Ko se nosečnost sooči z nepričakovanimi in hudimi zdravstvenimi težavami ploda, se starši znajdejo pred najtežjo odločitvijo - prekinitev nosečnosti. Takšna situacija je izjemno boleča in polna vprašanj, ki terjajo odgovore. V primeru hude srčne napake ploda, kot je hipoplastični levi ventrikel (LV), kjer operacija po rojstvu ni možna in bi otroku le podaljšala trpljenje, se starši pogosto odločijo za prekinitev nosečnosti. Ta članek obravnava potek genetske posvetovalnice, postopek umetne prekinitve nosečnosti v pozni nosečnosti, psihološko podporo ter okrevanje po takšnem posegu, zlasti v 21. tednu nosečnosti, kot ga je doživela Anja.
Diagnostika in posvetovanje
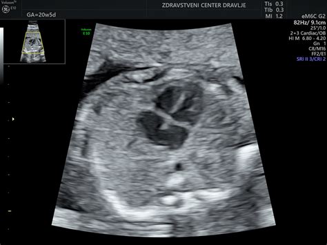
Anjina zgodba se je začela na rutinski morfologiji v 20. tednu nosečnosti, ko je ginekologinja zaznala nepravilnosti pri srčku ploda. Sledili so pregledi v porodnišnici Ljubljana in na pediatrični kliniki, kjer so potrdili diagnozo: hud hipoplastični levi ventrikel. Po posvetu s strokovnjaki je postalo jasno, da operacija po porodu ne bo mogoča in da bi otrok lahko preživel le nekaj ur, s kakršnokoli posegom le podaljšali njegovo trpljenje. Ta spoznanja so vodila v težko odločitev o prekinitvi nosečnosti.
Pred odločitvijo o prekinitvi je ključen korak genetska posvetovalnica. Tam strokovnjaki podrobno pojasnijo naravo genetskih ali razvojnih nepravilnosti, njihove posledice za otrokovo življenje in zdravje ter morebitna tveganja za prihodnje nosečnosti. Namen posvetovalnice je staršem dati celovite informacije, da lahko sprejmejo informirano odločitev. V Anjinem primeru je genetska posvetovalnica predvidena v naslednjem tednu.

Postopek umetne prekinitve nosečnosti v 21. tednu
Prekinitev nosečnosti v 21. tednu, ko je plod že dobro razvit, poteka drugače kot v zgodnejših obdobjih. V tem stadiju nosečnosti se postopek pogosto imenuje "porod", saj se sprožijo umetni popadki, ki vodijo do iztisnitve ploda. Kot je opisala ena od uporabnic foruma, ki je imela podobno izkušnjo v 21. tednu v Mariboru, postopek običajno vključuje medikamentozno sprožitev.
Prvi korak je običajno zaužitje tabletke, ki prekine delovanje posteljice. Po dveh dneh sledi sprejem v bolnišnico, kjer se nadaljuje postopek z vstavitvijo tablet v nožnico, ki sprožijo krče maternice. Te tabletke se lahko ponavljajo vsaki dve uri, dokler ne pride do splava. Proces lahko traja od nekaj ur do treh dni. Bolečine so lahko močne, primerljive z naravnim porodom, zato je pomembno, da je ženska obdana s podporo.
Čeprav je v pozni nosečnosti postopek bolj podoben porodu, je ključna razlika v tem, da se rodi mrtev plod. Nekatere ženske se odločijo, da otroka po rojstvu ne želijo videti, medtem ko druge želijo imeti možnost, da se poslovijo, ga pogledajo, ga objamejo ali celo pridobijo odtis njegove nogice ali rokice za spomin. Te odločitve so globoko osebne in se sprejemajo v dogovoru z zdravstvenim osebjem.
Psihološka podpora in okrevanje
Izguba nosečnosti, še posebej v tako poznem obdobju, je izjemno travmatična izkušnja, ki pusti globoke čustvene posledice. Psihološka podpora je zato ključnega pomena. V bolnišnicah je običajno na voljo psiholog, s katerim se je mogoče predhodno dogovoriti za posvet. Pogovor s strokovnjakom lahko pomaga pri soočanju s krivdo, žalostjo, jezo in drugimi kompleksnimi čustvi.
Pomembno je tudi, da se ženska obrne na svoje bližnje - partnerja, prijatelje ali družino. Pogovor, podpora in razumevanje so neprecenljivi. Nekatere ženske najdejo tolažbo tudi v forumih in skupinah za podporo, kjer lahko delijo svoje izkušnje z drugimi, ki so prestale podobne preizkušnje.
Okrevanje po prekinitvi nosečnosti v 21. tednu je tako telesno kot čustveno. Telesno okrevanje je podobno okrevanju po porodu. Ženska običajno ostane v bolnišnici nekaj dni, odvisno od poteka postopka. Bolniški stalež se običajno predpiše za približno tri tedne, vendar je dolžina okrevanja odvisna od posameznice. Čustveno okrevanje pa je lahko dolgotrajen proces. Pomembno je, da si ženska dovoli žalovati, ne obsoja sebe in poišče načine za soočanje s travmo.
Izkušnje in nasveti
V forumih, kjer so si ženske delile svoje izkušnje, se pojavljajo različni vidiki te težke preizkušnje. Nekatere poudarjajo prijaznost in sočutnost zdravstvenega osebja, ki jim je nudilo podporo v najtežjih trenutkih. Druge pa so imele manj pozitivne izkušnje, kar kaže na to, da se lahko doživljanje postopka razlikuje glede na posameznika in okoliščine.
Pomemben nasvet, ki se pogosto ponavlja, je iskanje podpore pri partnerju, prijateljih in strokovnjakih. Pogovor o čustvih, ne glede na to, kako težki so, je ključen za predelavo izgube. Nekateri strokovnjaki, kot je dr. Pušenjak, svetujejo, da se po splavu čaka vsaj tri mesece pred ponovno zanositvijo, da se telo in psiha popolnoma povrneta. Vendar pa je končna odločitev o času ponovne zanositve odvisna od posameznice in njenih občutkov pripravljenosti.
Izkušnje žensk kažejo, da je kljub neizmerni bolečini in žalosti, ki ju prinaša izguba otroka, mogoče prebroditi to težko obdobje. Z ustrezno podporo, skrbjo zase in časom je mogoče najti pot naprej.
Zaključek
Napovedan splav v 21. tednu nosečnosti je izjemno zahtevna situacija, ki zahteva premišljeno odločitev ob soočanju z uničujočo diagnozo. Razumevanje poteka genetske posvetovalnice, postopka prekinitve, možnosti psihološke podpore ter procesa okrevanja je ključnega pomena za ženske in pare, ki se znajdejo v takšni preizkušnji. Čeprav je pot boleča, je s podporo in razumevanjem mogoče najti moč za soočanje s to izgubo in graditi prihodnost.
