Prvi ultrazvočni pregled v nosečnosti predstavlja pomemben mejnik, ne glede na način zanositve. Njegov primarni namen je potrditev nosečnosti in zagotavljanje zgodnjega vpogleda v razvoj ploda. Ženske, ki zanosijo po postopku OBMP (Oploditev z zunajtelesnim obrokom), običajno opravijo prvi ultrazvočni pregled med 7. in 8. tednom nosečnosti na kliniki za zdravljenje neplodnosti, medtem ko so ženske s spontano zanositvijo na pregled pogosteje naročene med 9. in 10. tednom.

Zgodnji znaki nosečnosti na ultrazvoku
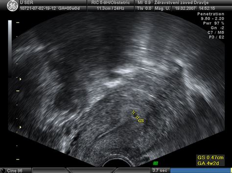
Že v 4. tednu nosečnosti, ob izostanku menstruacije, se lahko na ultrazvoku prikaže gestacijska vrečka. Ta se pojavi kot ehogeni obroč, ki obdaja bistro središče, in raste s hitrostjo približno 1 mm na dan do 9. tedna. Proti koncu 5. tedna gestacijske starosti postane vidna s transvaginalnim ultrazvokom.
Naslednja pomembna struktura, ki postane vidna v 5. tednu nosečnosti, je rumenjak. Ta okrogla struktura, ki oskrbuje zarodek s hranili do razvoja posteljice, zraste do največ 6 mm. Z napredovanjem nosečnosti je s transvaginalnim ultrazvokom pogosto zaznavna srčna aktivnost ploda, še preden je mogoče določiti celično maso. Plodova srčna mišica prične z ritmično kontrakcijo zgodaj, kar se lahko opazi ob robu rumenjaka. Sprva je srčni utrip počasnejši (60-90 utripov/minuto), nato pa se povečuje z razvojem ploda. Včasih utrip ploda ni viden, dokler plod ni dolg vsaj 4 mm.

Odmevi ploda, ki predstavljajo skupek plodovih celic, se prvič pokažejo na transvaginalnem ultrazvoku takoj po 6. tednu nosečnosti. Od 6. tedna plod raste s hitrostjo približno 1 mm na dan. V zgodnji nosečnosti se gestacijska starost lahko določi z merjenjem dolžine plodovega odmeva (CRL - Crown-Rump Length), ki ji prištejemo 6 tednov nosečnosti. CRL meritev je ponovljivo in najbolj natančno merilo gestacijske starosti v prvem trimesečju. V zgodnji nosečnosti je plod uvite drže, zato se namesto dolžine od glave do pet meri dolžina od glave do zadka (CRL). Po 12. tednu nosečnosti se za določanje gestacijske starosti uporabljajo druge meritve.
V prvih tednih nosečnosti lahko zaradi zgodnejše ali poznejše oploditve oziroma ugnezditve zarodka prihaja do razlik v prikazih, ki lahko znašajo nekaj dni. Ob meritvi nuhalne svetline se opravi tudi zgodnja morfološka ocena ploda.
Fetalna biometrija: Ključ do spremljanja rasti ploda
Fetalna biometrija je ključna sestavina predporodne oskrbe, ki vključuje merjenje velikosti in rasti ploda med nosečnostjo. Z uporabo ultrazvoka zagotavlja dragocene vpoglede v razvoj otroka in pomaga zdravstvenim delavcem oceniti, ali plod raste zdravo.

Fetalna biometrija se nanaša na postopek merjenja različnih delov ploda z ultrazvokom, kot so velikost glave, trebuha in stegnenice (stegenske kosti), ter se uporablja za oceno otrokove teže in celotnega razvoja. Običajno se izvaja med rutinskimi predporodnimi ultrazvoki, zlasti v drugem in tretjem trimesečju.
Ključne meritve vključujejo:
- Dolžina krone (CRL): Meri dolžino otroka od vrha glave do dna zadka, običajno v prvem trimesečju.
- Biparietalni premer (BPD): Razdalja med obema stranema otrokove glave, merjena na ravni talamusa.
- Obseg glave (HC): Obseg otrokove glave.
- Obseg trebuha (AC): Pomaga oceniti rast ploda in delovanje posteljice.
- Dolžina stegnenice (FL): Dolžina otrokove stegnenice (stegenske kosti), ki se uporablja za oceno razvoja okostja.
Med ultrazvočnim pregledom tehnik uporabi pretvornik, ki pošilja in sprejema zvočne valove. Ti valovi se odbijajo od otroka in ustvarijo sliko na zaslonu. Rezultati fetalne biometrije se primerjajo s standardiziranimi grafikoni rasti, da se ugotovi, ali plod raste po pričakovanjih.
Če so meritve ploda v mejah normale za gestacijsko starost, je to znak zdravega razvoja. Če meritve padejo pod pričakovano gestacijsko starost, lahko to pomeni intrauterino omejitev rasti (IUGR), stanje, ko plod ne raste pravilno, kar je lahko posledica težav s posteljico ali zdravstvenih težav matere. Če so meritve večje od pričakovanih, to lahko kaže na makrosomijo (velik plod glede na gestacijsko starost), ki je lahko povezana s stanjih, kot je gestacijski diabetes.
Fetalne biometrične meritve, zlasti CRL in BPD, lahko pomagajo oceniti gestacijsko starost, čeprav se ne uporabljajo za napoved točnega datuma poroda. Fetalna biometrija je varna in neinvazivna metoda, ki uporablja ultrazvočno tehnologijo. Pogostost pregledov je odvisna od poteka nosečnosti in morebitnih tveganj.
Pomembnost ultrazvoka v predporodni oskrbi
Ultrazvok v nosečnosti je nepogrešljivo diagnostično orodje za spremljanje zdravja in razvoja ploda. Ta tehnika slikanja uporablja visokofrekvenčne zvočne valove za ustvarjanje slik otroka, posteljice in drugih struktur znotraj maternice. Večina nosečnosti vključuje vsaj dva ultrazvoka: enega v prvem trimesečju za potrditev nosečnosti in oceno gestacijske starosti ter podroben anatomski pregled okoli 18.-22. tedna.
Ultrazvok velja za varnega, saj uporablja zvočne valove in ne sevanja. Študije dosledno potrjujejo varnost te tehnologije med nosečnostjo. Ultrazvok lahko zazna rast ploda, razvojne mejnike, zdravje posteljice, količino plodovnice in morebitne strukturne nepravilnosti.

Priprava na ultrazvok je odvisna od vrste pregleda. Za slikanje trebuha je lahko potrebna pitna voda za napolnitev mehurja, medtem ko je za transvaginalni pregled zaželen prazen mehur. Nenormalne ugotovitve lahko privedejo do nadaljnjih preiskav ali specialističnih posvetov.
Čeprav je ultrazvok zelo natančen za oceno rasti in anatomije ploda, lahko dejavniki, kot so položaj ploda, teža matere in gestacijska starost, vplivajo na natančnost. 3D in 4D ultrazvok ponujata tridimenzionalne slike in gibanje v realnem času. V posebnih primerih se lahko uporabijo alternative, kot je magnetna resonanca (MRI), za podrobnejše preglede mehkih tkiv.
Varnost ultrazvoka in razprava o možnih tveganjih
V zadnjih 30 letih uporabe ultrazvoka v porodništvu ni bilo zabeleženih resnih študij, ki bi potrjevale škodljiv vpliv ultrazvoka na plod ob pravilni uporabi tehnologije. Strokovnjaki se zavedajo učinkov ultrazvočnega valovanja, zato se meritve učinkovanja med pregledom prikazujejo na napravi. Ob normalni uporabi tehnično neoporečnih ultrazvočnih aparatov ni zaznati tveganj za nosečnico in plod. Največje tveganje predstavlja neprofesionalna ali slabo izvedena preiskava, ki lahko povzroči napačne ugotovitve in s tem neustrezno obravnavo.

Nekatere raziskave so sicer ugotavljale povezavo med izpostavljenostjo ultrazvoku in uporabo dominantne roke pri dečkih, vendar drugi pregledi teh povezav niso potrdili. Metaanaliza iz leta 2009, objavljena v reviji Ultrasound in Obstetrics & Gynecology, ki je proučila rezultate 61 študij, ni ugotovila negativnih učinkov ultrazvoka na fizični ali nevrološki razvoj otroka, njegovo inteligenco ali povečano možnost za razvoj rakavih obolenj.
Druge študije so sicer ugotovile rahlo večje tveganje za rojstvo z nižjo telesno težo pri novorojenčkih iz skupine, ki so bile izpostavljene ultrazvoku, vendar razlike v povprečni teži niso bile statistično značilne in niso vplivale na kasnejši razvoj otrok. Tudi vpliv na vedenjske težave pri primatih ni bil negativen na njihov kasnejši razvoj.
Kljub temu nekatere raziskave, kot je tista iz leta 1993, objavljena v reviji New England Journal of Medicine, niso ugotovile bistvenih razlik med zdravstvenimi izidi nosečnic, ki so opravile dva preventivna ultrazvočna pregleda, in tistih, ki so ultrazvok opravile le ob zdravstvenem razlogu. To postavlja pod vprašaj diagnostično vrednost rutinskih, preventivnih pregledov v primerih, ko ni posebnih skrbi.
Urška P. Iršič, doula, je izrazila zaskrbljenost glede prepogoste uporabe ultrazvoka, še posebej, če raziskave ne potrjujejo pozitivne diagnostične vrednosti rutinskih pregledov. Poudarila je, da je ultrazvok zaželjen, ko obstajajo sumi o nepravilnostih, vendar dvomi v smiselnost rutinskih pregledov, ki ne prinašajo dodatnih informacij.
Redni ultrazvočni pregledi v pozni nosečnosti
V zadnji tretjini nosečnosti plod pridobiva na teži in se nadalje razvija. V tem času je priporočljivo opraviti kontrolo plodovega stanja, rasti in kondicije, običajno med 30. in 32. tednom nosečnosti. Z meritvijo obsega in premera glave, obsega trebuha in dolžine stegnenice se določi telesna teža ploda, kar pomaga prepoznati morebitno zaostajanje v razvoju. V takšnih primerih se natančneje oceni stanje ploda z meritvijo pretokov krvi skozi popkovnico. V primeru medenične vstave ali prečne lege ploda je priporočljiva kontrola lege v 36. tednu. Po 36. tednu se nadaljnje kontrole prilagodijo glede na posamezen primer.
Prvi pregled v nosečnosti, ki vključuje ginekološki pregled in ultrazvok, se običajno opravi med 8. in 10. tednom nosečnosti, po izostanku menstruacije in pozitivnem testu nosečnosti. Med prvim pregledom se z ginekologom pogovorita o zdravstveni anamnezi, sledi ginekološki pregled in odvzem brisa materničnega vratu. Ultrazvočni pregled potrdi vitalno nosečnost v maternici, izključi izvenmaternično nosečnost, določi število plodov ter oceni velikost ploda z merjenjem razdalje teme-trtica, kar služi kot osnova za določitev predvidenega datuma poroda (PDP). Če odstopanje glede na zadnjo menstruacijo presega 7 dni, se PDP prestavi glede na ultrazvočno meritev. V primeru potrjene normalne nosečnosti nosečnica prejme Materinsko knjižico, ki je uradni dokument nosečnosti. Svetuje se uživanje folne kisline, zdrava prehrana, zmerna telesna aktivnost ter primerno počivanje in spanje.
tags: #nosecnost #ulttrazvok #crl
