Nosečnost je obdobje izjemnih telesnih sprememb, ki jih spremlja ne le rast novega življenja, temveč tudi opazne spremembe v telesu bodoče mamice. Ena izmed najbolj očitnih sprememb je rast nosečniškega trebuščka, ki je vir številnih vprašanj in radovednosti. Vendar, ali velikost in oblika trebuha resnično razkrivata vse o poteku nosečnosti in razvoju dojenčka? Ta članek bo podrobno raziskal to temo, od prvih tednov nosečnosti do konca, ter razkril, kaj velikost trebuha dejansko pove in kdaj je morda čas za posvet z zdravnikom.
Zgodnji razvoj: Od spočetja do prvih vidnih znakov
Nosečnost se uradno šteje od prvega dne zadnje menstruacije, čeprav do spočetja običajno pride približno dva tedna kasneje, v času ovulacije. V prvih tednih je zarodek še izjemno majhen, velik le nekaj milimetrov. V tem času se oplojeno jajčece začne deliti in potuje proti maternici, kjer se ugnezdi. Do okoli 12. tedna nosečnosti, ko se zaključi prvo trimesečje, je plod še vedno relativno majhen, zato nosečniški trebušček običajno še ni opazen. Ženske v tem obdobju morda opažajo le rahlo napihnjenost, ki je pogosto posledica spremenjene prebave in hormonskih nihanj, ne pa dejanske rasti maternice.
V prvih treh mesecih nosečnosti se telo nosečnice začne prilagajati na novo stanje. Pojavljajo se lahko jutranje slabosti, povečana občutljivost prsi in pogostejše uriniranje. Kljub temu, da zunanje spremembe niso očitne, se v telesu dogajajo pomembni procesi: srce zarodka začne utripati že okoli 6. tedna, razvijajo se osnovni organi, kot so jetra, pljuča in ledvice, čeprav bodo ti še dolgo časa dozorevali. Do konca prvega trimesečja (12. teden) je plod že dobro oblikovan, z izoblikovanimi okončinami, prstki na rokah in nogah ter že začetnim razvojem čutil. V tem obdobju je mogoče opraviti tudi genetske preiskave, kot je merjenje nuhalne svetline, ki lahko pomagajo oceniti tveganje za kromosomske nepravilnosti.

V 12. tednu nosečnosti je plod velikosti slive, dolg približno 6,1 cm in težak okoli 14 gramov. Njegovo srce že deluje kot pri odraslem, maternica pa je velikosti grenivke. Telo nosečnice se počasi spreminja, njena imunost se zmanjša, kar je naraven odziv telesa na rast "vsiljivca" v maternici. V tem tednu lahko nosečnica tudi uradno obvestiti svojega delodajalca o nosečnosti, s čimer si zagotovi zakonsko varstvo.
Drugo trimesečje: Obdobje rasti in prvih gibov
Drugo trimesečje, ki traja od 13. do 26. tedna nosečnosti, je pogosto obdobje, ko se počutje nosečnice izboljša. Jutranje slabosti pojenjajo, poveča se energija in spolna sla. To je tudi čas, ko začne postajati nosečniški trebušček vse bolj očiten. Maternica se namreč hitro širi, da bi ustrezala rasti ploda. V 13. tednu plod že tehta okoli 23 gramov in meri 7,4 centimetra. Njegova koža je prekrita z mehkimi dlačicami lanugo, ki pomagajo pri uravnavanju telesne temperature. Trebušna slinavka prične proizvajati inzulin, ključen za uravnavanje krvnega sladkorja.
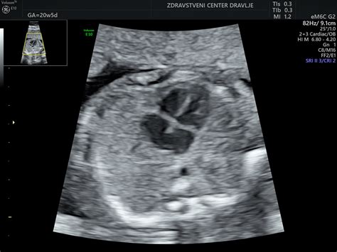
V tem obdobju se pričnejo razvijati tudi prstni odtisi, jezik in glasilke. Dojenček prične vaditi dihanje in požiranje plodovnice. Okoli 20. tedna nosečnosti, ko se opravi podroben ultrazvočni pregled, imenovan morfologija, je mogoče že opaziti spol otroka. Na morfologiji ginekolog pregleda razvoj posteljice in otroka ter oceni, ali obstajajo morebitni zapleti. V tem času mnoge nosečnice prvič občutijo nežne gibe svojega dojenčka, ki jih pogosto primerjajo s prhutanjem metuljevih kril. Ti gibi postajajo z nadaljevanjem nosečnosti vse bolj izraziti.
V drugem trimesečju se lahko pojavi tudi občutek zadihanosti, kar je posledica večjega pretoka krvi in pritiska maternice na prepono. Zobje in dlesni nosečnice so lahko bolj občutljivi, zato je ključnega pomena dobra ustna higiena. Nekatere ženske lahko tudi opazijo, da jim kontaktne leče niso več udobne, saj se lahko oblika oči in proizvodnja solz spremenita. Teža se v tem trimesečju običajno poveča, kar lahko vpliva na ravnotežje in potrebo po bolj udobni obutvi.

V 14. tednu nosečnosti plod meri 8,3 cm in tehta do 43 g. Začnejo mu rasti lasje, obrvi in trepalnice, celotno telo pa pokrijejo nežni, tanki lasje - lanugo. Tveganje za spontani splav se zniža za 75 %, nosečnica pa običajno čuti naval energije in povečan apetit. Maternica sega že nad sramno kost. V 15. tednu plod meri 12,7 cm in tehta 57 g. Na ultrazvoku lahko vidimo, da sesa palec, lahko zazna močno svetlobo od zunaj, stisne pest in se refleksno smeji. Nosečniški trebušček je že lepo viden, povprečna pridobitev teže do tega tedna je 2,3 kg. Srce prečrpa za 20 % več krvi kot izven nosečnosti. V 16. tednu plod meri 13,5 cm in tehta 70 g. Vse mišice in kosti ploda so formirane, izločanje urina in krvni obtok že delujeta. Nosečnica lahko že začuti nežne gibe ploda, še posebej, če je posteljica na zadnji steni maternice ali če je nosečnica že rodila.
Tretje trimesečje: Hitra rast in priprava na porod
Tretje trimesečje, ki obsega čas od 27. do 40. tedna nosečnosti, je zaznamovano s hitro rastjo ploda in nadaljnjim povečevanjem nosečniškega trebuščka. V tem obdobju plod intenzivno pridobiva na teži in maščobnem tkivu, kar mu bo pomagalo pri uravnavanju telesne temperature po rojstvu. Okostje postaja trdnejše, razvijajo se pljuča, čeprav še niso popolnoma zrela za samostojno dihanje. Plod že lahko zazna zunanje zvoke in se nanje odziva, zato je božanje trebuščka in pogovor z dojenčkom še toliko bolj pomemben.
V tem obdobju lahko nosečnica občuti močnejše in pogostejše gibe ploda, čeprav se zaradi pomanjkanja prostora v maternici ti lahko spremenijo in postanejo manj intenzivni. Količina plodovnice je maksimalna med 28. in 32. tednom. Proti koncu nosečnosti se plod obrne v položaj z glavo navzdol, pripravljen na porod. V zadnjih tednih se lahko pojavijo pogostejša otrdevanja trebuha, ki pa ne smejo biti redna in boleča, saj to lahko kaže na prezgodnji porod.
V 27. tednu nosečnosti plod meri 28 cm in tehta 450 g. V njegovi koži nastaja pigment, zaradi katerega postaja rožnate ali rdeče barve. V pljučih se razvijajo krvne žile, plod pa vse bolj razlikuje zvoke in lahko reagira na glasbo ter prepozna mamin glas. Nosečnica zaradi zadrževanja tekočine in pritiska maternice na žile pogosto dobi otekle noge. V 28. tednu plod meri 38 cm in tehta 1050 g. Rastejo mu lasje, trepalnice in obrvi postanejo debelejši, obrazne poteze bolj izrazite, plod pa pogosto zeha. Količina plodovnice je maksimalna med 28. in 32. tednom.
V 30. tednu nosečnosti plod tehta med 1200 in 1400 g. Povečuje se količina maščobnega tkiva. Prebava se še bolj upočasni, zato se priporoča prehrana bogata z vlakninami in zadostno količino tekočin. Pridobitev teže do 30. tedna naj ne bi presegla 10 kg. V 32. tednu plod tehta 1600 do 1800 g in meri 42 cm. Koža je rožnate barve in gladka, nohti so prisotni na rokah in nogah. Zaradi povečane količine krvi, hormonskih sprememb in stresa pred porodom se lahko stopnjuje hitro bitje srca.

V 36. tednu plod meri 46 cm in tehta 2700 g. Njegovo telo je še vedno pokrito s sirastim in mastnim premazom (verniksom), ki ščiti otrokovo kožo. Čas je za zadnje laboratorijske preiskave pred porodom. V kolikor je plod obrnjen z ritko navzdol, je čas za zunanji obrat. V 37. tednu je plod že donošen, dolg 48 cm in težak 2950 g. Spušča se počasi v medenico. Porod se lahko začne kadarkoli. V 38. tednu plod meri 50 cm in tehta 3100 g. Dolžina ploda se ne bo več spreminjala, rast pa je težko natančno oceniti. Količina plodovnice se zmanjšuje, zato so plodovi gibi nežni. Zatekanje nog in zadrževanje tekočine v telesu je še bolj izrazito.
Velikost trebuha: Kaj pove in kaj ne pove?
Pogosto se pojavlja vprašanje, ali velikost nosečniškega trebuščka pove, kakšen bo otrok - ali bo večji, manjši, ali celo dvojčka. Strokovnjaki poudarjajo, da velikost trebuha ni zanesljiv pokazatelj velikosti ali zdravja otroka. Številni dejavniki vplivajo na velikost in obliko trebuha, med drugim:
- Prva ali ponovljena nosečnost: Pri ponovljenih nosečnostih se lahko trebušček pojavi prej in je morda bolj izrazit, saj so trebušne mišice bolj ohlapne.
- Napihnjenost: Zlasti v zgodnji nosečnosti je napihnjenost zaradi spremenjene prebave pogosta in lahko ustvari videz večjega trebuha.
- Genetika in telesna konstitucija: Vsako telo je drugačno in se na nosečnost odziva na svoj način. Položaj maternice, njena velikost in oblika, pa tudi telesna teža in grajenost ženske vplivajo na to, kako "viden" je trebušček.
- Položaj otroka: Če otrok leži bolj globoko v medenici ali bolj "zadaj", je trebušček morda manj viden.
- Količina plodovnice: Večja količina plodovnice lahko vpliva na velikost trebuha.
Pomembno je vedeti, da so govorice o tem, da oblika trebuha (na primer špičast ali bolj zaobljen) nakazuje na spol otroka, zgolj babje čenče in nimajo znanstvene podlag. Prav tako slike nosečniških trebuščkov na spletu pogosto prikazujejo naprednejše nosečnosti ali pa so plod razultat genetskih posebnosti, zato primerjava z njimi lahko povzroči nepotrebno skrb. Nekatere ženske v 12. tednu nosečnosti še nimajo vidnega trebuščka, medtem ko ga imajo druge že bolj izrazitega. To je popolnoma normalno in odvisno od zgoraj omenjenih dejavnikov.
Kdaj je čas za skrb?
Čeprav je vsaka nosečnost edinstvena, obstajajo določeni znaki, ki bi lahko nakazovali na morebitne težave in zahtevajo posvet z zdravnikom:
- Nenadna ali pretirana rast trebuha: Če se vam zdi, da vaš trebuh raste bistveno hitreje kot bi smel glede na tedne nosečnosti, ali če je nenadoma zelo velik, je priporočljiv posvet z ginekologom.
- Premalo velik trebuh: Če se vam zdi, da je vaš trebuh v primerjavi z drugimi nosečnicami v enaki gestacijski starosti bistveno manjši, je prav tako dobrodošel pregled. Kot je omenil dr. Pušenjak, bi pri 34 tednih naj bila razdalja od zgornjega roba sramne kosti do vrha maternice vsaj 32 cm. Če je pod 30 cm, bi priporočal kontrolni UZ.
- Izginjanje trebuha ali nenadno zmanjšanje: Če opazite, da se vaš trebuh zmanjšuje ali da se je njegova rast nenadoma ustavila, je to lahko znak za skrb.
- Bolečine ali nelagodje: Medtem ko so nekatere bolečine normalne (npr. zaradi raztezanja vezi), močne, nenadne ali vztrajne bolečine zahtevajo pregled.
- Otrdevanje trebuha: Občasna otrdevanja trebuha (Braxton-Hicksovi popadki) so normalna, vendar če postanejo redna, boleča in se stopnjujejo, je nujno obiskati zdravnika.
- Izginjanje ali zmanjšanje otrokovih gibov: Po določenem obdobju nosečnosti bi morali čutiti redne gibe otroka. Če se ti zmanjšajo ali izginejo, je to lahko zaskrbljujoče.
V primeru dvomov ali skrbi je vedno najbolje, da se obrnete na svojega ginekologa ali babico. Njihova strokovna ocena in morebitni ultrazvočni pregledi bodo zagotovili najbolj zanesljive informacije o zdravju vašega dojenčka in poteku nosečnosti. Zapomnite si, da je vsaka nosečnost zgodba zase, in osredotočanje na splošna merila lahko včasih povzroči nepotrebno skrb.
Forum: Izkušnje nosečnic z velikostjo trebuščka v 12. tednu
Punce, a se vam v 12. tednu nosečnosti sploh kaj pozna oz. ali se vam je poznalo? Moj trebuh je še isti kot prej in mi res ni jasno, zakaj so na tej strani že tako veliki trebuščki. A je možno, da so se zmotili?
Zdravo strelca,hi, hi hi… Tudi jaz sem imela v prvi nosečnosti trebuh šele tam po 14., 15. tednu… Ne trebuh, pardon, trebušček… V drugo pa se bojim, da bo šlo precej hitreje in da bom pri 10. tednu že kar trebušasta. Je pa res, da so na slikah trebušaste večinoma bajsice in da je težko ločiti, ali gre za trebušček ali špeh! Nič bat, trebušček pride, boš vidla.
Ojla!Tudi jaz sem v 12. tednu, trebuščka še ni, sem pa zvečer malo bolj napihnjena kot ponavadi. Neja
Pri prvi nosečnosti se meni ni še nič poznalo, sedaj pa nekaterih hlač več ne morem obleči. Zjutraj je trebušček relativno majhen, zvečer pa ogromen. Ja, pa vsak dan bo večji in prav je tako.
Počasi končujem deseti teden, pa me že nekaj hlač tišči. Da bi pa že kdo opazil, pa ne verjamem. Opazim samo jaz, ker vem.Lep pozdrav vsem.
Hehe, to je napihnjenost…. Sama sem noseča dobrih pet tednov, pa se mi zdi, kot da sem v 4 mesecu….natja
Sem v 10 t pa oblečem le še 2 hlače. To je moja 1 nosečnost, ma nisem nikoli imela mišičastega trebuha. Zato se mi že kar pozna, vendar čez obleko nihče še ne opazi. Se mi zdi, da za velikost trebuscka pa res ni nobenega pravila. Sem v 17 tednu in sem se zredila za dobra dva kilograma, prav mi je se vse … le zvecer se mi malo napihne trebuscek, da ne pozabim, da sem zares noseca. Menda ga nosim bolj zadaj… No, saj sem jaz tudi zvečer bolj okrogla, če se fajn napokam s hrano :-)) Sicer pa sem tretjič noseča.
V enajstem tednu se trebušček vidi, če mene vprašaš seveda, hlače pa … že dolgo ne morem več zapeti, sploh pa tiste, ki jih nosim umetelno zvijem pod trebuh. počasi pa že tudi to ne bo dovolj. Prvič je bilo isto, s tem, da sem imela v tem času dve kili več, hi, hi, kaj še bo.
Ja s temi slikcami so res malo pretiravali. Na teh slikah so punce že v petem tednu fajn trebušaste. Pa se ti v tem času po vsej logiki nima še kaj poznati. Ne sekiraj se, jaz sem v enajstem tednu in večje spremembe še nisem opazila. lpm.
Prvic se mi je zacelo poznati po 12t, zdaj pa sele po 16t. Ni panike.
Moj je že sedaj v 7t skoraj tako velik, ampak je tak ostal še od prejšnjega poroda 🙁 LP, Nina
Čisto odvisno, kje otroka nosiš in ali si prvo ali drugorodka. Meni se je v prvi nosečnosti trebušček začel delati, potem pa kar hitro rasel šele v 5,5 mesecu, kar je maksimalno pozno, ker sem nosila čisto zadaj, tudi bolj suha sem in se je malo dete najprej razlezlo po meni, potem šele navzven. No, za tokrat meje moja G potolažila, da naj pričakujem, da dobim trebušček kakšen mesec prej, če bom spet zadaj nosila.
Sem pogledala malo te slikice in imajo res ogromne trebuščke za 12. teden, pa čeprav pri nekaterih piše, da gre za 1. nosečnost. Jaz takšnega še v 17. tednu nimam.Lp
Noseča sem 25 tednov, drugič. Pred dvema tednoma sem nosila še vse moje hlače. Tak trebušček, kot je na teh slikicah, imam zdaj. Je pa res odvisno od tega, kje otroka nosiš in koliko podlage (kg) si imela pred nosečnostjo.Ne obremenjuj se s slikicami drugih nosečnic. Zaupaj svojemu instinktu in svojemu ginekologu, pa bo vse OK.LP, žiža
Jaz sem imela trebuh pri 12 tednih, predvsem pod prsmi je začelo štrleti ven, spodaj pa še ni bilo spremembe,vendar je to moja 3ja nosečnost.
Bodi vesela….jaz pri 9 tednih že iščem nosečniške hlače…..verjemi, niso poceni ….ha,ha,ha……Aja, pa nisem debeluhinja. Imam suho postavo….samo tako grozno napihnjena sem. Ah za trebuh ni pravila. Prva nosecnost….niso mogli verjet, da sem v 6. mesecu…mini trebuh res….pa sem suha in majhna….no na koncu sem bila kot balon?
