do cianoze pri srčni napaki pride, kadar neoksigenirana kri iz desne strani srca prehaja mimo pljuč na levo stran srca in se pomeša z oksigenirano krvjo.
Težave, na katere naj bodo starši pri otroku pozorni, so pri novorojenčku in dojenčku predvsem hitrejše in težje dihanje, utrujanje pri hranjenju, pretirano potenje, slabo pridobivanje telesne teže, otekanje nog, trebuha ali vek, izrazita bledica, še zlasti če jo spremljata hitrejše in oteženo dihanje, modra obarvanost sluznic (ustnic, jezika) ter kože in nohtov. Pri večjih otrocih je lahko znak srčne napake slaba telesna zmogljivost, hitro utrujanje, zadihanost pri naporu, omotica, bolečina v prsih ob naporu, občutek nenormalnega bitja srca ter izguba zavesti, še posebno če do nje pride med naporom. Pri nekaterih srčnih napakah se težave pojavijo šele v odrasli dobi.
Šumenje v srcu, ki ga sliši pediater med pregledom, je lahko znak srčne napake. Fizikalna osnova šuma je vrtinčenje krvnega toka, ki je odvisno od hitrosti pretoka, gostote tekočine (krvi) in nekaterih bolezenskih stanj. Šume lahko razdelimo v tri skupine: akcidentalni, funkcionalni in organski. Akcidentalni šum lahko slišimo nad III. ali IV. rebrom in se spreminja s položajem telesa, najdemo ga skoraj pri polovici otrok. Funkcionalni šum lahko slišimo pri zdravem srcu, če je povišana telesna temperatura in pri nekaterih drugih boleznih. Organski šum pa slišimo pri različnih srčnih hibah.

Vzroki za Prirojene Srčne Napake
Za mnoge prirojene srčne napake vzroka ne poznamo. Če ima srčno napako eden od sorojencev ali staršev, se osnovno tveganje za srčno napako pri otroku poveča za 3 do 4-krat. Tveganje za prirojeno srčno napako poveča sladkorna bolezen pri materi, še posebej če je slabo vodena, nekatere sistemske bolezni veziva (npr. sistemski lupus eritematozus), jemanje nekaterih zdravil (npr. isotretinoin za zdravljenje aken) in nekatere virusne okužbe med nosečnostjo. Tudi škodljive razvade, npr. alkohol ali kajenje, lahko poškodujejo plod.
Srčna napaka je lahko tudi posledica dedne motnje, kot je npr. Downov sindrom, Marfanov sindrom in še nekatere druge. Če obstaja sum, da je razvoj srca pri plodu nepravilen, se nosečnico napoti na pregled k specialistu za fetalno kardiologijo, običajno med 16. in 20. tednom nosečnosti.
Diagnostika Pred Rojstvom
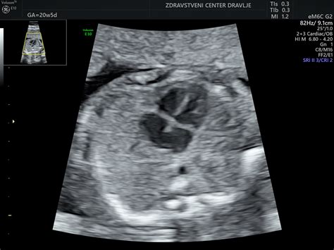
V zadnjih nekaj letih se je kot dodatna presejalna metoda za razpoznavo plodov s povečanim tveganjem za srčno napako uveljavilo merjenje nuhalne svetline. Merjenje nuhalne svetline, ki predstavlja razdaljo med kožo in mehkimi tkivi, ki pokrivajo hrbtenico, izvajajo ginekologi med 11. in 14. tednom nosečnosti. Metodo, pri kateri izmerjeno vrednost nuhalne svetline kombiniramo s starostjo nosečnice, so razvili predvsem za oceno tveganja za prisotnost trisomije 21 (Downovega sindroma), kmalu pa so ugotovili, da je nuhalna svetlina razen pri kromosomskih nepravilnostih povečana tudi pri plodovih s srčno napako.
Čeprav je mogoče plodovo srce ultrazvočno pregledati in oceniti že okoli 16. tedna nosečnosti, največ pregledov opravimo pri nosečnicah med 20. in 22. tednom nosečnosti. Srce je v tem času veliko približno kot lešnik. Pregled začnemo z oceno velikosti srca in njegove lege v prsnem košu. Prikažemo priliv obeh votlih ven v desni preddvor ter priliv vsaj ene pljučne vene v levi preddvor. Razpoznamo oba preddvora in prekata ter ocenimo delovanje trikuspidne in mitralne zaklopke. Prikažemo in vrednotimo tudi ovalno okence in Botallov vod. Obe strukturi sta pri plodu široko odprti, po rojstvu pa se zapreta. Poleg same morfologije ocenimo ob ultrazvočnem pregledu plodovega srca še funkcijo srčne mišice in opredelimo srčni ritem.
Predrojstno svetovanje je bistven del kardiološkega pregleda otroka v maternici. V pogovoru nikoli ne hitimo, staršem moramo omogočiti dovolj časa, da se soočijo z okoliščinami, v katerih so se znašli. Na podlagi ugotovljene srčne napake se s perinatologi dogovorimo za usmerjen ultrazvočni pregled za izključitev drugih prirojenih nepravilnosti ter izvedbo smiselnih genetskih preiskav. Pomembno je, da so informacije, na podlagi katerih se starši odločijo glede nadaljevanja prizadete nosečnosti, realne in čim bolj popolne. Odločitev glede nadaljevanja oziroma prekinitve nosečnosti, ki jo starši sprejmejo v okviru obstoječe pravne ureditve, kot tako sprejmemo in podpremo. Skladno z naravo srčne napake svetujemo glede termina in načina poroda, neonatologu pa glede morebitnih nujnih ukrepov, ki bodo pri novorojencu potrebni v prvih urah življenja.
Predrojstna razpoznava je zato zlasti pomembna pri tistih napakah, pri katerih se ob zapiranju Botallovega voda bistveno zmanjša pretok krvi skozi telo ali pljuča, kar privede do zakisanja tkiv in krvi, v skrajnih primerih pa tudi do smrti bolnika. S pravočasnim dajanjem zdravil, ki preprečijo zaprtje Botallovega voda, pridobimo čas, ki je potreben za izvedbo intervencijskega ali kirurškega zdravljenja, s katerim bolnikovo stanje stabiliziramo oziroma napako v celoti odpravimo.
V Sloveniji se diagnostika srčnih napak pred rojstvom ter diagnostika in zdravljenje motenj srčnega ritma pri plodu izvajata v okviru Centra za fetalno kardiologijo, ki deluje v okviru Službe za kardiologijo Pediatrične klinike v Ljubljani. V okviru Centra vsako leto obravnavamo približno 300 nosečnic, pri katerih je povečano tveganje za rojstvo otroka s srčno napako, ali pa na srčno napako ob presejalnem ultrazvočnem pregledu posumijo ginekologi. Pomembno srčno napako ugotovimo pri 15 do 20 plodovih, število odkritih napak pa se iz leta v leto povečuje. Letno v Centru obravnavamo in zdravimo tudi 5 plodov z motnjami srčnega ritma, predvsem fetalno tahikardijo in kompletnim srčnim blokom. V razvitih zdravstvenih sistemih se težišče razpoznave prirojenih srčnih napak iz obdobja po rojstvu vedno bolj pomika v čas druge tretjine nosečnosti. Prednosti zgodnje razpoznave so številne. V zadnjih nekaj letih smo se z vztrajnim delom ter dobrim sodelovanjem med pediatričnimi kardiologi in perinatologi tem trendom uspeli priključiti tudi v Sloveniji.

Vrste Prirojenih Srčnih Napak
Prirojene srčne napake delimo na več vrst, glede na to, kako vplivajo na pretok krvi.
Napake Brez Cianoze
Pri teh napakah ne pride do bistvenega mešanja arterijske in venske krvi, zato otrok ni modrikast.
Defekt v pretinu prekatov (VSD - Ventricular Septal Defect): Gre za najpogostejšo prirojeno srčno napako, ki predstavlja več kot 30 % vseh srčnih napak. Gre za "luknjo" v mišični pregradi med desnim in levim prekatom. Ker je tlak v levem prekatku višji kot v desnem, teče nekaj s kisikom bogate krvi iz levega prekatka preko odprtine v desnega (levo-desni šant). Velikost defektov je različna, od majhnih brez hemodinamskih motenj do velikih, ki povzročajo srčno popuščanje, pljučno arterijsko hipertenzijo ali Eisenmengerjev sindrom. Majhni defekti se velikokrat zaprejo sami in večinoma niso problematični. Večji defekti pa zahtevajo zdravljenje, saj povzročajo težko dihanje, potenje, težave s hranjenjem in slabo pridobivanje telesne teže.
Defekt v pretinu preddvorov (ASD - Atrial Septal Defect): Ta napaka predstavlja približno 10 % vseh prirojenih srčnih napak in je defekt v steni, ki deli levi in desni preddvor. Glavni problem predstavlja tok krvi iz levega v desni preddvor, kar povzroči mešanje krvi. Zaradi porasta količine krvi in tlaka v desni polovici srca je ta stran preobremenjena, kar vodi do razširitve in zadebelitve desnega preddvora in prekatka ter volumske preobremenitve pljučnih žil. Simptomi se običajno kažejo v šolski dobi s povečanim znojenjem, težkim dihanjem in večjo utrujenostjo.
Perzistentni Botallov vod (Ductus Arteriosus Persistens - PDA): Botallov vod je žila, ki v času srčnega razvoja povezuje prsni del aorte s pljučno arterijo. Po rojstvu naj bi se spontano zaprl. Če ostane odprt, prihaja del krvi iz aorte po Botallovem vodu tudi v pljučno arterijo in naprej v pljučno ožilje. Večina otrok s to napako nima težav, lahko pa se pojavi povečan pretok krvi skozi pljuča, kar vodi do pogostejših vnetij dihal ali endokarditisa. Zdravljenje je operativno ali s pomočjo kateterizacije.
Koarktacija aorte: Gre za zožitev na sami aorti, ki ovira tok krvi iz levega prekatka v aorto. Tlak pred zožitvijo je povečan, zato mora levi prekat delati z večjo močjo, kar vodi do njegove zadebelitve. Novorojenčki s hudo zožitvijo aorte potrebujejo takojšnje kirurško zdravljenje. Simptomi so odvisni od velikosti zožitve, lahko se pojavijo glavoboli, krvavitve iz nosu ali bolečine v spodnjih udih.
Aortna stenoza: Pri tej napaki pride do zožitve na sami aortni zaklopki, nad ali pod njo, kar ovira tok krvi iz levega prekatka v aorto. Levi prekat mora delati z večjo močjo, kar vodi do hipertrofije in srčnega popuščanja. Znani so primeri nenadne srčne odpovedi pri mladostnikih ob večjem telesnem naporu. Zaklopko je treba operirati, še preden se pojavi okvara mišice levega prekatka.
Pulmonalna stenoza: Gre za zožitev pljučne odvodnice, zaradi česar mora desni prekat opravljati večje delo in se zadebeli. Pri hujših stopnjah zožitve se povišan tlak v desnem prekatu prenese tudi na levi preddvor. V pljuča priteče manj krvi, zato so tudi slabše prekrvljena. Težave so odvisne od stopnje zožitve; včasih je treba operativno zdraviti že novorojenčke, pri drugih otrocih pa so težave komaj zaznavne.
Napake s Cianozo
Pri teh napakah pride do mešanja arterijske in venske krvi, kar povzroči nezadostno nasičenost krvi s kisikom in posledično modrikasto obarvanost kože in sluznic (cianoza).
Fallotova tetralogija: Gre za hudo srčno hibo, pri kateri so prisotne kar štiri napake: zožena pljučna odvodnica, zadebelitev mišice desnega prekatka, jahajoča aorta in odprtina v prekatnem pretinu. Pri nekaterih otrocih se pojavlja tudi peta napaka, preddvorni pretinski defekt (Fallotova pentalogija). Otrok s temi napakami je modrikast, ker kri, ki kroži po telesu, ni dovolj nasičena s kisikom. Kot posledica s kisikom osiromašenih tkiv se lahko pojavijo betičasti prsti. Otrokove težave so ponavadi številne; že pri običajni hoji se lahko precej zadiha, pomodri, zaradi slabše prekrvavitve se pojavijo mišični krči, nekateri otroci lahko padejo v nezavest. Starši pogosto poročajo, da je otrok postal modrikast dva do tri mesece po rojstvu in zaostaja v razvoju. Za postavitev končne diagnoze je potrebna kateterizacija srca.
Transpozicija velikih žil: Pri tej napaki aorta izhaja iz desnega prekatka (mora iz levega), pljučna odvodnica pa iz levega prekatka (mora iz desnega). Gre za hudo napako, ki se pojavlja v 4 % primerov. Otrok ima obilo oksigenirane krvi, ki pa kroži le skozi pljuča in ne kroži po preostalem telesu. Otroci s to napako po rojstvu preživijo le zaradi odprtine med desnim in levim preddvorom (foramen ovale), ki je ob rojstvu normalno prisotna. Če otrok po zaprtju foramna ovale živi, so priključene še druge napake, saj brez njih življenje praktično ne bi bilo mogoče. Otroci so modrikasti, pojavi se odpovedovanje srca. Zdravljenje je kirurško.
Truncus arteriosus: To je redka prirojena bolezen srca, pri kateri iz srca izhaja samo ena krvna žila (arterija), znana kot truncus arteriosus. V času, ko se oblikuje srce ploda, imajo vsi dojenčki truncus arteriosus, ki pa se čez čas razdeli na dva dela. Pri dojenčkih s truncus arteriosus ob rojstvu ta velika žila ne razpade na dva dela, stena, ki ločuje oba prekata, pa se ne zapre popolnoma. Desna stran srca črpa deoksigenirano kri preko pljučne krvne žile v pljuča, leva stran pa prenaša oksigenirano kri preko aorte v različne dele telesa. Kirurški poseg je eden najboljših načinov zdravljenja, ki se običajno izved…
Atrial Septal Defect (ASD), Animation.
Šum na Srcu pri Dojenčku: Kaj Pomeni?
Prvo diagnozo pogosto postavi pediater, ki s stetoskopom posluša srce. Z nadaljnjimi preiskavami lahko vzrok šuma ugotovi pediatrični kardiolog. Ta je lahko slišen že ob rojstvu ali pa se pojavi pozneje.
"Šum na srcu nastane zaradi vrtinčenja krvi. Kri se vrtinči oziroma se hitrost toka krvi poveča zaradi okvar srčnih zaklopk ter na različnih defektih v srcu. To so lahko luknjice v srcu ali nenormalne povezave velikih žil, ki izhajajo iz srca," razlaga prof. dr. Mirta Koželj, dr. med.
"Šum na srcu poleg tega nastane tudi zaradi povečanega pretoka skozi ustja zaklopk. To se zgodi pri anemiji, povečanem delovanju ščitnice in povišani telesni temperaturi." Kardiologinja tudi dodaja, da se včasih sliši šum, vendar ni mogoče točno opredeliti, kje nastaja. "Ko izključimo vse zgoraj omenjene vzroke, govorimo o nedolžnem srčnem šumu. Ta seveda ne zahteva nobene nadaljnje obravnave." Srce je v tem primeru normalno oziroma zdravo. Takšen šum lahko nekega dne izgine ali pa ga ima oseba vse življenje, ne da bi ji povzročal kakršne koli težave. Na spletni strani medicinske fakultete univerze Harvard v članku, ki je bil objavljen lanskega decembra, navajajo statistiko, da ima nedolžen srčni šum 10 odstotkov odraslih in 30 odstotkov otrok, ki so najpogosteje stari od tri do sedem let.
Ko kri teče skozi srce, naleti na zaklopko, ki je ožja, kot bi morala biti. Ko se zaklopke zaprejo in se srce skrči, del krvi teče v napačno smer (zateka nazaj, od koder je prišla). Če bo zdravnik posumil, da gre za nefunkcionalen šum, bo otroka napotil h kardiologu. Otroci s kongenitalno srčno napako imajo poleg šuma še druge težave oziroma znake bolezni. Znaki prirojene srčne napake so pri nekaterih otrocih opazni že v prvih dneh po rojstvu.
- Večina šumov ni nevarnih - »nedolžni« šumi. Takšni so pogosti pri zdravih otrocih.
- Včasih je srčni šum znak bolezni.
Srčni šumi so zvoki, ki jih povzroča turbulenten pretok krvi v srcu. Čeprav so lahko neškodljivi, lahko kažejo tudi na osnovne srčne bolezni, ki zahtevajo zdravniško pomoč. Razumevanje srčnih šumov je ključnega pomena za zgodnje odkrivanje in obvladovanje morebitnih težav s srcem. Šum na srcu je nenavaden zvok, ki ga slišimo med srčnim utripom in ga pogosto opišemo kot piskajoč ali švigajoč zvok. Te zvoke običajno zaznamo s stetoskopom med fizičnim pregledom. Šum na srcu lahko razdelimo na: nedolžna ali nenormalno. Nedolžni šumi so pogosti pri otrocih in običajno ne kažejo na težave s srcem.
Določene okužbe lahko povzročijo šum na srcu. Na primer, revmatična vročica, ki se lahko razvije po nezdravljeni angini, lahko poškoduje srčne zaklopke, kar povzroči nenormalen pretok krvi. Nekateri srčni šumi so povezani z genetskimi boleznimi. Na primer, prirojene srčne napake, ki so strukturne težave, prisotne ob rojstvu, lahko povzročijo nenaden pretok krvi in šume. Izbira življenjskega sloga lahko vpliva na zdravje srca. Slaba prehrana, pomanjkanje gibanja, kajenje in prekomerno uživanje alkohola lahko prispevajo k srčnim boleznim, kar lahko povzroči šume na ustih. Mnogi posamezniki s srčnimi šumi morda ne občutijo nobenih simptomov. Diagnoza srčnega šuma se začne s temeljito klinično oceno. Zdravstveni delavec bo zbral podrobno bolnikovo anamnezo, vključno z morebitnimi simptomi, družinsko anamnezo srčnih bolezni in dejavniki življenjskega sloga. Zdravljenje srčnih šumov je odvisno od osnovnega vzroka. Če šum ni nevaren, zdravljenje morda ni potrebno. Prognoza za posameznike s srčnimi šumi se zelo razlikuje glede na osnovni vzrok. Zgodnja diagnoza in upoštevanje navodil za zdravljenje sta ključna dejavnika, ki vplivata na splošno prognozo.
Kaj povzroča šum na srcu? Šum na srcu lahko povzročijo različni dejavniki, vključno s strukturnimi srčnimi napakami, težavami z zaklopkami, anemijo in okužbami. Ali so srčni šumi nevarni? Vsi srčni šumi niso nevarni. Kako se diagnosticirajo srčni šumi? Kakšni so simptomi srčnega šuma? Pogosti simptomi vključujejo težko dihanje, utrujenost, bolečine v prsih, palpitacije in otekanje nog ali trebuha. Ali je mogoče zdraviti srčne šume? Zdravljenje je odvisno od osnovnega vzroka. Kako lahko preprečim šumenje na srcu? Kdaj naj obiščem zdravnika zaradi srčnega šuma? Ali lahko srčni šumi povzročijo zaplete? Ali obstaja zdravilo za srčne šume? Kakšna je dolgoročna napoved za nekoga s srčnim šumom? Dolgoročna napoved se razlikuje glede na vrsto šuma. Šum na srcu je pomemben kazalnik zdravja srca, ki lahko segajo od neškodljivih do resnih. Razumevanje njihovih vzrokov, simptomov in možnosti zdravljenja je bistvenega pomena za učinkovito zdravljenje.
Šum na srcu je zvok krvi, ki teče skozi srce in velike krvne žile, ki prenašajo kri po telesu. Lahko je znak prirojene srčne napake. Lahko nam namigne na bolezni, ki se začnejo drugje v telesu in otežijo delovanje srca, kot sta na primer anemija ali vročina. Lahko pa gre za povsem nenevarno najdbo. Pri otrocih so šumi pogosto neškodljivi in samo zvok srca, ki deluje normalno. To pomeni, da zadaj ni nobene organske patologije, anatomske ali fiziološke narave. Te neškodljive šume imenujemo nedolžni ali funkcionalni šumi. V povprečju literatura navaja, da jih lahko slišimo pri 50-90% otrok med 3. in 7. letom starosti, le manj kot odstotek teh pa ima v ozadju dejansko srčno patologijo.
Pri otrocih se šumenje sliši veliko lažje in prej, kot pri odraslih osebah, ker imajo tanjšo prsno steno in srce bližje stetoskopu. Ko imajo otroci vročino ali so prestrašeni, jim srce bije še hitreje in zato šumenje lahko postane še glasnejše kot običajno.
Za razlikovanje nedolžnih, fizioloških od pomembnih, patoloških šumov, so nam danes na voljo številne klinične preiskave - velja pa, da lahko že sama (dobra) avskultacija pediatričnega kardiologa, loči pomemben šum od nepomembnega v 95% primerov.
Karakteristike Srčnega Šuma
Pomembne lastnosti srčnega šuma so: čas pojavljanja v srčnem ciklu, lokacija, kakovost, intenzivnost, oblika, sevanje v oddaljena mesta, višina tona ter prisotnost ali odsotnost klika. Obstajajo štiri glavne “avskultacijske točke” srca na prsnem košu, s katerimi si pomagamo pri določanju izvora šuma. Desna zgornja meja prsnice predstavlja območje aortne zaklopke, leva zgornja meja prsnice območje pljučne zaklopke, leva spodnja meja prsnice je odraz območja trikuspidalne zaklopke, vrh srca pa predstavlja območje mitralne zaklopke. Šumenje lahko seva tudi na več kot eno avskultacijsko mesto. Poznamo več vrst šumov, ki jih lahko glede na oblikovanost, spreminjanje intenzivnosti in gradient tlaka, razdelimo v več skupin. Glede na oblikovanost, šume razdelimo na crescendo, decrescendo, crescendo-decrescendo in enakomerne šume. Gradient tlaka bo imel največji vpliv na to, ali je šum visoko - ali nizkotonski. Intenzivnost srčnega šuma pa opredelimo z rimskimi številkami od I do VI, pri čemer je šum I. stopnje komaj slišen, šum III. stopnje zmerno glasen in zlahka slišen, šum VI. stopnje pa lahko slišimo že s prostim ušesom brez stetoskopa.
Delitev Srčnih Šumov
Glede na njihov klinični pomen in etiologijo, srčne šume delimo na nedolžne ali funkcionalne in organske oz patološke.
Značilnosti nedolžnih šumov lahko povzamemo z mnemoniko sedmih S-jev:
- SISTOLIC - sistolični (slišen v času sistole)
- SMALL - majhen (ne seva na druga avskultacijska mesta)
- SOFT - mehak (blag)
- SHORT - kratek (ne traja skozi cel čas sistole)
- SINGLE - enojen (brez drugih patoloških avskultatornih ugotovitev)
- SWEET - »sladek« (ne oster)
- SENSITIVE - občutljiv (pomeni, da se spreminja s spremembo položaja otroka)
Medtem ko imajo nedolžni šumi kratko trajanje, so crescendo- decrescendo tipa, imajo nizko intenzivnost, ne sevajo na druga mesta, nastanejo v zgodnji sistoli in so najbolje slišni, ko otrok leži na hrbtu, je organski šum običajno glasen (≥III/VI intenzivnosti), diastolični ali holosistolični, močan, se pojavi pozno v sistoli, njegova intenzivnost se poveča v stoječem položaju in lahko je povezan z nenormalnim drugim tonom ali klikom.
Razvrstitev Nedolžnih Šumov
Skoraj vse nedolžne šume, ki jih slišimo v otroštvu, uvrščamo v eno od naslednjih vrst: vibracijski Still-ov šum, fiziološki šum pljučnega pretoka, aortni pretočni šum, supraklavikularni ali arterijski »hrup«, vensko brnenje oz. »žvižg« in šum stenoze periferne pljučne arterije pri novorojenčkih.
Razen venskega brnenja, ki je neprekinjeno, a nedolžno šumenje, so vse ostalo našteto sistolični šumi.
STILLOV, VIBRACIJSKI ŠUM: Je muzikalen, vibracijski, nizkofrekvenčni šum, omejen na zgodnjo sistolo, na splošno stopnje II, maksimalno slišen na spodnjem levem robu prsnice. Običajno ga opazimo že v obdobju dojenčka, največja incidenca pojavljanja pa je pri starosti od 3 do 7 let. Na splošno je najglasnejši v ležečem položaju, se spremeni v značaju in zmanjša v intenzivnosti s pokončnim položajem. Valsalvin manever prav tako zmanjša intenzivnost šumenja.
ŠUM PLJUČNEGA PRETOKA: To je zgodnji sistolični (iztisni) crescendo-decrescendo šum, ki ga najbolje slišimo v drugem in tretjem medrebrnem prostoru na levi meji prsnice. Je nizke intenzivnosti (stopnje II-III), prenaša se proti pljučem. Glasnejši je v ležečem položaju in med vdihom, povišano telesna temperatura ali telovadbo. To šumenje je treba razlikovati od šumenja defekta atrijskega septuma ali pljučne stenoze (oboje patološko).
AORTNI PRETOČNI ŠUM: Gre za iztisni sistolični šum, ki je maksimalno slišen v aortnem področju. Lahko postane očiten v okoliščinah, povezanih s hiperdinamično cirkulacijo, kot je ekstremen strah, anemija, hipertiroidizem, dehidracija ali vročina. Glasnejši je pri starejših otrocih, odraslih in športnikih. Pogosto smo težko točno prepričani o vzroku tega šuma, tako da so ponavadi indicirane nadaljnje preiskave.
SUPRAKLAVIKULARNI, ARTERIJSKI - KAROTIDNI »HRUP«: Ta nizkotonski crescendo-decrescendo iztisni šum je najbolj slišen nad ključnicami in seva do vratu, lahko v manjši meri tudi v zgornji del prsnega koša. Šumenje je prisotno, ko otrok leži na hrbtu in sede, vendar se zmanjša ali popolnoma izgine s hiperekstenzijo ramen.
VENSKO BRNJENJE OZ. »ŽVIŽG«: To je visokofrekvenčen, mehak, neprekinjen šum, opazen večinoma med 3. in 8. letom starosti. Najbolj slišen je nizko, na sprednjem delu vratu, tik ob sternokleidomastoidni mišici, vendar se pogosto razširi na področje pod ključnico. Je bolj izrazit na desni kot na levi, pogosto izzveni oz se spremeni v značaju, ko bolnik leži. Lahko tudi izgine ali se zmanjša z nežnim stiskanjem notranje jugularne vene ali z obračanjem pacientove usmeritve proti strani šumenja. Vensko brnjenje je pogosto nepatološko.
ŠUM STENOZE PERIFERNE PLJUČNE ARTERIJE PRI NOVOROJENCIH: Gre za kratek mezosistolični šum, srednje intenzivnosti, slišen v predelu pljuč in pazduh. Med nosečnostjo, torej v času fetalnega življenja, večina krvi teče iz desnega prekata čez ductus arteriosus - Bottalov vod. Samo okoli 20% celotnega minutnega volumna srca vstopi v pljuča preko vejnih pljučnih arterij, zato so njihovi premeri relativno majhni, v primerjavi s tistim, od pljučnega debla. Po rojstvu se omenjeni kanal zapre in vsa kri iz desnega prekata bi morala preiti skozi te relativno ozke veje pljučnih arterij. Iz tega razloga lahko pride do šumenja, ki postane slišno v poznem neonatalnem obdobju. Ta prehodni nedolžni šum je zmeren, visok zgodnji do srednji sistolični šum, ki se sliši tudi med ključnicama. Dojenčki s tem prehodnim srčnim šumom imajo blago nerazvitost vej pljučne arterije z bistveno manjšim premerom in bistveno večjimi hitrostmi pretoka. Po nekaj mesecih te manjši premeri postanejo normalni in srčni šum izgine. Vzrok za to je prehodna stenoza vej pljučne arterije, kar je mogoče razložiti s spremembami iz fetalne v neonatalno cirkulacijo.
POSEBNOST: MAMMARY SOUFFLÉ: Leta 1908 je Van den Bergh opisal neprekinjen šum, slišen pri nosečnicah ali doječih materah. Najbolj slišen je na sprednjem delu prsnega koša med sistolo, lahko se širi tudi v diastolo. Redko se pojavi tudi v adolescenci, načeloma pa je razložen kot posledica pritiska na odvodne žile v dojkah med laktacijo. Po njej izgine.
Diagnostični Pristop pri Obravnavi (Nedolžnih) Srčnih Šumov
Kot pri vseh ostalih področjih medicine, se tudi tu vedno poslužimo preverjenih diagnostičnih tehnik, začenši z dobro anamnezo težav. Nadaljujemo z osebno anamnezo otroka in perinatalno anamnezo matere, družinsko anamnezo, kliničnim pregledom in na koncu po potrebi dodamo še uporabo drugih preiskovalnih tehnik.
Pomembne Stvari pri Anamnezi Težav in Njihove »Rdeče Zastavice«
- Trajanje šuma - kdo ga je prvič slišal in kje, kakšen je bil otrok med pregledom, so bili zraven prisotni tudi kakšni drugi simptomi, je sočasno preboleval okužbo/imel vročino, je kdo ta šum spremljal?
- Obstetrična zgodovina - je bil narejen fetalni ultrazvok, so bile najdene kakšne posebnosti, je mama med nosečnostjo prebolela kako bolezen/ima v družini kronična, genetska obolenja?
- Rojstvo, porod - kako je potekal, kdaj in v kakšnem stanju je bil otrok rojen, so bile kakšne posebnosti, infekcije, težave?
- Poporodne bolezni in problemi - povprašamo predvsem o težavah pri dihanju, hranjenju, utrujanju, kakšna je zmogljivost otroka v primerjavi z vrstniki, barva telesa (bleda, rožnata, modra, …?)
- Družinska anamneza - so v družini prisotne kakšne srčne napake, prirojene ali pridobljene bolezni srca?
- Težave s hranjenjem
- Težave z napredovanjem
- Težave z dihanjem, pomodrevanje
- Hitro utrujanje
- Bolečine v prsnem košu
- Sinkopa
- Težave z vadbo
- Diabetes pri mami
- Marfanov sindrom v družini
- Prirojene srčne napake v družini, predvsem pri sorojencih.
Pomembne Stvari pri Fizičnem, Kliničnem Pregledu Otroka in Njegove »Rdeče Zastavice«
- Ocena splošnega stanja: Pregled otroka začnemo z oceno njegovega splošnega stanja - počutje, barva, razvitost, nepravilnosti, otekline, teža, višina, obseg glavice, periferni pulzi.
- Inspekcija, palpacija, avskultacija in perkusija prsnega koša: Ocena vseh okvirnih avskultatornih točk na prsnem košu.
- Pregled trebuha: Inspekcija, palpacija, avskultacija, perkusija, pozornost na jetra in vranico.
- Pregled udov: Poleg pulzov še kapilarni povratek, krvni pritisk na rokah in nogah, spremembe in razlike med meritvami.
- Sindromsko izgledajoč otrok
- Težave pri napredovanju
- Hiperdinamični prekordij
- Izrazito glasen šum
- Intenziteta > III
- Sočasna prisotnost klika
- Diastolični ali holosistolični šum
- Povečana jetra/vranica
- Ascites
- Povečana intenziteta šuma v stoječem položaju.
Komplementarne Preiskave, Ki Jih Uporabljamo
- RTG prsnega koša: Ta nam poda oceno o velikosti srca, srčni senci, približni velikosti štirih votlin - je nizko senzitivna in specifična preiskava, ki je rutinsko precej neuporabna.
- EKG: Ne pomaga pri klinični diagnozi, lahko pa nam pomaga identificirati vzrok same srčne bolezni.
- Ehokardiografija: Glavna in tudi najpomembnejša preiskava, uporablja se tako M-mode UZ srca, kot 2D in Doppler UZ. Pomembno pripomore k ugotavljanju narave bolezni, dobro dopolni klinični pregled.
Novi Pristopi
- Telemedicina
- Neuralna omrežja
Skrb za Otroka z Nedolžnim Srčnim Šumom
Taki šumi so NENEVARNI, pomenijo, da ima otrok kljub šumu STRUKTURNO in FUNKCIJSKO NORMALNO srce. Otrok ne rabi nobenih restrikcij v življenju oziroma omejevanja aktivnosti. Ko otrok raste in se razvija, je velika verjetnost, da bo šum izginil sam po sebi - NIČ NI NAROBE, ČE SE TO NE ZGODI. Tak otrok NE POTREBUJE dodatne obravnave oziroma spremljanja pri pediatričnem kardiologu.
Majeva zgodba
V Društvu Viljem Julijan ob svetovnem dnevu ozaveščanja o prirojenih srčnih napakah z Metropolitanovimi bralci delijo zgodbo eno leto in pol starega fantka Maja, ki jim jo je zaupala njegova ljubeča mamica Sabina Vadnjal. »Majeva zgodba se je začela pisati 6. aprila 2020, ko se je rodil v postojnski porodnišnici. Sprva ni kazalo, da bi bilo z Majem kaj narobe in tudi cela nosečnost je potekala v redu, na ultrazvokih niso opazili napake. Sledili so naporni dnevi na neonatalnem oddelku pediatrične klinike. V starosti samo 3 dni je imel Maj prvi zahteven kirurški poseg, operacijo srčka - atrioseptosomijo po Rashkindu (omenjeni poseg so mu čez nekaj mesecev ponovili še enkrat), s katero so mu izboljšali količino kisika krvi. Po posegu je bil Maj stabilen, zato so naju premestili na kardiološki oddelek. Po enem mesecu je sledil težko pričakovani odhod domov. Na žalost so se kmalu začele pojavljati velike težave s hranjenjem, saj je Maju, zaradi njegove srčne napake, to predstavljalo velik napor. Zato sva bila potem zopet hospitalizirana zaradi kirurške vstavitve cevke za hranjenje v njegov trebušček (nazogastrična sonda). In tako je potem potekalo naše življenje. Tedenski pregledi pri kardiologu, merjenje količine kisika v krvi, ki je pri poslabšanju je padla tudi do 70%, laboratorijske preiskave, rentgenska slikanja prsnega koša… Dokler ni prišel dolgo pričakovani september. Mesec, ko se je vse spremenilo. Mesec, ko se je Majevo zdravstveno stanje izboljšalo in hkrati najtežji mesec za naju. Ampak sva vedela, da je to v njegovo dobro. Tako dobrovoljen je bil in še vedno je ta naš pogumen mali korenjak. Poln veselja in pozitive. In takšna sva bila tudi midva. Pozitivna in močna za najinega malega borca. Najinega Maja sva v starosti petih mesecev 15. septembra 2020 predala v roke anesteziologiji in močno stiskala pesti, da bi bila zahtevna operacija njegovega drobnega srčka uspešna. Prvi obisk na intenzivnem oddelku je bil zelo težak. Nihče te ne more pripraviti na takšen prizor. Vsi tisti monitorji, nešteto cevk, še več zdravil. V posteljici pa tvoj dojenček, ki nepremično leži. Komaj sva čakala, da odpre očke in se nama nasmehne. Nekaj najlepšega je bilo po vseh teh težkih dnevih videti njegov nasmeh. Maj je bil ves čas stabilen in se je odlično držal. Po petih dneh intenzivne nege sva bila premeščena na kardiološki oddelek, kjer sva ostala še teden dni. Čeprav sva odšla domov z nazogastrično sondo in je imel Maj po operaciji še kar nekaj težav s hranjenjem, mu gre sedaj skoraj leto in pol po operaciji odlično. Čeprav bo v svojem življenju verjetno potreboval še vsaj dve operaciji, ostajamo pozitivni in se veselimo vsakega dne posebej. In je res, ko rečejo, da če imaš zdravje, imaš vse. Za otroke z redkimi boleznimi lahko prispevate donacijo z SMS VJ5 na 1919 ali z nakazilom na TRR Društva Viljem Julijan SI56 0400 1004 6908 898 (dobrodelni Sklad Viljem Julijan).
Prirojene Srčne Napake (in Simptomi)
Odkrivanje prirojenih srčnih napak je pogosto zahtevno, a je tveganje, da bi srčno napako spregledali, danes dosti manjše, kot je bilo v preteklosti. V Sloveniji prirojene srčne napake odkrivamo že pred rojstvom s presejalnimi ultrazvočnimi pregledi plodovega srca ter po rojstvu s kliničnim pregledom. Prepoznavanje novorojenčkov s hudimi in kritičnimi srčnimi napakami je zato v naši državi sicer dobro, še vedno pa ostaja ob odpustu iz porodnišnice približno desetina otrok s kritično srčno napako neprepoznanih. Zato je bistvenega pomena zgodnje prepoznavanje novorojenčkov s kritično srčno napako, ker se s tem bistveno izboljša izid zdravljenja in njihovo preživetje.
Nekatere srčne napake se odkrijejo šele pozneje, ko je otrok starejši, zato je dobro, da starši znajo pri otroku prepoznati manjšo telesno zmogljivost, hitro utrujenost, težave z dihanjem in težje prenašanje naporov. Ko se med nosečnostjo otrok razvija, lahko pride do napake v kateremkoli delu srca ali ožilja. Vzroki za nastanek prirojenih srčnih napak oziroma bolezni srca so zelo različni, lahko so genetski, razvojni ali nepojasnjeni. Na razvoj srčnih napak lahko veliko vplivajo tudi zunanji dejavniki tveganja, kot so alkohol, cigareti, sevanje, določena zdravila in nekatere okužbe, med katerimi so še posebej nevarne rdečke.
Približno polovica srčnih napak potrebuje operativno kirurško zdravljenje, pri čemer je kirurgija napredovala do te mere, da je velika večina prirojenih srčnih napak kirurško obvladljivih. Otroka s prirojeno srčno napako je treba tudi skrbno nadzorovati, obenem je pomembno preprečevati bakterijske ali virusne okužbe. Če ima otrok srčno okvaro, je njegovo srce ob tovrstnih okužbah namreč v večji nevarnosti.
